MILANO – SARONNO
contenuto sponsorizzato

segreteria@sirioradiologiadentale.it
n. 1 settembre 2022

Riprendiamo dove ci eravamo fermati
Amici della Sirio, dopo alcuni anni di silenzio il Notiziario si ripropone a voi in una
nuova veste grafica, ma soprattutto in un nuovo formato: quello digitale.
In questi anni abbiamo assistito a tanti cambiamenti nella nostra realtà professionale, tanto da fare fatica a volte a tenerne il passo. In questo periodo abbiamo sentito ancora più insistentemente la necessità di rinnovare il contatto con i nostri interlocutori per presentare i tanti nuovi servizi di cui si è arricchita la nostra organizzazione.
Ve ne diamo un piccolo esempio in queste pagine che da ora in poi riceverete a cadenza regolare tutti i mesi Vi ringraziamo per l’attenzione e auguriamo buona lettura.
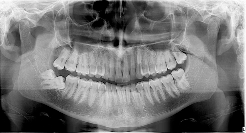
Scoperte casuali
Paziente di anni 25.
L’indagine richiesta aveva come quesito diagnostico la mancata eruzione di 48.
L’immagine ha mostrato la presenza di numerosi elementi sovrannumerari.
Il primo si proietta sul terzo medio- distale radicolare di 23, altri due a livello interprossimale fra 33-34 e 43-44 e altro distalmente a 48 incluso quasi trasverso.
La corona di 48 entra in conflitto con la giunzione corono-radicolare distale di 47 che presenta iniziale minus. La presenza degli elementi sovrannumerari nel I, II e III quadrante non ha determinato problematiche a livello degli elementi definitivi che sono tutti correttamente erotti.
Per la corretta localizzazione spaziale di 48 e 49 ed i loro rapporti con il canale alveolare è necessario approfondimento di indagine con TC cone beam.
Centro per le malformazioni maxillo facciali di Milano

Oltre 1.600 interventi chirurgici e oltre 46.000 prestazioni multidisciplinari per il Centro per le malformazioni maxillo facciali del San Paolo che restituisce il sorriso ai bambini malformati.
Questa realtà, specializzato nella cura delle labiopalatoschisi, segue i piccoli pazienti che presentano malformazioni e malattie rare del distretto cranio facciale. Offre trattamenti di
ortopedia preoperatoria, interventi chirurgici di ricostruzione e correzione delle deformità cranio maxillo facciali, inquadramento e riabilitazione logopedica, valutazione e trattamento ortodontico, supporto psicologico al paziente e alla famiglia. Le attività ambulatoriali sono
svolte dal team multidisciplinare: chirurghi maxillo facciali, ortodonzisti, logopedisti e psicologi che si avvalgono delle consulenze di otorinolaringoiatri, specialisti dell’allattamento, pediatri, neurofisiopatologi e genetisti. Vi afferiscono pazienti da tutta Italia e da altri Paesi bisognosi, ricevendo l’assistenza necessaria, dalla diagnosi prenatale fino all’età adulta. Il prestigio è internazionale: si tratta di uno dei pochi Centri di riferimento dell’European Reference Networks for rare diseases (ERN), rete europea che favorisce l’ interscambio di competenze e progetti di ricerca sulle malattie rare, che richiedono cure altamente specializzate. Milano è stata inoltre selezionata dalla Società Europea delle Labiopalatoschisi ECPCA (European Cleft Palate Craniofacial Association) come organizzatore del congresso del 2024 con la presidenza della Dott.ssa Costanza Meazzini, Coordinatore Scientifico e dell’ Ortodonzia del Centro. “Uno dei nostri scopi è la riduzione del carico delle cure sul paziente” dice la dottoressa. “E’ quindi fondamentale la stretta collaborazione tra specialisti, che ci consente di accompagnare il paziente nel lungo percorso di cura, consentendo inoltre di raccogliere prezioso materiale di studio per un confronto internazionale. La ricerca è indispensabile per capire se i nostri protocolli producano i risultati sperati nel tempo e, all’occorrenza, per perfezionarli”.
Provato per voi…
Ristorante Acquarello
Fagnano Olona – tel. 0331/611394
Siamo stati al ristorante Acquerello, dove abbiamo trovato una nuova idea di cucina italiana, fatta di concretezza, innovazione e rispetto della grande cultura e materia prima italiana. Non cercavamo proposte alla moda o tendenze mediatiche e abbiamo gustato sapori veri, eseguiti senza cotture sottovuoto o precotture, ma a la Minute.
Abbiamo trovato la massima qualità e il totale rispetto della materia prima e siamo stati travolti dai sapori più tipici della tradizione lombarda che si avvicinano a quelli più esotici asiatici. Infatti, Italia, Francia, Korea e Giappone sono i quattro paesi che segnano la cucina del ristorante Acquerello e che rendono ogni piatto un’opera unica.

