ARTICOLI SCIENTIFICI
Trattamento laser dei fibromi del cavo orale: revisione narrativa della letteratura
INTRODUZIONE
Il trattamento laser dei fibromi del cavo orale rappresenta un progresso significativo nell’ambito dell’odontoiatria e della chirurgia orale, grazie alla combinazione di efficacia, precisione...
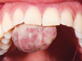
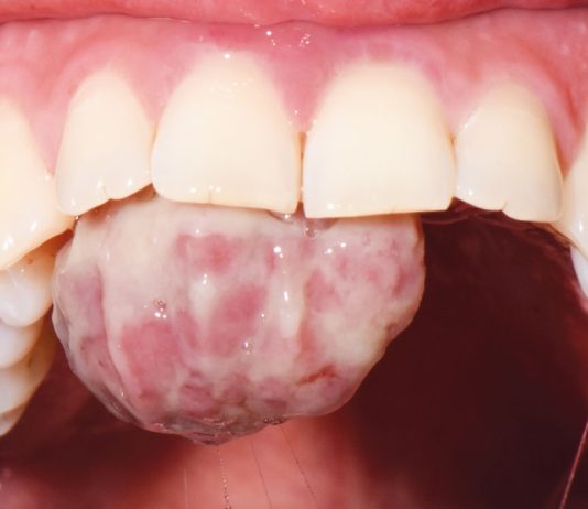
Trattamento chirurgico di un granuloma piogenico in gravidanza
INTRODUZIONE
Con il termine granuloma piogenico (GP) si intende una proliferazione tissutale in eccesso provocata da uno stimolo irritativo noto (1). Il principale fattore eziologico...
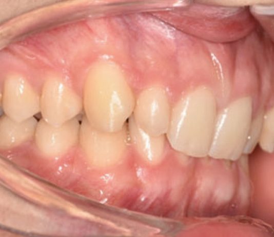
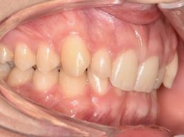
Malocclusione di classe II con morso profondo e lieve affollamento superiore anteriore trattata con...
La malocclusione di classe II può essere distinta in scheletrica e dentale. La malocclusione scheletrica di classe II si riferisce più spesso a una...
Trattamento ortodontico di un paziente in crescita con shift mandibolare anteriore: case report
INTRODUZIONE
La malocclusione di classe III presenta un’eziologia multifattoriale, nonostante ci sia una forte correlazione genetica nelle famiglie affette da tale malocclusione.
Quest’ultima può essere di...
Gestione ortodontica di una malocclusione di II classe scheletrica con il dispositivo di avanzamento...
INTRODUZIONE
La terapia ortodontica durante la prima dentizione riveste un ruolo fondamentale nell'ambito dell'attuale pratica odontoiatrica. Il suo scopo primario è eliminare i fattori ritenuti...
News
news dalle aziende
News
I VIDEO DI DOCTOR OS
Tessuti molli: un’intervista con il professor Joseph Kan
I tessuti molli tra i protagonisti del Congresso Internazionale della Italian Academy of Osseointegration, tenutosi dal 6 all'8 ottobre 2022 a Bologna.
In queste giornate...






























