MILANO – SARONNO
contenuto sponsorizzato

segreteria@sirioradiologiadentale.it
n. 3 maggio – giugno 2025
SAVE THE DATE
L’Enveloppe lingual di Bruno Bonnet per rieducazione linguale in ortodonzia

L’
Enveloppe lingual è un concetto innovativo introdotto dall’ortodontista francese Bruno Bonnet, il quale ha sviluppato una metodica ortodontica che si basa su un approccio tridimensionale alla riabilitazione dentale e alle malocclusioni. Questa tecnica prevede l’uso di apparecchi ortodontici che agiscono principalmente nella zona linguale, ossia la superficie interna dei denti. Il metodo enfatizza non solo il riallineamento dei denti, ma anche l’importanza della muscolatura orale e della postura della lingua nel processo di rieducazione.
Gli ortodontisti sono da tempo consapevoli che il successo e la stabilità del trattamento ortodontico
dipendono dal controllo e dalla correzione delle funzioni alterate.
La funzionalità linguale anomala, in particolare, partecipa alla creazione di molte alterazioni morfologiche dell’apparato stomatognatico ed è causa di recidive.
La lingua occupa un ruolo molto importante nelle funzioni vitali quali la deglutizione, la masticazione, la respirazione e la sensibilità gustativa ed anche nella vita di relazione, in quanto partecipa alla fonazione e alla mimica.
Nel feto e nel neonato la deglutizione si svolge attraverso una interposizione completa della lingua tra le creste edentule e questo comportamento, definito “deglutizione primaria”, continua fino all’apparizione dei denti.
In seguito, l’atteggiamento nutrizionale del bambino si modifica e, nella norma, si instaura il processo di ” deglutizione secondaria” con la verticalizzazione della lingua, che comincia a svolgere il suo ruolo di sviluppo morfogenetico sui mascellari. Il passaggio dalla deglutizione infantile a quella adulta non si realizza immediatamente; a volte richiede da qualche mese a qualche anno. In qualche caso, la maturazione verso la deglutizione secondaria non avviene mai. Questi soggetti presenteranno, nel corso dello sviluppo, anomalie quali morso aperto dentale anteriore e laterale, contrazioni anomale delle labbra e dei muscoli oro-facciali e alterazioni nella posizione della lingua anche a riposo.L’eziologia della disfunzione linguale è varia; questa può essere provocata da disturbi affettivi, da abitudini viziate oppure da anomalie organiche delle basi ossee, ad esempio una 2° classe importante o, ancora, da problemi della muscolatura labiale ed infine da problemi di dimensione o di inserzione della lingua stessa (macroglossia, frenulo corto, etc). Il ruolo della lingua è fondamentale nello sviluppo dell’occlusione.
Il Dott. Bonnet definisce la malocclusione “un mancato appuntamento tra la discesa dei denti e la risalita della lingua”.
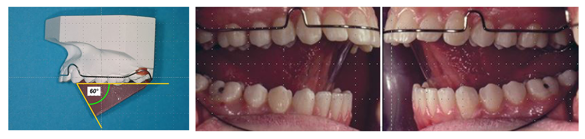
Molte apparecchiature sono utilizzate dagli ortodontisti per il controllo e la rieducazione della funzionalità linguale. Si utilizzano, per esempio, gli spuntoni linguali che sfruttano il meccanismo ad arco riflesso e provocano un arretramento della lingua, oppure gabbie che impediscono per via meccanica l’interposizione linguale o, ancora, rampe che alzano passivamente la lingua. Tutti questi metodi danno, purtroppo, risultati incostanti e non stabili nel tempo. Anche la mioterapia, che sfrutta un processo di apprendimento cosciente da parte del soggetto, si rivela sovente poco efficace, perché richiede, ai pazienti e alle loro famiglie, grande collaborazione che difficilmente può essere assicurata con la continuità necessaria.Il Dott. Bruno Bonnet, ortodontista esclusivo, che esercita a Parigi, ha messo a punto un’apparecchiatura originale che ha aperto nuove prospettive nella terapia delle disfunzioni linguali. L’enveloppe linguale nocturne o involucro linguale notturno (E.L.N.), contrariamente alle altre apparecchiature, si può definire un apparecchio attivo in quanto stimola la motricità spontanea della lingua attraverso la sensibilità della mucosa linguale. Viene portato tre minuti per tre volte al giorno e tutta la notte. L’apparecchio favorisce l’immediata risalita attiva della lingua, attraverso il piano inclinato anteriore, verso le zone delle rughe palatine. Questo processo mette in atto da subito il programma di deglutizione secondaria che si stabilizzerà nel tempo con una minima collaborazione del paziente.
Occorre premettere che, secondo la filosofia dell’autore, per rendere possibile la rieducazione linguale è necessario che la scatola linguale sia normale. La prima fase del trattamento sarà la normalizzazione delle basi scheletriche, necessaria soprattutto nelle seconde classi. Nelle prime e nelle terze classi, l’ELN può essere utilizzato da solo, associato al Lip bumper superiore ed inferiore o a trazione postero anteriore di Delaire. Se necessario, una seconda fase di trattamento, completerà la terapia con la finalizzazione dell’occlusione, attraverso bandaggio delle arcate, seguito dalla contenzione finale, quasi sempre assistite dall’uso dell’ELN. L’apparecchio si è infatti dimostrato particolarmente utile anche nel controllo delle recidive alla fine dei trattamenti ortodontici e ortodontico – chirurgici.
Benefici della Rieducazione con l’ELN
L’uso dell’ELN può portare a diversi benefici:
• Correzione della deglutizione atipica: favorisce una deglutizione in cui la lingua si appoggia contro il palato, proteggendo i denti anteriori e migliorando la stabilità dei risultati ortodontici.
• Supporto allo sviluppo facciale armonioso: una posizione corretta della lingua aiuta a modellare il palato e favorisce la crescita simmetrica delle strutture facciali.
• Miglioramento della respirazione: con il tempo, l’ELN può aiutare a passare dalla respirazione orale a quella nasale, riducendo problemi legati alla postura linguale.
• Stabilizzazione dei risultati ortodontici: correggendo la funzione linguale, l’ELN contribuisce a mantenere i denti nella loro posizione corretta anche dopo il termine di un trattamento ortodontico.
Il Ruolo della Logopedia
Nei pazienti adolescenti o adulti , la rieducazione linguale con l’ELN può essere combinata con sedute di logopedia, dove il paziente viene seguito da un logopedista per imparare esercizi di posizionamento linguale e deglutizione corretta. Questo approccio multidisciplinare (ortodontico e logopedico) è spesso essenziale per ottimizzare i risultati del trattamento, in quanto permette di agire sia sui fattori fisici che comportamentali.
Durata del Trattamento
La durata del trattamento con l’ELN varia in base alla gravità del problema e alla collaborazione del paziente. Generalmente, si consiglia di utilizzare l’ELN durante la notte per diversi mesi, per ottenere risultati duraturi. La compliance del paziente è fondamentale per la riuscita del trattamento.
In conclusione, l’Enveloppe lingual di Bruno Bonnet rappresenta un passo avanti nel campo dell’ortodonzia, mirando a un trattamento più olistico e personalizzato. Integrando rieducazione linguale e ortodonzia, si favorisce non solo un allineamento dentale estetico, ma si contribuisce anche al benessere generale del paziente, promuovendo abitudini orali corrette e una migliore funzionalità. Questo approccio innovativo rappresenta il futuro dell’ortodonzia, con un focus maggiore sulla prevenzione e sulla salute a lungo termine.
BIBLIOGRAFIA:
Bonnet B. – Un appareil de reposturation linguale:
l’Enveloppe Linguale Nocturne (E.L.N.). Rev.Orthop. DentoFaciale 1992; 26: 329-348.
Bonnet B. – Correction de la posture linguale par l’E.L.N. Chirurgien dentiste de France 1994;719 – 13/10
Bonnet B., Lejoyeux E. – Le traiment des classes III. In: Lejoyeux E., Flaguel F. Ortopédie Dento- faciale. Une approche bioprogressive. Quintessence International, Paris, 1999.
Congratulazioni e buon lavoro!
SIRIO A EXPODENTAL


Lettera a Nicola Veltri: il ricordo di un amico
Aver incontrato lungo il percorso della mia vita umana e Professionale il Prof. Nicola Veltri, è stato, per me, Pediatra di nascita, come provare l’emozione di assistere a qualcosa che nobilita l’uomo. La Sua presenza , con tutti i Suoi insegnamenti, ha favorito il germoglio di un seme che, nascendo, vede formare prima le radici, poi le prime foglie, infine la fioritura fino alla produzione dei frutti. La nascita della pianta della mia vita culturale ed umana sono da attribuire a Nicola che, seminando le Sue idee, per mia fortuna, le ho visto geminare e prendere forma. I suoi insegnamenti sono stati modellati ed orientati verso tutti quelli a cui Lui desiderava offrirli. Avendo ricevuto l’onore di essere al suo fianco per lungo tempo mi fa acquistare il valore incommensurabile di qualcosa di più grande dell’Amicizia stessa. Quando, negli anni ottanta, entrai a far parte del Suo gruppo, mi prese per mano come se fossi un fratello minore guidandomi per i sentieri dell’Ortognatodonzia. Il Suo atteggiamento è stato sempre il medesimo verso tutti coloro che hanno avuto la fortuna di essere Suoi allievi: una persona senza egoismo , legato con tutto il corpo, l’anima ed il cuore alla sua vera passione: l’Ortognatodonzia. Aver ricevuto da Lui tanti insegnamenti è stato come scrivere, da parte Sua, capitoli della mia vita Professionale ed umana. Nicola era innamorato delle proprie idee ed ha saputo approfondire gli studi sugli argomenti ortognatodontici che conosceva meglio. Grazie alla Sua energia e voglia di fare , mi ha insegnato ad affrontare serenamente casi clinici, anche i più difficili, fornendomi suggerimenti sul percorso diagnostico ed offrendomi alternative per la soluzione dei problemi che, via via, si presentavano. Il Suo ricordo mi procura una doppia emozione: in primo luogo, quella di essere Lui riuscito a trasmettermi il desiderio latente di offrirmi l’ esperienza che aveva prodotto nelle aule universitarie e nelle Sue innumerevoli conferenze; in secondo luogo perché mi sento fiero ed onorato di essere stato Suo allievo ma, principalmente, Collega di lavoro e Suo Amico. Nicola mi ha insegnato che l’Ortognatodonzia non deve essere considerata, come oggi accade per la maggior parte delle persone,” il raddrizzamento dei denti”. Gran parte della gente considera questa Disciplina pressochè un servizio cosmetico, proprio come il lifting o le iniezioni di tossina botulinica. Nicola mi ha lasciato l’eredità di saper guidare letteralmente la crescita cranio-maxillo-facciale sulla base degli insegnamenti dell’Immenso comune Maestro Prof. Ennio Gianni. Egli aveva intuito e capito che “la crescita guidata” rappresenta il trattamento più adeguato per le ipo ed iperplasie dei mascellari, le deviazioni della crescita facciale ed i problemi neuro-muscolari anomali che deformano le arcate dentarie; tutto questo Lui lo sapeva , soprattutto sosteneva che la modulazione auxologica è molto meglio di qualsiasi intervento successivo di chirurgia ortognatica…ed anche più sicura. Lui sapeva e conosceva gli enormi benefici che derivano dalla “crescita guidata” e dalla eliminazione delle abitudini muscolari anomale che deformano i denti ed i mascellari ( parafunzioni). La Sua parola chiave era : “Diagnosi” e consapevolezza che tutto il corpo può risentire di problemi ortopedici dento-facciali. Partendo dalla Diagnosi, approntava il percorso terapeutico, per concludere con la meccanoterapia “biologicamente guidata”. Quando, per imparare, frequentavo con gioia ed assiduità il Suo studio, mi diceva spesso: “ Francesco. Se imparerai a collocare bene in sede le bande ortodontiche, solo allora, potrai eseguire correttamente la “terapia fissa” delle due arcate” ( piccole chicche di filosofia spicciola di una vita vissuta al fianco di un Maestro).Grazie, Nicola, per essere riuscito, sempre, a motivare i tuoi studenti ad esercitare la pratica della prevenzione e dell’intercettazione dei problemi ortognatodontici, un ramo del sapere al quale hai dedicato tutta la tua vita. Tu rimani nella nostra memoria con il tuo sorriso e la caparbietà degna dei grandi. Hai saputo “contagiare benevolmente” tanti giovani Colleghi facendo loro amare il trattamento integrale dei pazienti in età infantile e stimolandoli alle problematiche occlusali che si presentano in questo periodo della vita così ricco di cambiamenti. Sia Tu che io, insieme, abbiamo vissuto l’esperienza di operare in mezzo ai bambini. Insieme a loro ci siamo connessi con una parte molto speciale di noi stessi: il bambino interiore che abbiamo bisogno di ritrovare in tanti momenti della nostra vita e che, probabilmente, è la parte migliore di ciascuno di noi. E i bambini hanno avuto, sempre, la capacità di risvegliare in te emozioni profonde. Sei stato, come me, fortunato a prenderti cura dei piccoli pazienti; essi, , con i loro gesti, la loro allegria sincera, ci commuovono come nessun’altra esperienza nella vita. Ti ho sempre considerato uno dei Medici più competenti: sai perché? Pur possedendo un vasto serbatoio di esperienze di prima mano, hai continuato ad espandere le tue conoscenze di base tenendoti aggiornato sulle nuove scoperte ed hai saputo attingere a questo patrimonio per formulare Diagnosi corrette e curare i tuoi bambini. Questo continuo impulso a mantenerti aggiornato conta molto di più dei punteggi conseguiti all’Università. La chiave di un’esistenza felice è rappresentata dalle relazioni affettive; tu hai ricevuto tanto affetto da tutti quelli che ti han voluto bene e , fra questi, ci sono anch’io. L’Amore e l’Amicizia fanno invecchiare meglio. La solitudine può riguardare tutti, adolescenti, adulti, anziani. Essa si accentua quando alcuni familiari o amici cari cominciano ad andarsene lasciando un vuoto difficile da colmare. Caro Nicola, senza te, oggi, mi sento un po’ più solo, ma, un giorno ci rincontreremo. Vedrai, ci faremo tante risate , come nel passato vissuto insieme. E sulle colline verdi illuminate da cieli azzurri o sulle rive meravigliose dell’oceano dell’Universo faremo festa riabbracciandoci.
Ciao, Nicola. Sei con me e dentro la mia anima
Francesco Capozzi o, se preferisci : “Ser Capuozzon”, come piaceva a Te.
MILANO, 20 Maggio 2025

