La rivista
Board
Norme redazionali
Abbonati a Doctor OS
Contattaci
News
Interviste
Editoriale
Articoli scientifici
Chirurgia
Clinica
Conservativa
Endodonzia
Estetica
Igiene e prevenzione
Implantologia
Laser
Ortodonzia
Protesi
Traumatologia
Focus on
Rubriche
Architettura
Commercialista
Digitalizzazione dello studio
Ergonomia
Fiscalista
Fotografia odontoiatrica
Legge
Management odontoiatrico
Marketing sanitario
Odontostoria
Rassegna bibliografica
Team odontoiatrico
Associazioni
AIDI
AIO
ANDI
FONDAZIONE ANDI
AIOP
IAO
SIdCO
SIDO
SIdP
SIOI
SIPRO
SISCOO
Prodotti
Agenda
cerca
LOG IN
Welcome! Log into your account
Forgot your password?
Recover your password
Doctor OS
La rivista
Board
Norme redazionali
Abbonati a Doctor OS
Contattaci
News
Interviste
Editoriale
Articoli scientifici
Chirurgia
Clinica
Conservativa
Endodonzia
Estetica
Igiene e prevenzione
Implantologia
Laser
Ortodonzia
Protesi
Traumatologia
Focus on
Rubriche
Architettura
Commercialista
Digitalizzazione dello studio
Ergonomia
Fiscalista
Fotografia odontoiatrica
Legge
Management odontoiatrico
Marketing sanitario
Odontostoria
Rassegna bibliografica
Team odontoiatrico
Associazioni
AIDI
AIO
ANDI
FONDAZIONE ANDI
AIOP
IAO
SIdCO
SIDO
SIdP
SIOI
SIPRO
SISCOO
Prodotti
Agenda
Home
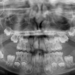
Cisti eruttive multiple in un bambino di 7 anni. Caso clinico
2
2
IN PRIMO PIANO
Essere un bravo dentista non basta più: come creare un brand...
Tiziana Di Fraia
13 Febbraio 2026