
Il presente lavoro si pone l’obiettivo di descrivere la gestione terapeutica di un paziente in crescita in dentizione mista con scarsa igiene orale, elevata cariorecettività, contrazione palatale, affollamento e seconda classe scheletrica, attraverso un approccio multidisciplinare pedodontico e ortodontico.
Il paziente si è recato in prima visita presso il dipartimento di odontoiatria dell’IRCCS Ospedale San Raffaele di Milano. In seguito a una completa anamnesi medica e odontoiatrica, e dopo aver eseguito una valutazione ortodontica e pedodontica, è stato definito un iter terapeutico composto da più fasi. All’esame obiettivo questo mostrava alta cariorecettività con scarsa igiene orale, contrazione palatale e arcate superiore e inferiore contratte.
La prima fase del trattamento ha previsto l’apposizione di un espansore palatale per l’arcata superiore e un arco linguale per l’arcata inferiore. Contemporaneamente sono state eseguite le estrazioni dei denti decidui definiti irrecuperabili con cure conservative.
In seguito alla permuta completa degli elementi dentali permanenti, è stato avviato un trattamento con Invisalign®, utilizzando un protocollo MA (mandibular advancement), al fine di correggere la II classe scheletrica, allineare il sorriso e favorire una migliore igiene orale. A seguito poi di una fase di rifinitura sono state consegnate le contenzioni per mantenere il risultato.
L’utilizzo degli allineatori ha consentito una completa risoluzione della malocclusione, mostrando un miglioramento dell’igiene orale e delle abitudini del paziente.
L’approccio terapeutico integrato ha dimostrato l’efficacia di una gestione multidisciplinare nei pazienti in crescita con problematiche complesse, migliorando sia l’estetica che la funzionalità e l’igiene orale.
INTRODUZIONE
Nel trattamento di casi clinici che necessitano di una gestione multidisciplinare in ambito pedodontico e ortodontico, è importante pianificare le varie fasi al fine di migliorare la predicibilità del risultato, in quanto le condizioni cliniche e la lunghezza del trattamento possono influire su quest’ultimo (1,2).
La cariorecettività in pazienti in età infantile si riferisce alla suscettibilità di sviluppare carie dentali in età pediatrica, la quale rappresenta una problematica complessa che può creare ripercussioni durante l’intera vita del bambino (1,2). Tale problematica ha un’eziologia multifattoriale di cui fanno parte varie condizioni come una scarsa igiene orale, un’alimentazione con assunzione eccessiva di cibi e bevande ricche di zuccheri. Inoltre, sia la flora batterica, l’anatomia degli elementi dentali e una predisposizione genetica possono contribuire alla formazione di carie dentali (3,4).
L’approccio al trattamento di questa patologia è duplice, partendo da interventi preventivi arrivando a interventi professionali attraverso cure conservative e pedodontiche, dove necessario (1,3).
Nei pazienti in crescita si ha spesso l’associazione di queste problematiche restaurative con problematiche di malocclusione, che richiedono la necessità di sottoporre il paziente a un trattamento ortodontico (5).
Negli ultimi decenni la terapia con allineatori, con il sistema Invisalign® (Align Technology), è diventata una pratica comune per il trattamento di problematiche ortodontiche, grazie al minor impatto sull’igiene orale, ai vantaggi estetici per il paziente, al progressivo incremento delle potenzialità di trattamento a livello ortodontico (6).
CASO CLINICO
Un paziente maschio di 8 anni si è presentato in prima visita presso il dipartimento di odontoiatria dell’IRCCS Ospedale San Raffaele di Milano. Dall’anamnesi e dalla valutazione clinica svolta con la collaborazione del reparto di pedodonzia, è stata evidenziata una condizione di dentizione mista, la presenza di alcuni elementi dentali con trattamenti odontoiatrici pregressi incongrui e una scarsa igiene orale.
Tale affermazione è stata dimostrata dall’analisi dell’ortopantomografia, in cui era evidente la presenza di materiale non riassorbile, presumibilmente materiale di otturazioni canalari per elementi definitivi, utilizzato in questo caso clinico in elementi dentali decidui, con conseguente difficoltà nel processo di esfoliazione e riassorbimento delle radici stesse (fig. 1).
Attraverso l’esame obiettivo extra orale del volto, si evidenziava una forma ovale del viso proporzionato e simmetrico, senza la presenza di dismetrie, in cui tutti i piani sagittali sono paralleli tra di loro.
Inoltre, dall’analisi del volto si evidenziava la presenza di una mandibola leggermente retrusa. Ciò è stato confermato dalla teleradiografia latero-laterale, attraverso la quale è stata osservata una condizione di normo-divergenza con una tendenza all’iper-divergenza, con una condizione di seconda classe scheletrica, valutando gli angoli SNB ed ANB, le cui misure risultano essere rispettivamente di 75,5° e 4,5° (fig. 2).

Attraverso un’analisi mini-estetica del volto, valutando quindi i rapporti presenti tra il sorriso e le labbra nella loro totalità, si evidenziava una linea estetica corta e un arco del sorriso non concordante. Inoltre, sia per l’età del paziente sia a causa della presenza di numerose carie destruenti, le proporzioni dei singoli denti non sono stati valutabili.
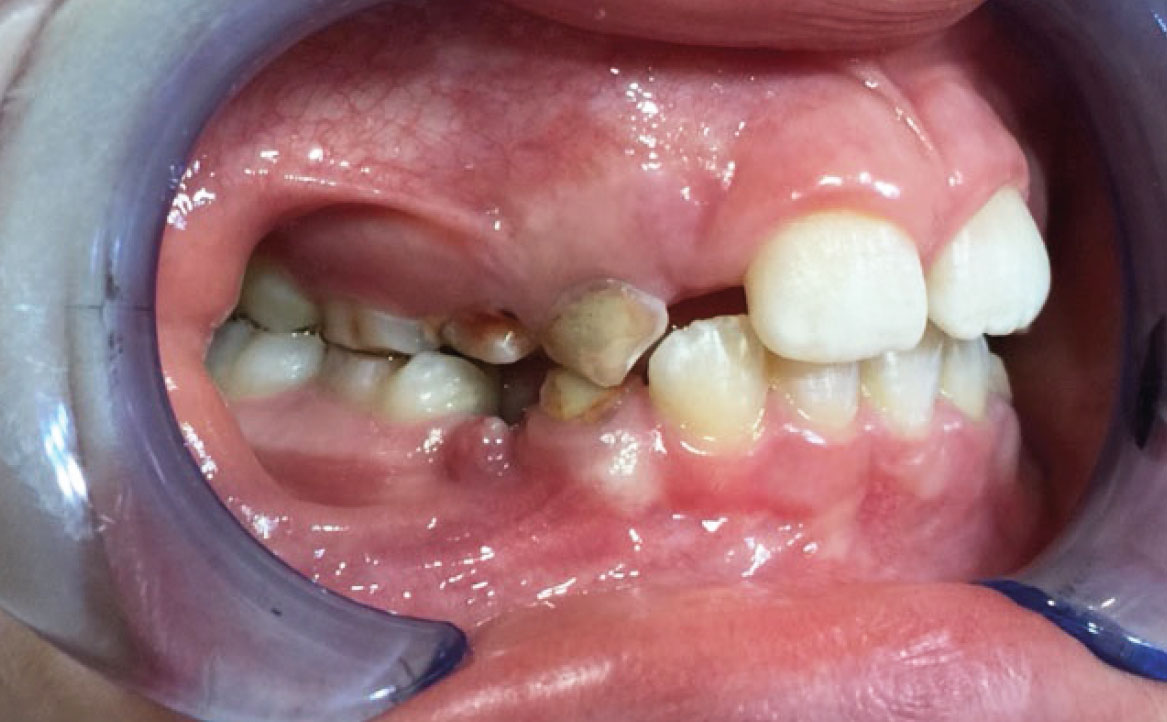
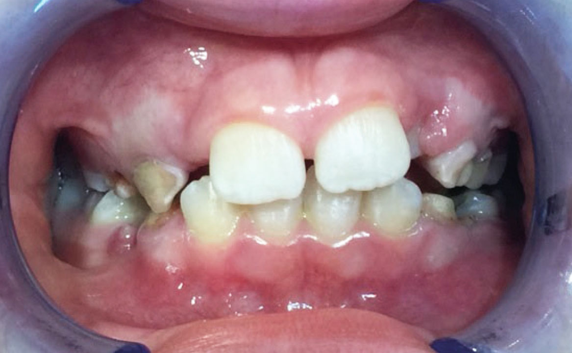
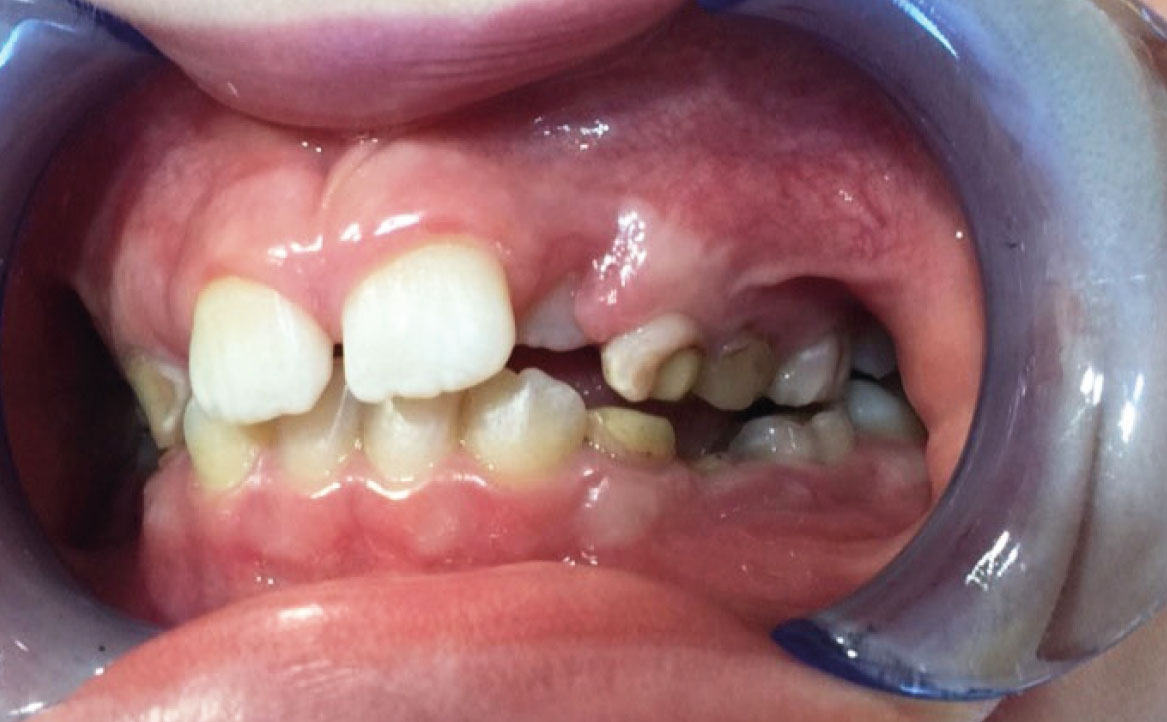
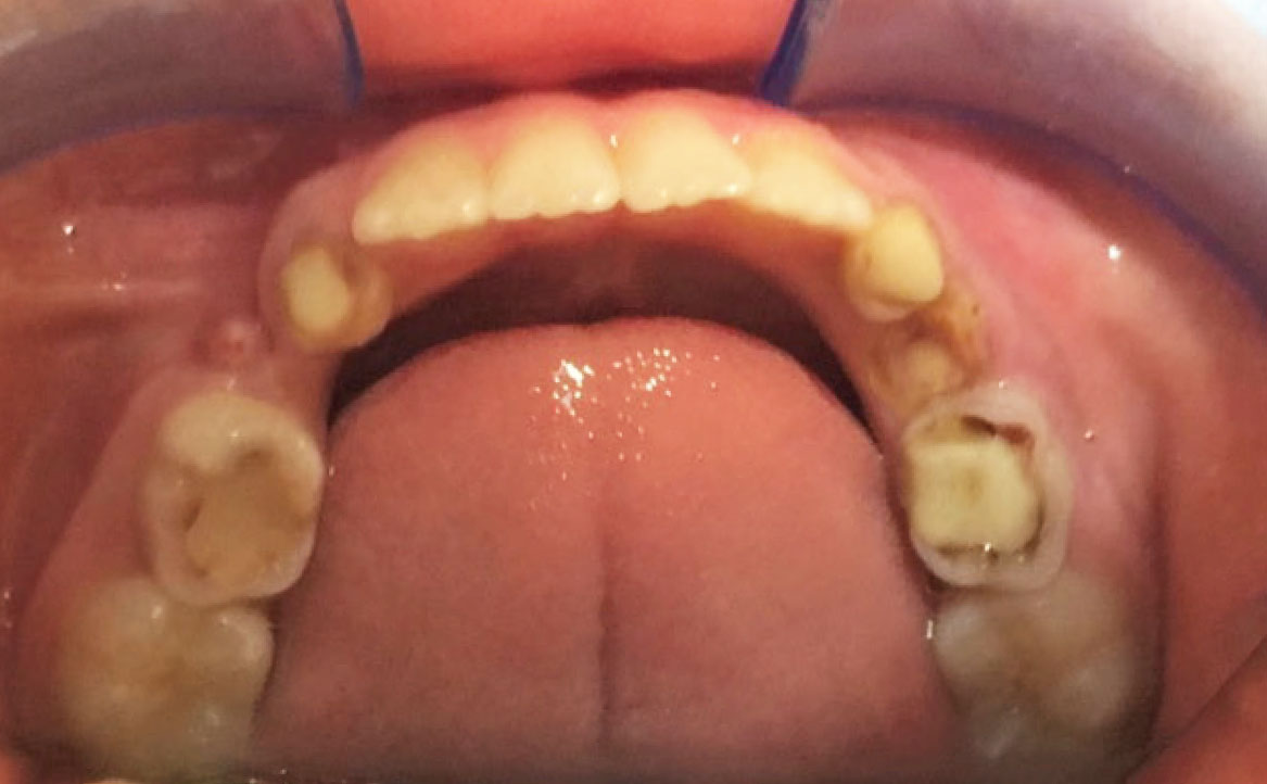
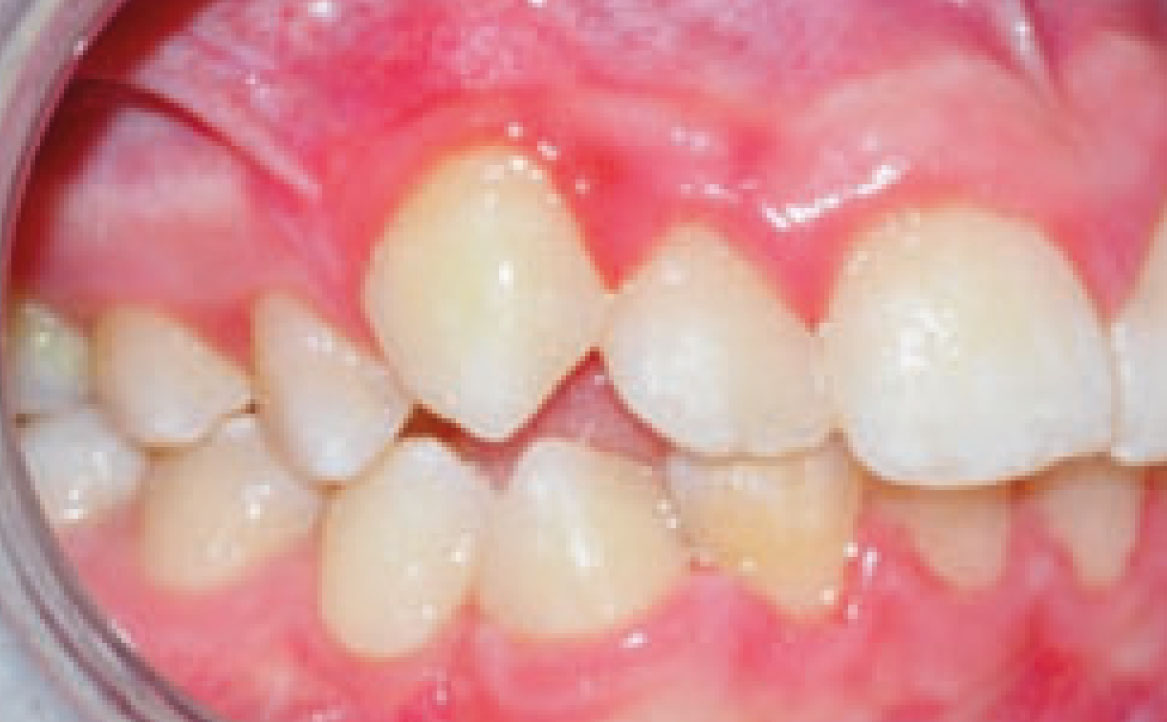
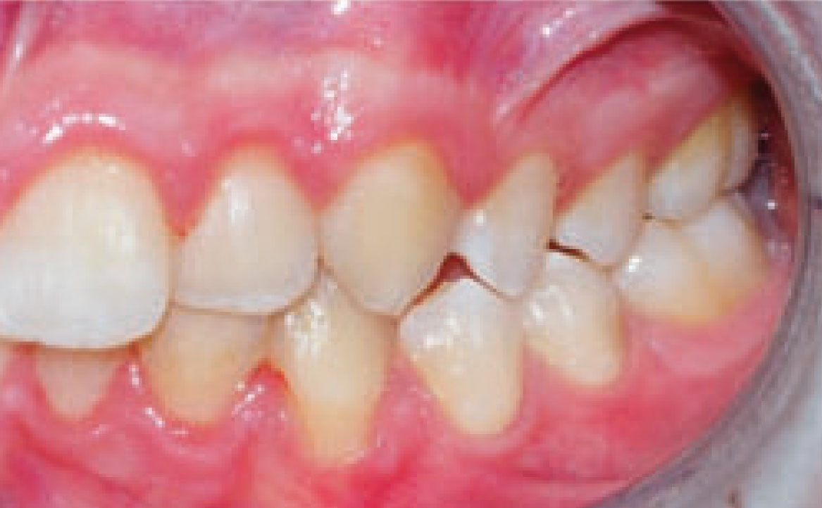
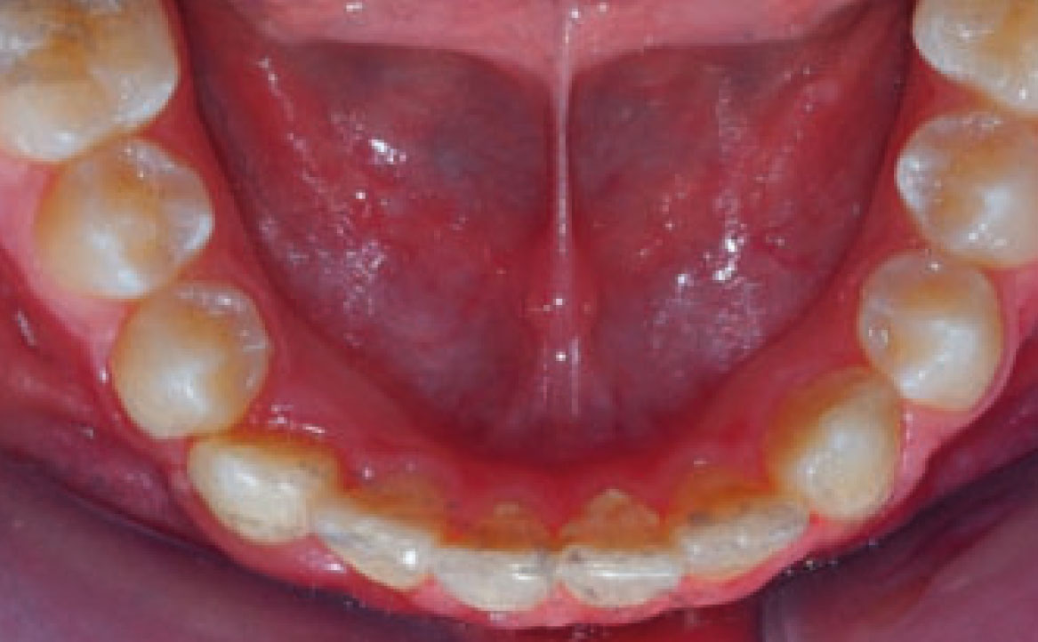
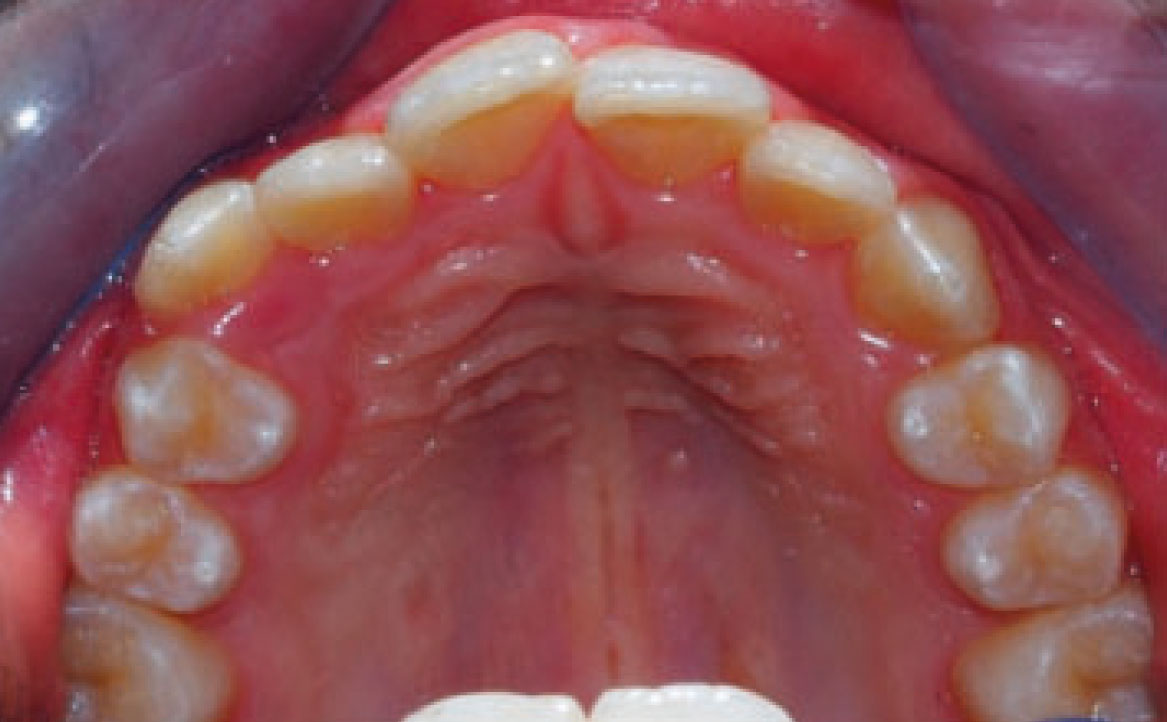
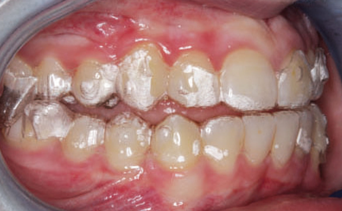
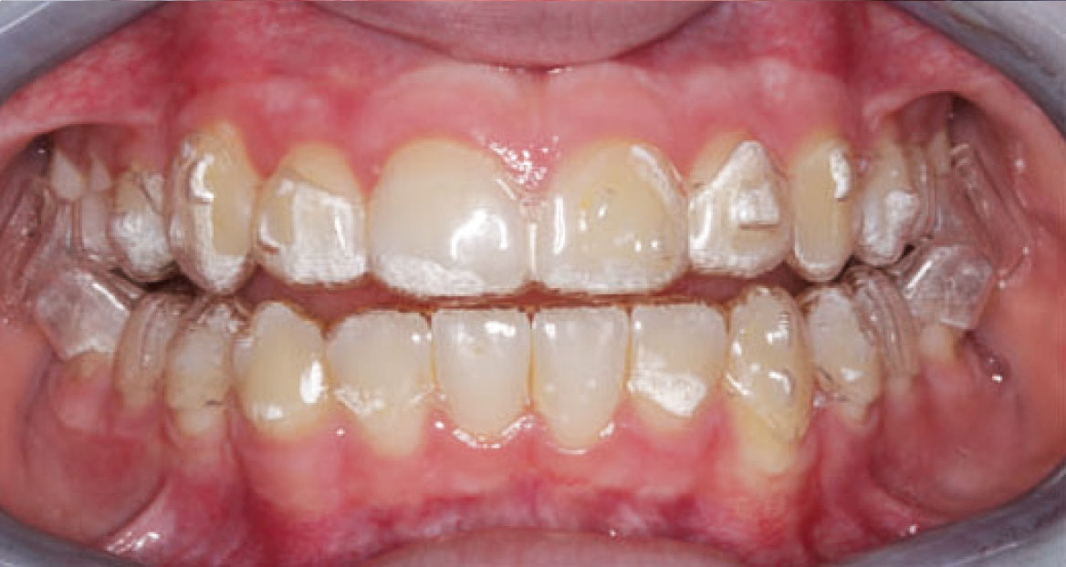
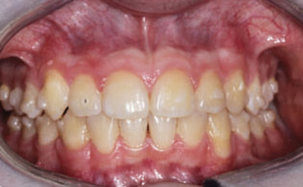
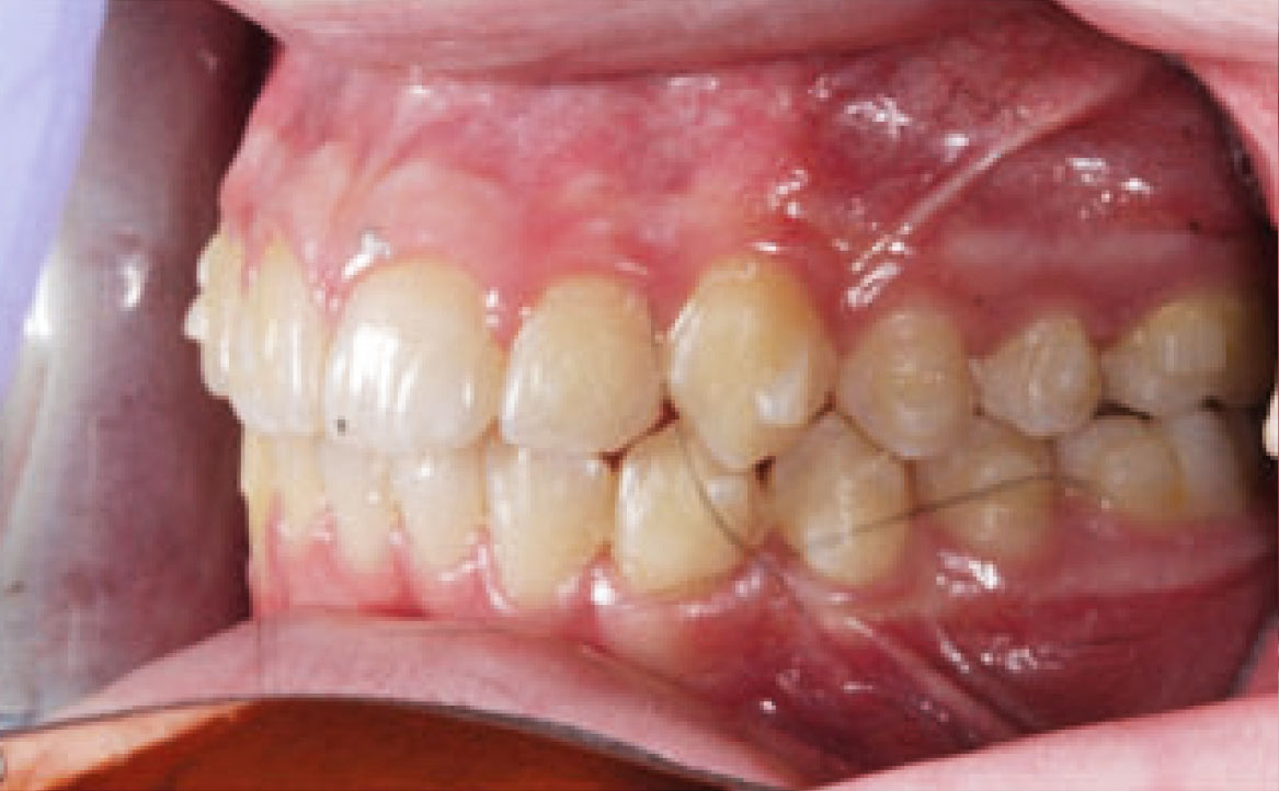
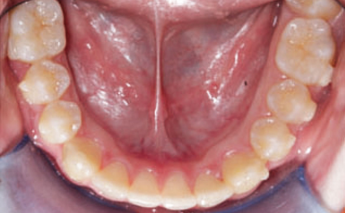
Dall’esame obiettivo intra orale si osservava una seconda classe canina destra e sinistra, una seconda classe molare destra e sinistra, e un diametro inter-canino e inter-molare ridotto sia in riferimento al mascellare superiore sia al mascellare inferiore (fig. 3A-3E).





Tramite la collaborazione del reparto di pedodonzia, il trattamento è stato suddiviso in varie fasi.
Al fine di ottenere un’espansione delle arcate, nella fase iniziale, è stato posizionato un espansore rapido palatale sull’arcata superiore e un arco linguale a livello dell’arcata inferiore per permettere le estrazioni dei denti decidui compromessi.
Terminata la prima fase, all’età di 11 anni, il paziente è stato rivalutato tramite gli esami radiografici. Dall’OPT si osservava la presenza della dentatura permanente, con prossima esfoliazione dei settimi, oltre alla formazione delle gemme degli elementi 18-28-38-48 (fig. 4).

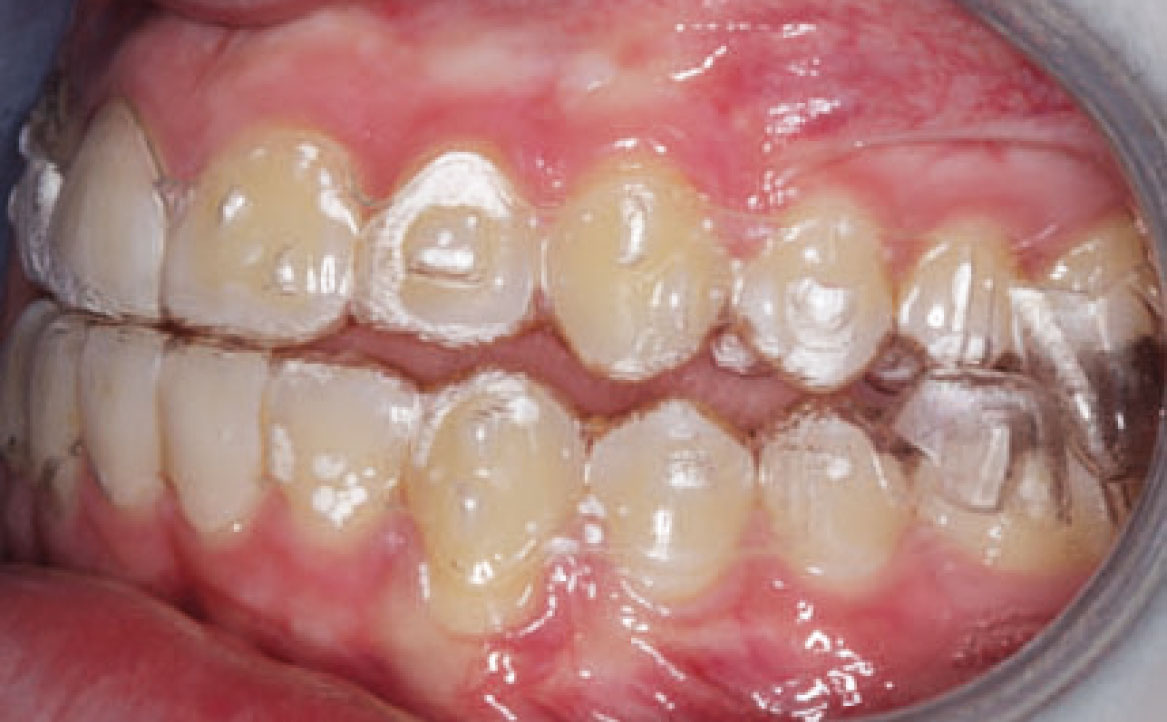
A seguito del trattamento è stato osservato un miglioramento dell’igiene orale (fig. 5).





La teleradiografia latero-laterale confermava il sospetto di una seconda classe scheletrica, con angoli SNB e ANB rispettivamente di 77° e 5°, con un aumento della pro-inclinazione degli incisivi superiore e un aumento dell’overjet, corrispondente a circa 6 mm (fig. 6).

In seguito alla rivalutazione, al fine di ottimizzare il rapporto sagitale, è stata pianificata la seconda fase del trattamento, la quale aveva previsto l’utilizzato di allineatori trasparenti con il sistema Invisalign® con protocollo MA (fig. 7).



Il sistema Invisalign® permette di creare un avanzamento mandibolare e un allineamento dell’arcate, oltre al riposizionamento dell’elemento dentale 1.3.
Il confronto con le teleradiografie precedenti ha dimostrato che, tramite il trattamento con Invisalign®, è stata ottenuta una risoluzione della classe scheletrica ed un’armonizzazione dei tessuti, con riduzione dei valori di Overjet, Overbite e ANB.
Come ultima fase è stata eseguita la rifinitura con allineatori, al fine di migliorare la linea del sorriso e avere un perfezionamento dell’allineamento dentale.
Al termine della fase di rifinitura, sono state consegnate al paziente le contenzioni da indossare durante la notte, al fine di mantenere stabile il risultato ottenuto.
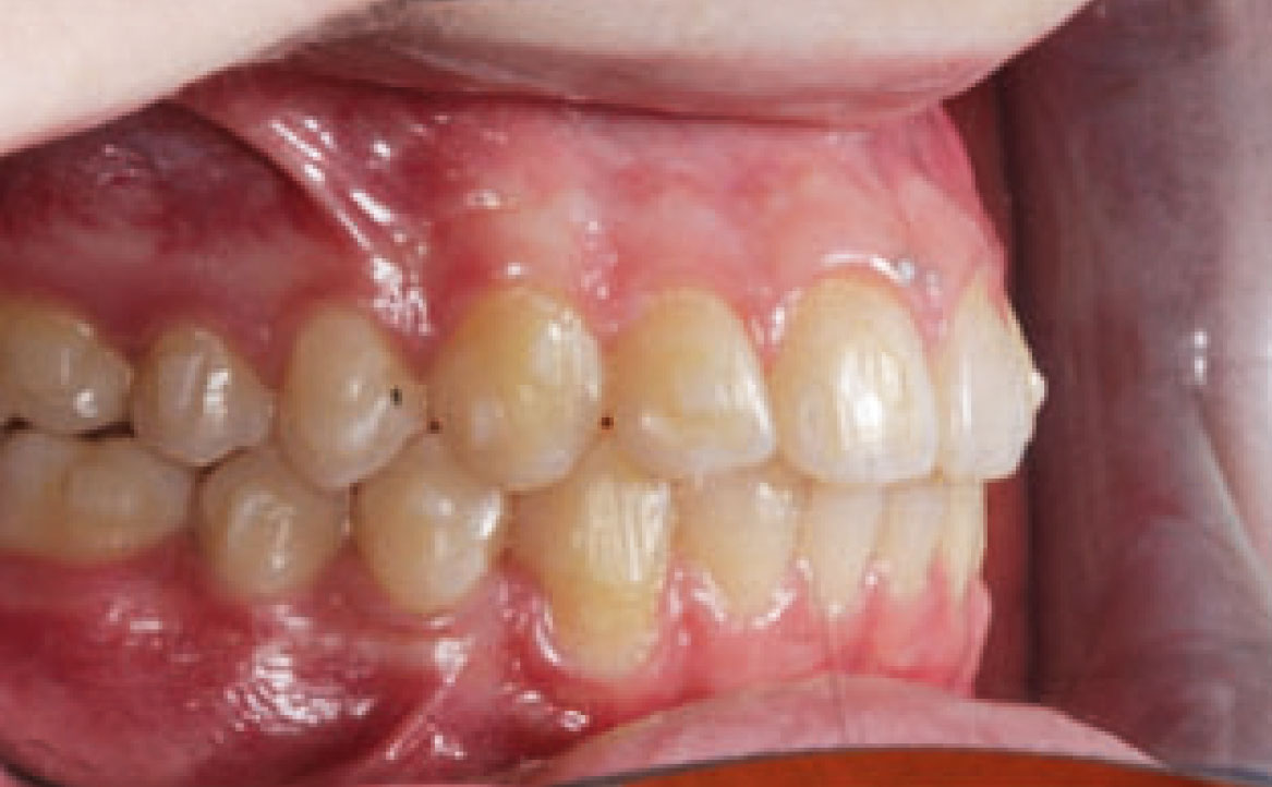
In seguito, il paziente è stato monitorato periodicamente sia dal reparto di ortodonzia che dal reparto di igiene orale a causa della sua storia clinica di cariorecettività inziale (fig. 8, 9).






RISULTATI E DISCUSSIONE
Per la risoluzione del caso clinico è stato essenziale instaurare una collaborazione tra il reparto di pedodonzia e quello ortodontico, ottenendo così un adeguato allineamento dentale ed una soddisfazione del paziente, insieme a un maggiore controllo sulla condizione di cariorecettività. Come riportato in letteratura, l’utilizzo del sistema Invisalign® negli ultimi decenni ha agevolato la risoluzione anche di casi ortodontici più complessi che richiedevano un approccio multidisciplinare. Questi dispositivi comportano un miglioramento e un minor impatto sulle pratiche di igiene orale. Ciò si traduce non solo in una risoluzione del trattamento ortodontico, ma anche in un impatto estetico e psicosociale ridotto per il paziente (8).
CONCLUSIONI
L’approccio multidisciplinare, grazie alla collaborazione tra il reparto di pedodonzia e il reparto ortodontico, è stato cruciale per la risoluzione del seguente caso clinico. Questa gestione terapeutica ha consentito l’esecuzione di trattamenti pedodontici dove necessario, al fine di conseguire e migliorare anche il risultato ortodontico prefissato. Inoltre, le scelte terapeutiche ortodontiche, come l’utilizzo di allineatori trasparenti tramite il sistema Invisalign®, hanno contribuito al raggiungimento degli obiettivi prefissati, migliorando anche le abitudini e l’igiene orale del paziente.
1. Caruso S et al. Mandibular advancement with clear aligners in the treatment of skeletal Class II. A retrospective controlled study. Eur J Paediatr Dent. 2021;22(1):26-30.
2. Abbate GM et al. Periodontal health in teenagers treated with removable aligners and fixed orthodontic appliances. J Orofac Orthop. 2015 May;76(3):240-50.
3. Levrini L et al. Periodontal health status in patients treated with the Invisalign(®) system and fixed orthodontic appliances: A 3 months clinical and microbiological evaluation. Eur J Dent. 2015 Jul-Sep;9(3):404-410.
4. Bracco P. [Preventive pedodontics and preventive orthodontics: problems and proposed solutions]. Prev Stomatol. 1980 May-Jun;6(3):7-14. Italian. PMID: 6935646.
5. Iannetti G, Silvestri A, Schiavoni R, Cascone P. [Contraction of the maxilla: diagnosis and therapy]. Mondo Ortod. 1982 Sep-Oct;7(5):23-40. Italian. PMID: 6765206.
6. Hennessy J, Al-Awadhi EA. Clear aligners generations and orthodontic tooth movement. J Orthod. 2016;43:68–76. Feliu JL. Long-term benefits of orthodontic treatment on oral hygiene. Am J Orthod 1982;82(6):473-477.
7. Le Corre D. [Prevention of dental caries and motivation in pedodontics]. Prev Stomatol. 1979 May-Jun; 5(3):31-40. Italian. PMID: 394146.
8. Zhang B. et al. [Effect of clear aligners on oral health-related quality of life:A systematic review. Orthod.] Craniofac.Res 23 (4) , 363-370 (2020) PMDI: 32340082
The patient initially presented at the Department of Dentistry, IRCCS San Raffaele Hospital in Milan. Following a comprehensive medical and dental history and a full orthodontic and paediatric assessment, a multi-phase treatment plan was established.
Clinical examination revealed high caries risk, poor oral hygiene, and constricted upper and lower arches.
The first phase of treatment involved placement of a palatal expander in the maxillary arch and a lingual holding arch in the mandibular arch. Simultaneously, deciduous teeth deemed non-restorable were extracted and conservative care was provided.
Once the transition to permanent dentition was complete, orthodontic treatment was initiated using Invisalign® with a mandibular advancement (MA) protocol, aiming to correct the skeletal Class II relationship, align the dentition, and improve oral hygiene. After the finishing phase, retainers were delivered to maintain the achieved results.
The aim of this study is to describe the therapeutic management of a growing patient in the mixed dentition phase, presenting with poor oral hygiene, high caries susceptibility, palatal constriction, crowding, and skeletal Class II malocclusion, through a multidisciplinary approach involving both paediatric dentistry and orthodontics.
The use of aligners allowed for complete correction of the malocclusion, along with notable improvements in the patient’s oral hygiene and habits.
This case demonstrates the effectiveness of a multidisciplinary treatment approach in growing patients with complex dental and skeletal conditions, achieving both aesthetic and functional improvements, as well as enhanced oral hygiene.



