L’obiettivo di questo case report è quello di mostrare come gli impianti associati a tecniche di rigenerativa possano sostituire gli elementi dentari compromessi in area estetica. Si presenta alla nostra osservazione una paziente di 40 anni riferendo sensibilità, dolore alla masticazione e mobilità a carico degli incisivi centrali inferiori. Dall’esame obiettivo e radiografico si valutano gli elementi 4.1 e 3.1 come hopless.
Previa anestesia locale si pianifica l’avulsione atraumatica degli elementi dentari 3.1 e 4.1 con rigenerativa dell’area mediante osso bovino deproteinizzato e membrana collagene eterologa. Trattandosi di un’area estetica viene consigliato alla paziente un maryland bridge per consentire la guarigione della rigenerativa sottostante senza caricare la zona. Dopo 10 mesi, si posizionano gli impianti previa progettazione tridimensionale. Si consegnano alla paziente gli elementi protesici provvisori e successivamente i definitivi.
Grazie alle tecniche di rigenerativa, al corretto timing di inserimento implantare e alla pianificazione tridimensionale del caso è stato possibile ricreare gli adeguati spessori ossei e mucosi per il posizionamento implantare ristabilendo la salute, la funzione e l’estetica della paziente.
La corretta pianificazione del caso, le procedure di rigenerativa e il posizionamento tridimensionale degli impianti hanno permesso la gestione predicibile del caso ristabilendo salute, funzione ed estetica.
INTRODUZIONE
É noto come gli impianti rappresentino una valida soluzione terapeutica per la sostituzione degli elementi dentali compromessi (Testori T. et al. 2018; Liu Y. et al. 2023; Chen ST. et al. 2014). Qualora ci sia carenza di osso e mucosa si può ricorrere a tecniche rigenerative per ristabilire gli adeguati spessori e volumi dei tessuti duri e molli consentendo la riabilitazione implanto-protesica del caso (Araujo MG. et al. 2005; Canullo L. et al. 2005; MacBeth ND. et al. 2022).
Si presenta alla nostra attenzione una paziente di 40 anni lamentando sensibilità, dolore alla masticazione e mobilità a carico degli incisivi centrali dell’arcata inferiore. Previa anamnesi medica e odontoiatrica si procede con l’esame obiettivo e con gli esami radiografici. Dall’esame obiettivo si osserva come gli elementi 3.1 e 4.1 risultino mobili, dalla radiografia si evidenzia un notevole riassorbimento osseo attorno agli elementi dentari in questione.
Si prospettano alla paziente diverse soluzioni terapeutiche e acconsente al seguente piano di trattamento: avulsione con rigenerativa degli elementi 3.1 e 4.1, posizionamento di un maryland bridge estetico in attesa della guarigione della zona (Araujo MG. et al. 2005; Canullo L. et al. 2005; MacBeth ND. et al. 2022; Leziy S. et al. 2022). Successivamente si procede al posizionamento degli impianti e alla protesizzazione degli stessi (Hammerle CH. et al. 2004).
Materiali e metodi
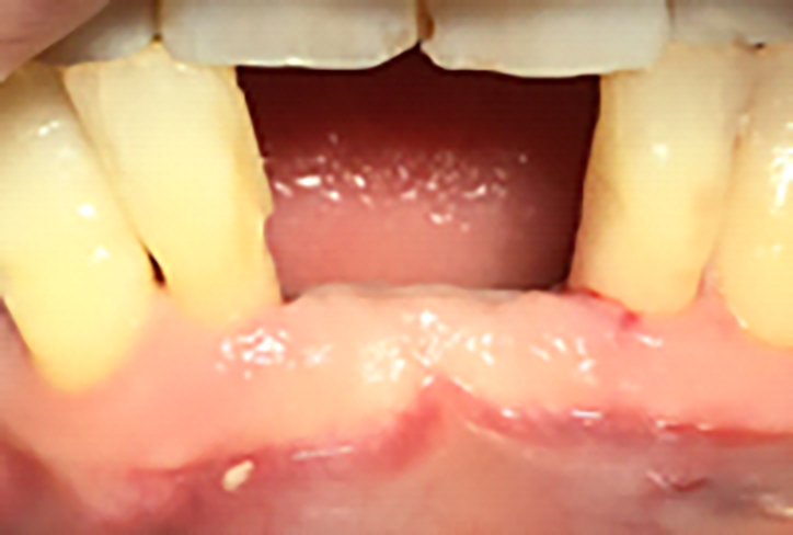
Previa anestesia locale si esegue lo scollamento di un lembo a spessore totale per consentire l’avulsione atraumatica degli elementi 3.1 e 4.1 (figure 1a-1b). Si revisionano le cavità alveolari e si posizionano osso bovino deproteinizzato e una membrana di collagene riassorbibile. Si sutura con filo 5/0, si posiziona un maryland bridge per garantire l’estetica in attesa dell’inserimento implantare e si esegue una radiografia di controllo (figure 2-4).





Si effettua un esame radiografico di secondo livello per procedere con la progettazione tridimensionale degli impianti in sede 3.1 e 4.1 (figure 5-6).


Dopo 10 mesi, si esegue di un lembo con incisione intrasulculare per gli elementi adiacenti alla sella edentula e festonata sulla sella edentula stessa.
Il lembo viene sollevato a spessore totale sia vestibolarmente che palatalmente (figura 7).

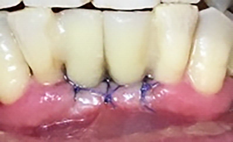
Si effettua la chirurgia implanto protesica guidata con mascherina (figura 8), si posizionano gli impianti 3.25 x 13 mm con un torque di 25 N (figura 9), si inseriscono i pilastri definitivi e si sutura (figura 10). Lo stesso giorno vengono ribasati e consegnati i provvisori solidarizzandoli con composito agli elementi 32-42 (figura 11).




Si effettua una radiografia di controllo dopo il posizionamento degli impianti e dei provvisori (figura 12).

Si effettua la prova struttura e dopo 8 mesi si consegnano gli elementi protesici definitivi (figure 13-14).


Risultati
In seguito all’estrazione degli elementi 3.1 e 4.1 si osserva a una settimana di follow up la perfetta guarigione dei siti (figure 4-5). I successivi follow up mostrano come la rigenerativa abbia ristabilito gli adeguati volumi ossei e grazie all’analisi tridimensionale dei siti implantari è possibile pianificare correttamente il posizionamento degli impianti (figura 6).
Dal follow up a 1 anno dal posizionamento implantare si nota come, attraverso la gestione d’insieme del caso, sia stato possibile sostituire gli elementi dentali compromessi senza rinunciare all’estetica.
Le procedure rigenerative consentono di ristabilire gli adeguati spessori e volumi dei tessuti duri e molli per poter posizionare gli impianti attraverso una progettazione accurata e tridimensionale del caso.
Dalle radiografie (figure 1a, 3 e 11) si nota come ci sia stato un incremento del tessuto osseo.
Discussione
É possibile riabilitare l’area estetica anteriore attraverso il posizionamento implantare previa attenta valutazione dei siti in esame (Testori T. et al. 2018; Liu Y. et al. 2023; Chen ST. et al. 2014).
In seguito all’estrazione di elementi hopless, le procedure rigenerative consentono di ristabilire gli adeguati spessori ossei prevenendo il riassorbimento osseo verticale e orizzontale degli alveoli.
La rigenerativa, con diversi materiali di origine autologa o eterologa, e il corretto timing implanto-protesico consentono, attraverso la pianificazione tridimensionale degli impianti, di raggiungere salute funzione ed estetica (Araujo MG. et al. 2005; Canullo L. et al. 2005; MacBeth ND. et al. 2022; Hammerle CH. et al. 2004).
Conclusioni
Le procedure di rigenerativa, in associazione all’estrazione degli elementi dentali, hanno consentito di ristabilire gli adeguati spessori e volumi ossei permettendo il posizionamento tridimensionale protesicamente guidato degli impianti e delle corone.
1. Testori T, Weinstein T, Scutellà F, Wang HL, Zucchelli G. Implant placement in the esthetic area: criteria for positioning single and multiple implants. Periodontol 2000. 2018 Jun;77(1):176-196. doi: 10.1111/prd.12211. Epub 2018 Feb 27. PMID: 29484714.
2. Liu Y, Yuan Q. Clinical decision and related factors influencing implant direction in the esthetic area. Hua Xi Kou Qiang Yi Xue Za Zhi. 2023 Oct 1;41(5):512-520. English, Chinese. doi: 10.7518/hxkq.2023.2023151. PMID: 37805675; PMCID: PMC10580232.
3. Chen ST, Buser D. Esthetic outcomes following immediate and early implant placement in the anterior maxilla–a systematic review. Int J Oral Maxillofac Implants. 2014;29 Suppl:186-215. doi: 10.11607/jomi.2014suppl.g3.3. PMID: 24660198.
4. Araújo MG, Lindhe J. Dimensional ridge alterations following tooth extraction. An experimental study in the dog. J Clin Periodontol. 2005 Feb;32(2):212-8. doi: 10.1111/j.1600-051X.2005.00642.x. PMID: 15691354.
5. Canullo L, Del Fabbro M, Khijmatgar S, Panda S, Ravidà A, Tommasato G, Sculean A, Pesce P. Dimensional and histomorphometric evaluation of biomaterials used for alveolar ridge preservation: a systematic review and network meta-analysis. Clin Oral Investig. 2022 Jan;26(1):141-158. doi: 10.1007/s00784-021-04248-1. Epub 2021 Nov 26. PMID: 34826029.
6. MacBeth ND, Donos N, Mardas N. Alveolar ridge preservation with guided bone regeneration or socket seal technique. A randomised, single-blind controlled clinical trial. Clin Oral Implants Res. 2022 Jul;33(7):681-699. doi: 10.1111/clr.13933. Epub 2022 Jun 22. PMID: 35488477; PMCID: PMC9541021.
7. Hämmerle CH, Glauser R. Clinical evaluation of dental implant treatment. Periodontol 2000. 2004;34:230-9. doi: 10.1046/j.0906-6713.2003.003434.x. PMID: 14717865.
8. Leziy S, Miller B. Implant-supported reconstruction in the esthetic zone. Compend Contin Educ Dent. 2011 Nov-Dec;32 Spec No 5:25-32. PMID: 22439259.
After local anesthesia, atraumatic avulsion of dental elements 3.1 and 4.1 is planned with regeneration of the area using deproteinized bovine bone and heterologous collagen membrane. Since this is an esthetic area, a maryland bridge is recommended to the patient to allow healing of the underlying regenerative without loading the area. After 10 months, implants are placed after three-dimensional design. Provisional prosthetic elements are delivered to the patient and then the permanent ones.
The aim of this case report is to show how implants combined with regenerative techniques can replace compromised dental elements in the esthetic area. A 40-year-old patient presents to our observation complaining of sensitivity, chewing pain, and mobility at the lower central incisors. On objective and radiographic examination, elements 4.1 and 3.1 are evaluated as hopless.
With regenerative techniques, proper implant placement timing, and three-dimensional case planning, it was possible to recreate the proper bone and mucosal thicknesses for implant placement restoring the patient’s health, function, and aesthetics.
Proper case planning, regenerative procedures, and three-dimensional implant placement enabled predictable case management by restoring health, function, and aesthetics.




