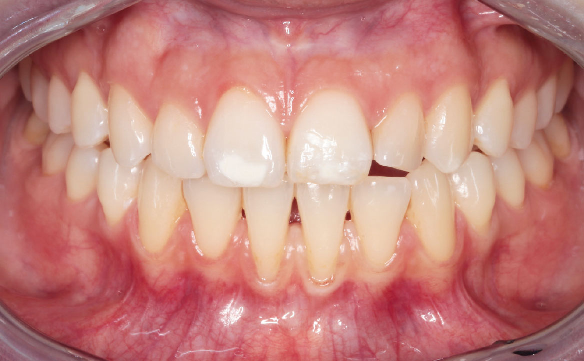
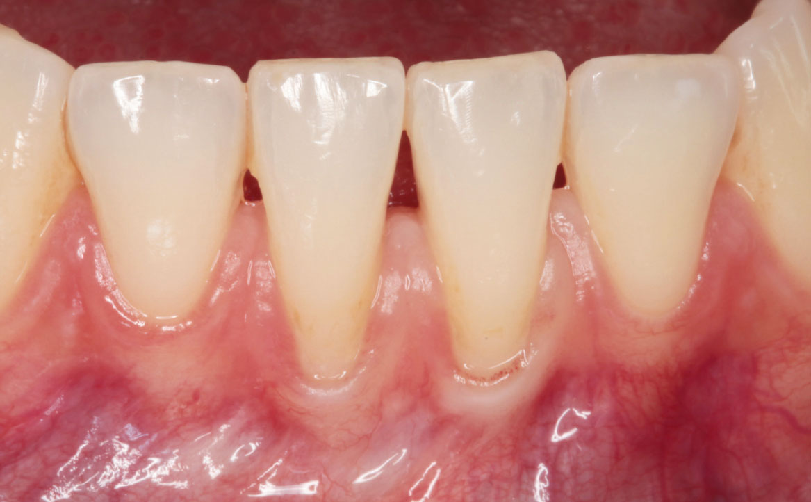
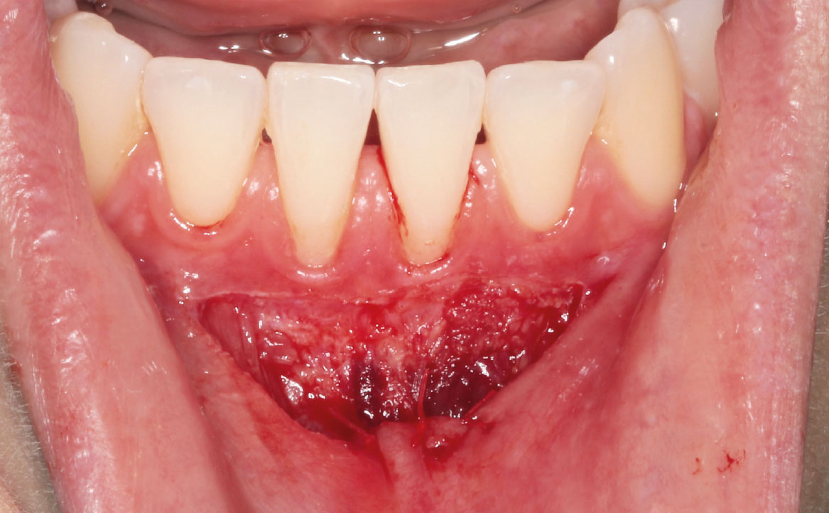
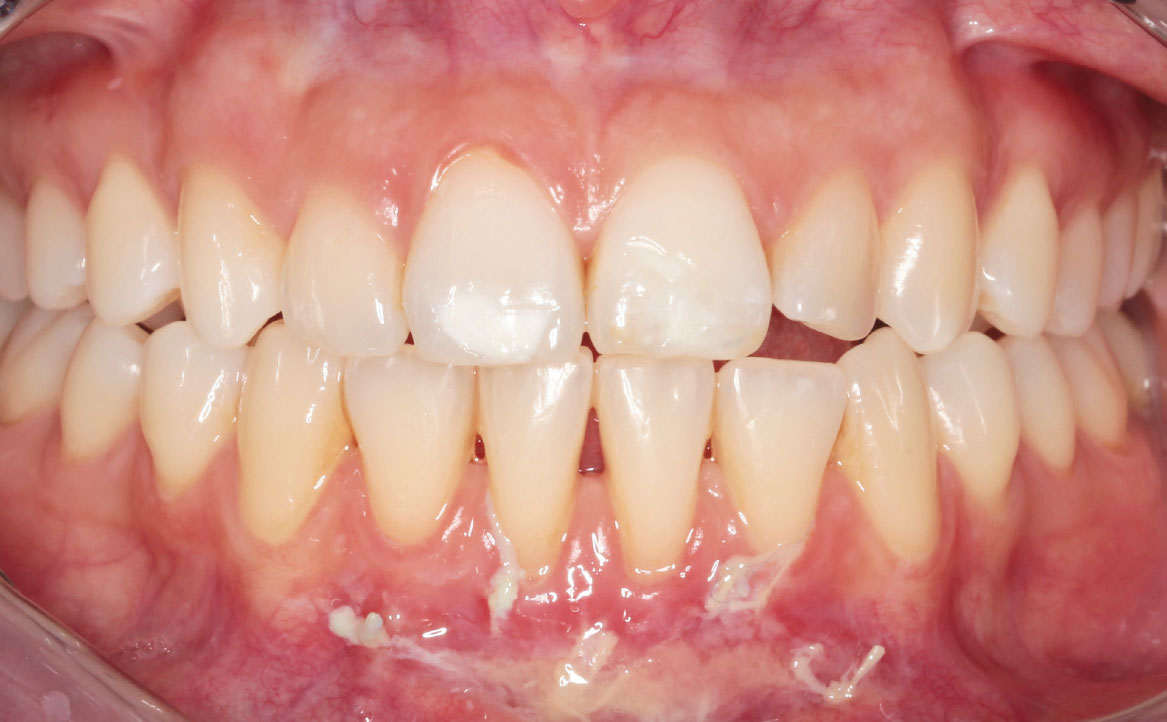
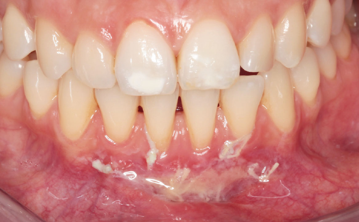
Il caso descritto riguarda una giovane paziente di 31 anni che si è presentata presso l’Unità Operativa di Odontostomatologia dell’Ospedale di Parma per recessioni gengivali di grado I di Miller della superficie vestibolare degli elementi 3.1 e 4.1. La paziente ha riferito deficit di coagulazione congenito e allergia alla mepivacaina.
All’esame obiettivo si è riscontrata scarsità della profondità del vastibolo in zona mandibolare anteriore. Si è deciso perciò di intervenire chirurgicamente eseguendo una vestibuloplastica inferiore con laser Nd:YAG.


MATERIALI E METODI
Il caso clinico descritto in questo articolo propone l’impiego combinato di chirurgia laser, acido ialuronico reticolato e membrana riassorbibile in pericardio suino per la realizzazione di una vastibuloplastica. Dalla letteratura attualmente disponibile appare chiara la relazione tra la scarsa profondità del fornice e la possibile insorgenza di recessioni gengivali (gingival recession defects, GRDs), in particolare a livello del sito mandibolare (1,2). In questi casi, la vestibuloplastica rappresenta un’opzione terapeutica che previene il danno parodontale, dal momento che permette di ridurre le trazioni a carico dei tessuti gengivali. Inoltre, l’approfondimento di fornice si associa a una riduzione dell’accumulo di placca e tartaro in quanto favorisce le manovre di igiene delle superfici dentarie.
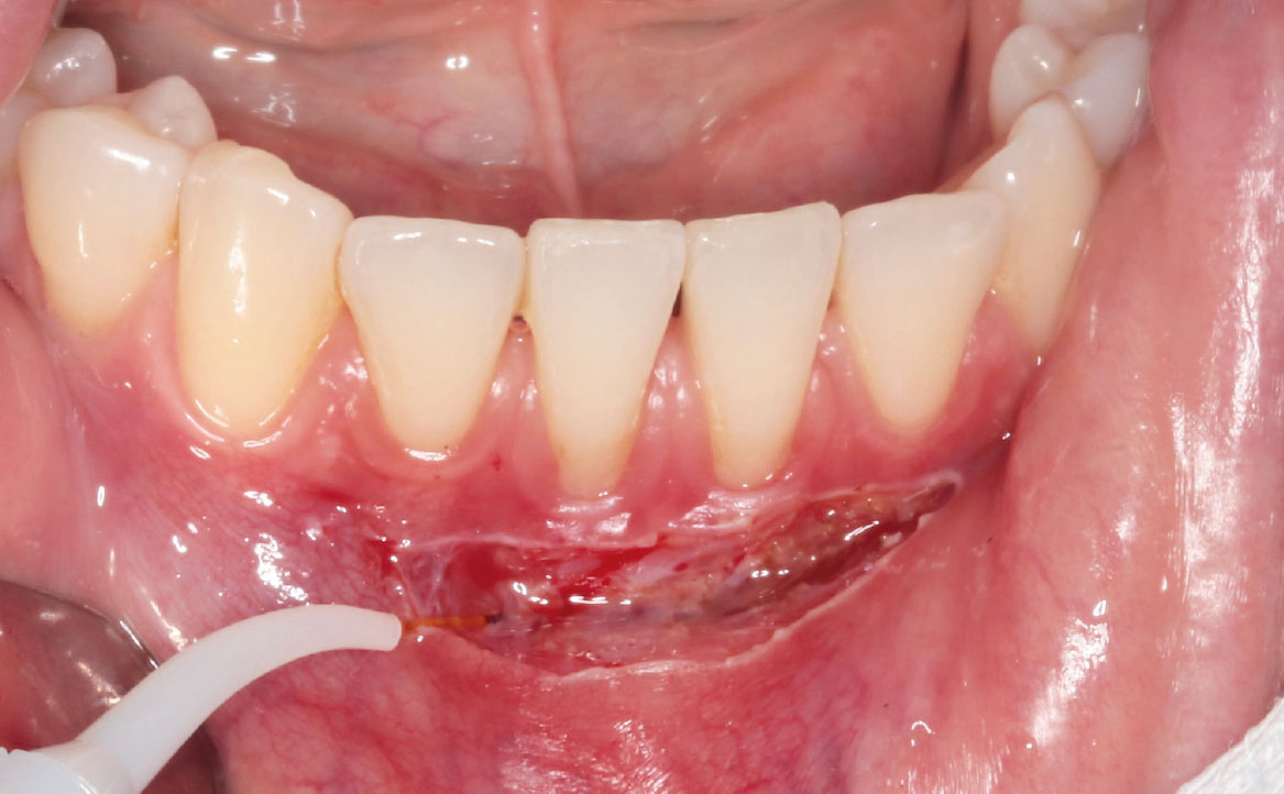
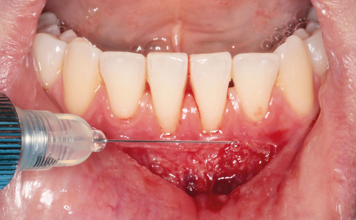
Previa anestesia loco-regionale plessica con lidocaina, è stata eseguita un’incisione parallela rispetto alla cresta alveolare e scollamento della mucosa mediante un laser neodymium yttrium aluminum garnet laser (Nd:YAG, 1064nm, 3.75W, 75Hz) (fig. 4-5).


Il vantaggio dell’impiego del laser nella procedura descritta risiede nel suo effetto fototermico.
In particolare, l’azione diretta del raggio nei confronti dell’emoglobina e della melanina e il trasferimento di calore ai tessuti irradiati determinano la coagulazione dei vasi sanguigni contestuale al taglio, proprietà che permette di mantenere un’ottima visibilità del campo operatorio (3). Inoltre, lo scarso assorbimento in acqua della radiazione generata dal laser Nd:YAG permette al raggio luminoso di attraversare agevolmente i tessuti, penetrando fino a 4-5 mm di profondità (3,4). La dispersione della luce nei tessuti (effetto scattering) fa sì che il laser agisca anche a livello dei tessuti limitrofi all’incisione, a livello dei quali svolge un’azione fotobiomodulante, favorendo così una guarigione più rapida della ferita chirurgica.
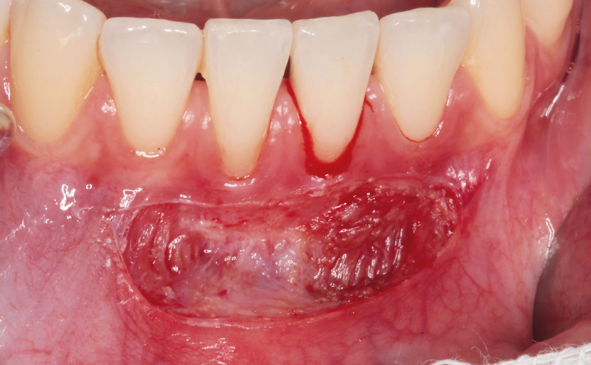
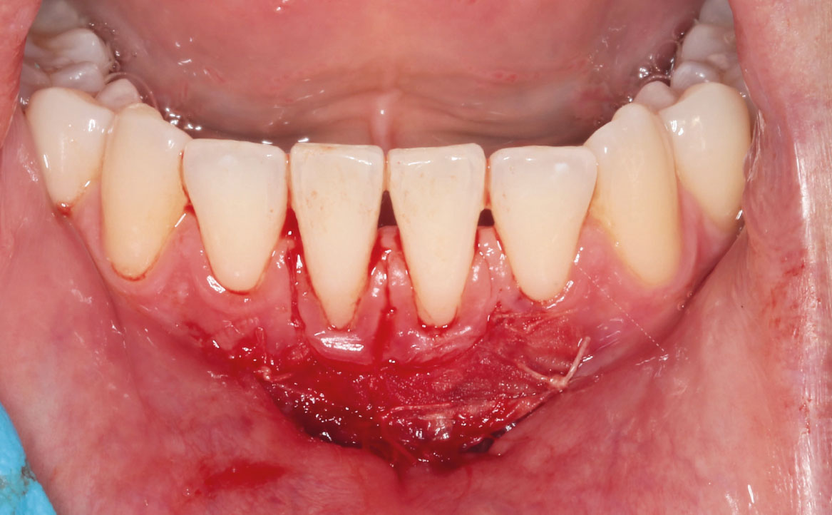
Successivamente, i margini epiteliali e il tessuto sottomucoso sono stati fissati con punti di sutura singoli usando fili riassorbibili 5/0 Vicryl (fig. 6). Sul fondo del difetto chirurgico è stato applicato un gel di acido ialuronico reticolato, xHyA (composizione: 1,6% acido ialuronico reticolato, 0,2% acido ialuronico nativo) (fig. 7). L’acido ialuronico (o ialuronano, HA) è un glicosamminoglicano formato da un’unità disaccaridica (acido glucuronico e N-acetilglucosammina) che si ripete fino a 50.000 volte. Questa molecola è normalmente presente nel nostro organismo dal momento che rappresenta uno dei principali componenti della matrice extracellulare (5). L’HA è una sostanza igroscopica e viscoelastica (6), che svolge un’azione batteriostatica (7), antinfiammatoria (8,9) e antiedematosa (10). Inoltre, lo ialuronano sembrerebbe rivestire un importante ruolo nella rigenerazione tissutale, prendendo parte e accelerando le fasi del processo di guarigione delle ferite (11,12).


La forma reticolata dell’acido ialuronico è ottenuta da modificazioni chimicamente indotte della struttura della molecola al fine di migliorane le proprietà e quindi le prestazioni in ambito clinico (13). Infatti, rispetto alla forma nativa, l’acido ialuronico reticolato è dotato di una maggiore resistenza alle sollecitazioni meccaniche e alla biodegradazione da parte delle ialuronidasi (13). In ambito clinico, le proprietà sopracitate si traducono nella riduzione del dolore post-operatorio riferito, nella rapida guarigione dei tessuti e nella riduzione del rischio di infezione della ferita.
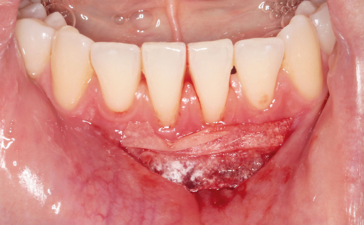
Infine, una membrana riassorbibile in pericardio suino è stata modellata secondo la forma della ferita (fig. 8) e, dopo averla idratata in soluzione fisiologica, è stata posizionata sul sito chirurgico (fig. 9) fissata con punti di sutura riassorbibili (fig. 10). La membrana riassorbibile in pericardio suino è un materiale reso altamente biocompatibile grazie ai processi di rimozione di cellule e lipidi eseguiti con anidride carbonica supercritica (14). La membrana svolge un’azione barriera separando la ferita chirurgica dall’ambiente del cavo orale. Inoltre, favorisce l’adesione cellulare e ricopre un importante ruolo nella promozione della formazione e della stabilizzazione del coagulo (15,16). Studi condotti sull’effetto combinato dell’acido ialuronico reticolato e della membrana riassorbibile in pericardio suino dimostrano un rallentamento della degradazione della membrana e un potenziamento degli effetti del glicosamminoglicano (17).



RISULTATI
A una settimana dall’intervento si osserva un principio di guarigione della ferita: il sito appare completamente rivestito di fibrina e privo di segni di infiammazione (fig. 11, 12).


Al follow-up a un mese dalla vestibuloplastica, si osserva la completa riepitelizzazione del sito chirurgico (fig. 13, 14). Si riscontra la presenza di una piccola area esofitica, dovuta al mancato riassorbimento di uno dei punti di sutura applicati.


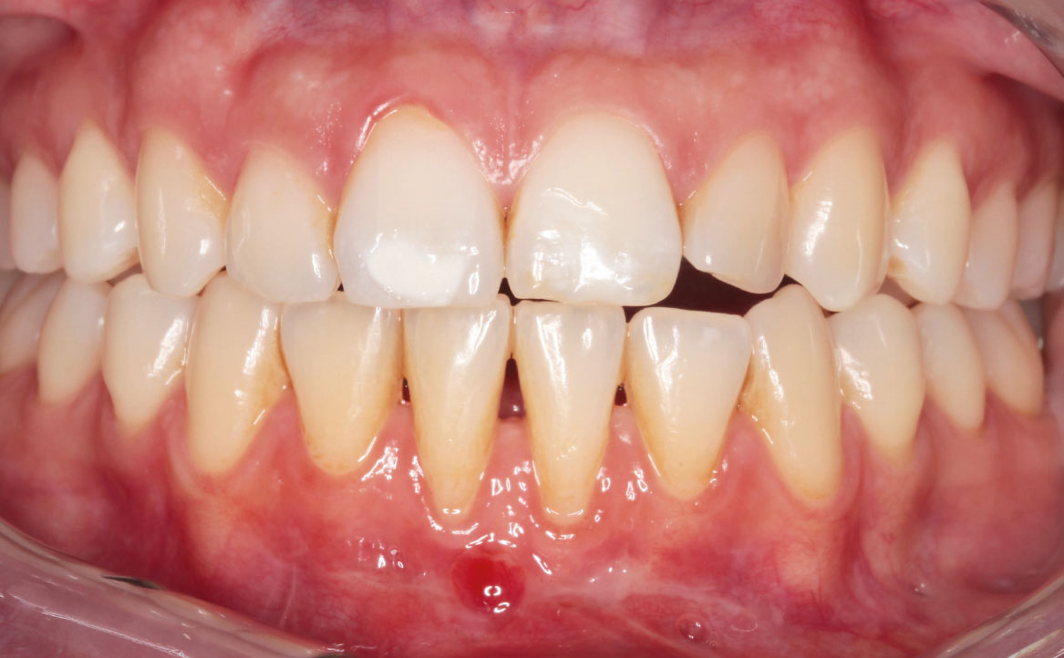
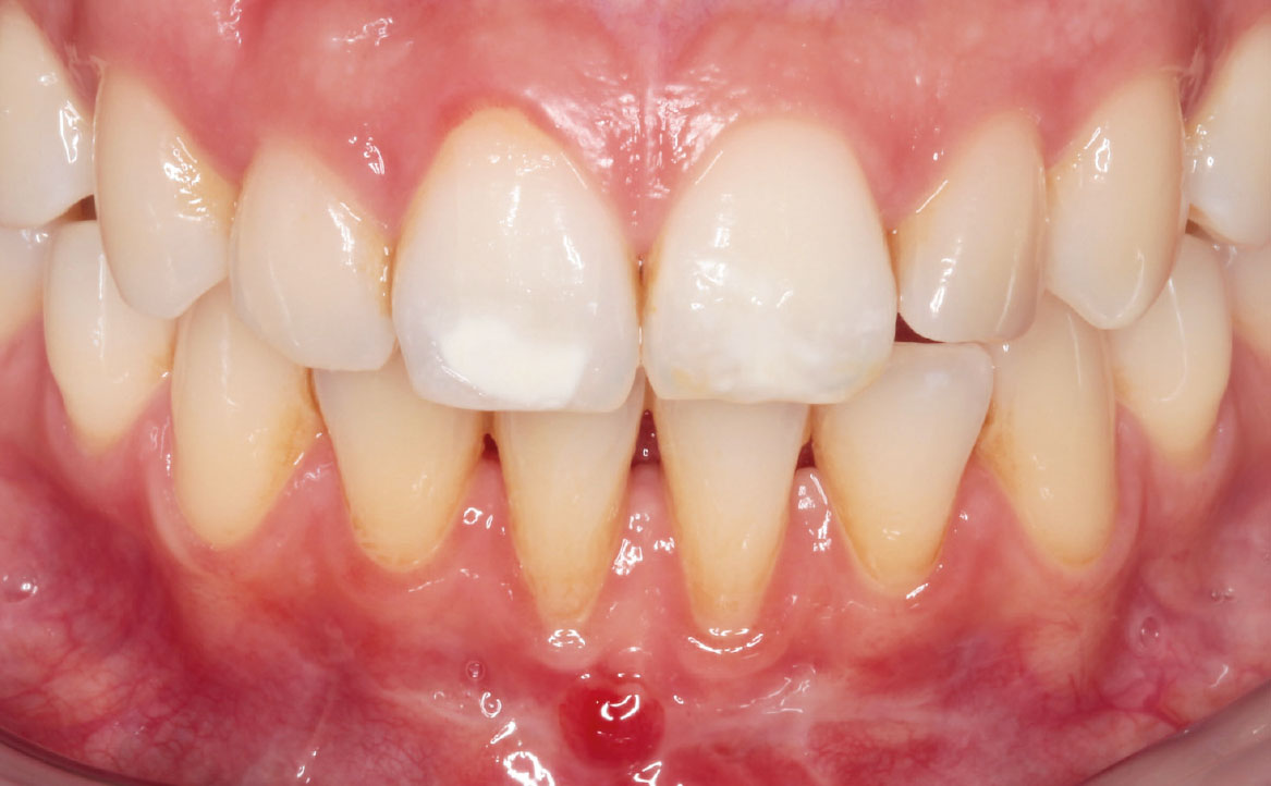
A tre mesi si osserva una completa e ottimale guarigione della ferita chirurgica (fig. 15).

1. Aroca S, Barbieri A, Clementini M, Renouard F, de Sanctis M. Treatment of class III multiple gingival recessions: Prognostic factors for achieving a complete root coverage. J Clin Periodontol. 2018 Jul 15;45(7):861–8.
2. Blasi G, Monje A, Muñoz‐Peñalver J, Oates TW, Avila‐Ortiz G, Nart J. Influence of vestibular depth on the outcomes of root coverage therapy: A prospective case series study. J Periodontol. 2022 Dec 17;93(12):1857–66.
3. Vescovi P, Merigo E, Fornaini C, Rocca JP, Nammour S. Thermal increase in the oral mucosa and in the jawbone during Nd:YAG laser applications. Ex vivo study. Med Oral Patol Oral Cir Bucal. 2012;e697–704.
4. Ilaria G, Marco M, Elisabetta M, Giovanni M, Carlo F, Maddalena M, et al. Advantages of new technologies in oral mucosal surgery: an intraoperative comparison among Nd:YAG laser, quantic molecular resonance scalpel, and cold blade. Lasers Med Sci. 2015 Sep 21;30(7):1903–10.
5. Fallacara A, Baldini E, Manfredini S, Vertuani S. Hyaluronic Acid in the Third Millennium. Polymers (Basel). 2018 Jun 25;10(7):701.
6. Dahiya P, Kamal R. Hyaluronic acid: A boon in periodontal therapy. Vol. 5, North American Journal of Medical Sciences. 2013. p. 309–15.
7. Zamboni F, Okoroafor C, Ryan MP, Pembroke JT, Strozyk M, Culebras M, et al. On the bacteriostatic activity of hyaluronic acid composite films. Carbohydr Polym. 2021 May 15;260.
8. Marinho A, Nunes C, Reis S. Hyaluronic Acid: A Key Ingredient in the Therapy of Inflammation. Biomolecules. 2021 Oct 15;11(10):1518.
9. Liang J, Jiang D, Noble PW. Hyaluronan as a therapeutic target in human diseases. Adv Drug Deliv Rev. 2016 Feb;97:186–203.
10. Eliezer M, Imber JC, Sculean A, Pandis N, Teich S. Hyaluronic acid as adjunctive to non-surgical and surgical periodontal therapy: a systematic review and meta-analysis. Vol. 23, Clinical Oral Investigations. Springer Verlag; 2019. p. 3423–35.
11. Salbach J, Rachner TD, Rauner M, Hempel U, Anderegg U, Franz S, et al. Regenerative potential of glycosaminoglycans for skin and bone. Vol. 90, Journal of Molecular Medicine. 2012. p. 625–35.
12. Aya KL, Stern R. Hyaluronan in wound healing: Rediscovering a major player. Wound Repair and Regeneration. 2014 Sep 1;22(5):579–93.
13. Choi SC, Yoo MA, Lee SY, Lee HJ, Son DH, Jung J, et al. Modulation of biomechanical properties of hyaluronic acid hydrogels by crosslinking agents. J Biomed Mater Res A. 2015 Sep 18;103(9):3072–80.
14. Sawada K, Terada D, Yamaoka T, Kitamura S, Fujisato T. Cell removal with supercritical carbon dioxide for acellular artificial tissue. Journal of Chemical Technology & Biotechnology. 2008 Jun 30;83(6):943–9.
15. Brett D. A Review of Collagen and Collagen-based Wound Dressings. Wounds. 2008 Dec;20(12):347–56.
16. Chung KM, Salkin LM, Stein MD, Freedman AL. Clinical Evaluation of a Biodegradable Collagen Membrane in Guided Tissue Regeneration. J Periodontol. 1990 Dec;61(12):732–6.
17. Eliezer M, Sculean A, Miron RJ, Nemcovsky C, Weinberg E, Weinreb M, et al. Hyaluronic acid slows down collagen membrane degradation in uncontrolled diabetic rats. J Periodontal Res. 2019 Dec 12;54(6):644–52.




