
L’odontoiatra si trova sempre più frequentemente a dover affrontare un aspetto particolarmente critico della sua pratica e cioè le reazioni avverse ai farmaci. Tra queste, quelle che colpiscono le ghiandole salivari meritano un’attenzione speciale a causa della varietà di segni, dei sintomi e dei farmaci coinvolti nelle diverse reazioni avverse.
Le ghiandole salivari, essenziali per la produzione di saliva, giocano un ruolo cruciale non solo nella digestione e nella protezione dei denti e delle mucose orali, ma anche nel mantenimento dell’equilibrio microbico e nella facilitazione della percezione gustativa. Pertanto, qualsiasi alterazione indotta da farmaci a queste ghiandole può compromettere seriamente queste funzioni essenziali, causando secchezza della bocca, alterazioni del gusto, e predisponendo a infezioni orali, difficoltà nella masticazione e nella deglutizione, nonché a un deterioramento della salute dentale e sistemica.
Per quanto riguarda poi la funzione gustativa, essa può essere compromessa da numerosi farmaci, i quali possono alterare o inibire la percezione dei sapori. Questo può avvenire attraverso diversi meccanismi, tra cui cambiamenti diretti nella composizione della saliva, danni ai recettori gustativi, o effetti indiretti come la modificazione del flusso salivare.
L’introduzione a questi due temi richiede, quindi, un’esplorazione dettagliata delle interazioni farmacologiche che possono influenzare negativamente le ghiandole salivari e la funzione gustativa, sottolineando sin da subito l’importanza di un’attenta valutazione farmacologica e clinica da parte dei professionisti dell’odontoiatria. Inoltre, è fondamentale che i pazienti siano adeguatamente informati sui potenziali effetti collaterali o reazioni avverse dei farmaci prescritti, per prevenire queste complicazioni o gestirle efficacemente, migliorando così la consapevolezza della gestione terapeutica e del suo benessere.
PATOLOGIE FUNZIONALI DELLE GHIANDOLE SALIVARI INDOTTE DA FARMACI
Le disfunzioni delle ghiandole salivari sono condizioni che possono compromettere la salute orale e generale di un individuo. Per analizzare questa problematica, procederemo per punti, esaminando le manifestazioni, le cause e le implicazioni cliniche.
Alterazioni quantitative della secrezione salivare
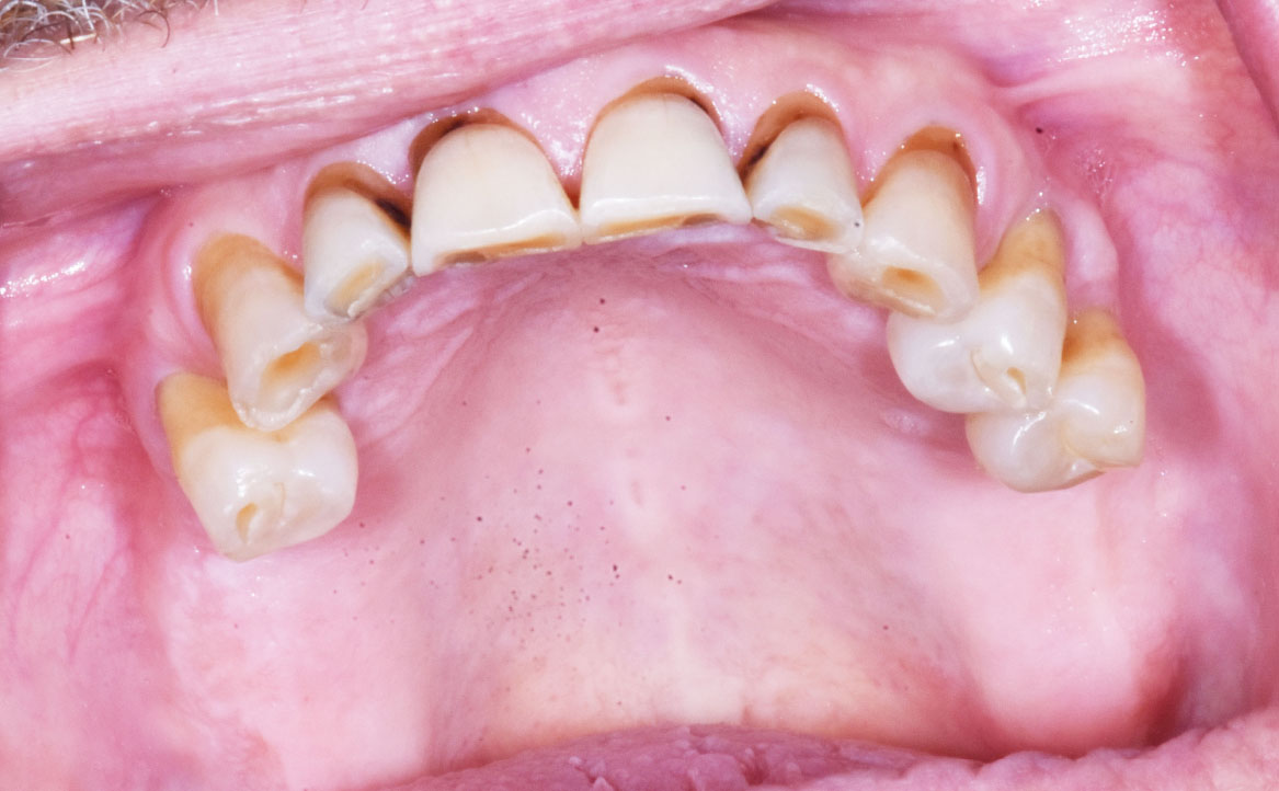
Iposcialia: riduzione del flusso salivare indotto da farmaci
Nella maggior parte dei casi, la riduzione della produzione di saliva è causata dall’ipofunzione delle ghiandole salivari, acuta o cronica, con o senza xerostomia, definita come sensazione di bocca secca senza una reale assenza o riduzione di saliva. Nei soggetti anziani, la causa più comune è l’uso di farmaci con potenziali effetti xerostomici, principalmente anticolinergici, simpaticomimetici, sedativi-ipnotici, oppiacei, antistaminici e miorilassanti. In altre situazioni, una bocca secca è principalmente dovuta alla radiazione ricevuta dai pazienti affetti da cancro nell’area testa/collo o nei pazienti con determinate malattie autoimmuni come la sindrome di Sjögren.
Molti farmaci possono ridurre la produzione di saliva attraverso vari meccanismi, spesso coinvolgendo l’inibizione dei percorsi anticolinergici. I recettori muscarinici dell’acetilcolina, suddivisi in cinque sottotipi, sono essenziali per la trasmissione del segnale parasimpatico alle ghiandole salivari. Farmaci che funzionano come antagonisti, in particolare quelli che mirano ai recettori M1 e M3, sono noti per la loro capacità di diminuire la secrezione salivare. Questo effetto viene osservato in una varietà di trattamenti per condizioni come la sindrome della vescica iperattiva, malattie respiratorie ostruttive, cinetosi, morbo di Parkinson e allergie, con farmaci che vanno dall’ossibutinina e la propiverina alla scopolamina e agli antistaminici di prima generazione.
Oltre ai percorsi colinergici, altri farmaci influenzano la produzione di saliva agendo su recettori diversi. Gli antagonisti adrenergici α1 come la tamsulosina, i farmaci anti-H2 come la cimetidina, e vari antipertensivi, tra cui β-bloccanti, Ca2+-antagonisti e diuretici, possono contribuire all’iposcialia per meccanismi indipendenti dall’inibizione diretta dell’acetilcolina.
Per quanto riguarda i trattamenti per la depressione maggiore, gli antidepressivi triciclici sono noti per i loro effetti collaterali multi-recettoriali che possono portare a iposcialia, aumento di peso, stitichezza, sonnolenza e vertigini. A seconda della molecola specifica, l’effetto sull’iposcialia può variare da minimo a moderato a significativo. Al contrario, gli antidepressivi di nuova generazione, come gli SSRI e quelli che agiscono su più recettori, mostrano un profilo di effetti collaterali più selettivo, riducendo potenzialmente l’incidenza di iposcialia.
I trattamenti chemioterapici possono determinare un danno citotossico reversibile alle ghiandole salivari nel 10% dei casi. Alcuni agenti, come la doxorubicina e il cisplatino, sono particolarmente noti per questo effetto. Al contrario, la radioterapia nella regione testa-collo può causare danni irreversibili alle ghiandole salivari, con una rapida riduzione della funzione salivare che può manifestarsi in oltre la metà dei pazienti già nella prima settimana di trattamento.
In termini di gestione clinica, la strategia primaria consiste nell’identificare e, se possibile, sostituire il farmaco responsabile dell’iposcialia o che determina un effetto xerostomizzante. Se questa non è un’opzione, si possono adottare terapie di supporto come sostituti salivari, umidificanti oralmente attivi e un’attenta igiene orale per gestire i sintomi e prevenire ulteriori complicazioni orali. In casi più gravi, medici specialisti possono prescrivere farmaci sistemici per stimolare la produzione di saliva come la pilocarpina.




Le principali manifestazioni orali legate all’iposcialia (fig. 1, 2) sono: ▼



Scialorrea: aumento del flusso salivare indotto da farmaci
Diversi tipi di farmaci possono provocare scialorrea, ossia un’eccessiva produzione di saliva.
Questo fenomeno può derivare da un incremento nell’attività secretoria delle ghiandole salivari o da un deficit nel controllo muscolare che governa la deglutizione e il mantenimento della saliva all’interno della cavità orale. In particolare, problemi nel controllo muscolare possono portare a una ridotta capacità di inghiottire la saliva, oppure possono causare drooling (sgocciolamento di saliva dalla bocca) quando la muscolatura intorno alle labbra diventa ipotonica.
Dal punto di vista dell’azione dei farmaci, la scialorrea può essere il risultato dell’uso di medicinali che: ▼

Farmaci specifici che possono causare scialorrea includono: ▼

La scialorrea può determinare diverse condizioni a livello del cavo orale (fig. 3): ▼



Alterazioni qualitative della secrezione salivare
La quantità di saliva è importante, ma altrettanto cruciale è la sua qualità, poiché ciascuno dei suoi componenti svolge una serie di funzioni specifiche (riassunte nella tabella 1) cambiamenti nella composizione della saliva possono influire sulla sua capacità di proteggere i denti e le mucose orali, sulla digestione, e sulla funzione di controllo della flora microbica orale.

CAUSE DELLE DISFUNZIONI SALIVARI
Disfunzioni immunologiche
Tra le malattie di rilievo si annovera la sindrome di Sjögren, un disturbo autoimmune che colpisce prevalentemente le ghiandole produttrici di fluidi, come quelle salivari e lacrimali, provocando secchezza di bocca e occhi. Questa sindrome può presentarsi anche in forme secondarie, associate ad altre patologie autoimmuni quali l’artrite reumatoide, o in seguito all’assunzione di specifici farmaci, come gli inibitori del checkpoint immunitario PD-1. Un’altra condizione importante è la sarcoidosi, che può coinvolgere le ghiandole salivari causando infiammazione e potenziali alterazioni nella produzione di saliva.
Infezioni
Virus come EBV (Epstein-Barr Virus) e CMV (Citomegalovirus), nonché patologie come HIV e HCV, possono infettare le ghiandole salivari, alterandone la funzione. Anche infezioni batteriche come la tubercolosi e l’actinomicosi possono avere un impatto negativo.
Disturbi metabolici
Il diabete mellito può influenzare la funzione delle ghiandole salivari, così come altri disordini metabolici e alimentari che alterano l’equilibrio idrico e nutrizionale del corpo.
Uso di farmaci
Molti farmaci hanno come effetto collaterale la riduzione del flusso salivare. Questo include antidepressivi, antistaminici, farmaci antipertensivi e molti altri.
PROTOCOLLO DI MANAGEMENT TERAPEUTICO PER DISFUNZIONI SALIVARI
Nell’ambito clinico, l’approccio terapeutico per i pazienti affetti da disfunzioni salivari segue un algoritmo decisionale che privilegia l’etiologia farmacologica del disturbo. Le linee guida per il trattamento prevedono le seguenti fasi.
Rivalutazione farmacoterapeutica
- Discontinuazione o rimodulazione farmacologica: dov’è clinicamente permissibile, il farmaco eziologico dovrebbe essere sospeso. Se questa opzione non compromette il trattamento primario del paziente, si può procedere alla sostituzione con farmaci analoghi meno inclini a causare disfunzioni salivari, mantenendo un’efficacia terapeutica equivalente.
Interventi sintomatici
- Scialogoghi artificiali e umidificanti oro-mucosali: l’adozione di sostituti salivari sintetici e agenti umidificanti mira a restaurare l’umidità orale e a fornire un sollievo sintomatico.
- Agenti stimolanti salivari: prodotti a base di gel e gomme masticatorie che fungono da stimolanti meccanici e gustativi per l’induzione della salivazione endogena.
- Mantenimento dell’igiene orale: l’implementazione di protocolli di igiene orale stringenti è fondamentale per mitigare il rischio di complicanze infettive e cariogene.
Terapia farmacologica di seconda istanza
- Agenti scialogoghi sistemici: in situazioni in cui la sintomatologia persiste o si manifesta in forma severa, si considera l’impiego di farmaci sistemici scialogoghi, quali la pilocarpina o la cevimelina, che esercitano la loro azione attraverso il potenziamento dell’attività colinergica per incrementare la produzione salivare, prescritti dietro parere di medici di medicina generale che hanno in cura il paziente.
La personalizzazione del regime terapeutico è imperativa, richiedendo l’adattamento delle strategie in funzione della severità del quadro clinico e della risposta individuale del paziente.
Una gestione ottimale necessita di un team multidisciplinare che possa integrare diversi approcci terapeutici, inclusa la valutazione farmacologica, le pratiche di igiene orale e le necessità di supporto psicosociale del paziente.
In conclusione, le disfunzioni delle ghiandole salivari sono un complesso di condizioni con molteplici cause e manifestazioni che richiedono un’attenta valutazione clinica e un approccio terapeutico personalizzato.
L’identificazione precoce e la gestione adeguata sono fondamentali per prevenire complicanze e garantire la migliore qualità di vita possibile ai pazienti.
COME SEGNALARE IN ITALIA LE REAZIONI AVVERSE AI FARMACI (ADR)
La segnalazione spontanea delle sospette reazioni avverse ai farmaci (ADR) è fondamentale per l’efficacia di un sistema di farmacovigilanza. Secondo l’Organizzazione Mondiale della Sanità, ci sono anche motivi etici per svolgere attività di farmacovigilanza. Le normative attuali stabiliscono che la segnalazione delle ADR è un obbligo deontologico, sebbene non sia sanzionato. In Italia, il sistema di farmacovigilanza è gestito e coordinato dall’Agenzia Italiana del Farmaco (AIFA). Il processo di segnalazione delle ADR prevede che medici, farmacisti e altri operatori sanitari segnalino le ADR di cui vengono a conoscenza tramite la compilazione di un modulo di segnalazione, che può essere cartaceo, elettronico o online attraverso il portale web di AIFA, accessibile tramite QR code. Anche i cittadini possono segnalare ADR (vedi link utili).
Il modulo di segnalazione di sospetta reazione avversa è strutturato in sezioni principali riguardanti:
- INFORMAZIONI SUL PAZIENTE: Ad esempio, sesso, età.
- INFORMAZIONI SULLA SOSPETTA ADR: Ad esempio, segni clinici e sintomi riscontrati nel paziente che si ritengono correlabili al trattamento farmacologico assunto, oltre agli eventuali esami di laboratorio.
- DESCRIZIONE DEL CASO.
- INFORMAZIONI SUI FARMACI SOSPETTI/INTERAGENTI: Nome commerciale o, in alternativa, nome del principio attivo del farmaco e informazioni sui farmaci concomitanti (assunti dal paziente al momento dell’insorgenza della reazione avversa ma non considerati responsabili).
- INFORMAZIONI SULLA TIPOLOGIA DI SEGNALAZIONE E SUL SEGNALATORE: Qualifica, nome e cognome e, se non presenti, almeno il numero di telefono o l’indirizzo e-mail.
Se si effettua una segnalazione online, la piattaforma trasmette automaticamente la segnalazione al responsabile locale di farmacovigilanza (RLFV) della struttura di competenza (per gli operatori sanitari) o all’ASL/ASP di appartenenza (per i cittadini).
Se si utilizza la segnalazione cartacea o elettronica, l’utente deve reperire le informazioni del proprio RLFV dal sito web di AIFA. Il RLFV inserirà le segnalazioni nella Rete Nazionale di Farmacovigilanza (RNF) se ricevute per via cartacea o elettronica, o effettuerà una procedura di validazione se ricevute online, entro 7 giorni dalla ricezione.
AIFA e i Centri Regionali di Farmacovigilanza verificano la correttezza della procedura e valutano le segnalazioni. Successivamente, le autorità regolatorie nazionali trasmettono regolarmente le segnalazioni di sospette ADR a Eudravigilance (EV), la banca dati europea per le segnalazioni di ADR ai medicinali autorizzati nell’Area Economica Europea (EEA).
L’iter di segnalazione delle ADR in Italia è riassunto nella figura 4.

FORMAZIONE CONTINUA A DISTANZA (FAD) SULLE REAZIONI AVVERSE AI FARMACI IN ODONTOIATRIA
La Formazione a Distanza (FAD), offerta a tutti i medici, sia specialisti sia non, è un elemento chiave per il successo del progetto su ADR-O. Questo metodo di apprendimento continuo fornisce agli operatori sanitari, indipendentemente dalla loro specializzazione (medici, odontoiatri e igienisti dentali), gli strumenti e le risorse per ampliare le loro competenze nella segnalazione delle reazioni avverse ai farmaci nella cavità orale (ADR-O). La flessibilità e l’accessibilità della FAD permettono un percorso formativo personalizzato, adattabile alle esigenze professionali di medici specializzati e no (vedi link utili).
Il corso è gratuito e prevede il rilascio di dieci (10) crediti ECM.
MEDORAL: PIATTAFORMA DIGITALE PER TELECONSULTO E SEGNALAZIONE DELLE REAZIONI AVVERSE AI FARMACI IN ODONTOIATRIA
Recentemente è stata sviluppata e lanciata sul web “MedOral”, un’evoluzione della piattaforma aziendale Olo-Health. Si tratta di una piattaforma digitale avanzata per il teleconsulto e la segnalazione delle reazioni avverse ai farmaci in odontoiatria (ADR-O). Accessibile tramite smartphone e computer, questa piattaforma è destinata a medici, odontoiatri e igienisti dentali. Include un sistema di tele-consulenza online gestito da esperti in medicina orale. Utilizzando l’app gratuitamente, i professionisti possono richiedere supporto per l’identificazione e la segnalazione delle ADR all’AIFA (vedi link utili).
Questa iniziativa non solo migliora l’efficacia della farmacovigilanza, ma promuove anche l’innovazione nella gestione delle ADR-O, facilitando la connessione tra professionisti della salute in aree remote e specialisti del territorio senza impatti significativi sui bilanci pubblici o privati dei pazienti.
In conclusione, l’odontoiatria, in continua evoluzione con l’introduzione di nuovi farmaci e la scoperta di nuove ADR-O, può beneficiare di questo progetto scientifico e editoriale. Questo contribuisce a stimolare una cultura di apprendimento continuo tra studenti e professionisti della salute, garantendo una pratica basata sull’evidenza.
1. Gil-Montoya JA, Silvestre FJ, Barrios R, Silvestre-Rangil J. Treatment of xerostomia and hyposalivation in the elderly: A systematic review. Med Oral Patol Oral Cir Bucal. 2016 May 1;21(3):e355-66. doi: 10.4317/medoral.20969. PMID: 27031061; PMCID: PMC4867210.
2. Proctor GB, Carpenter GH. Regulation of salivary gland function by autonomic nerves. Auton Neurosci. 2007 Apr 30;133(1):3-18. doi: 10.1016/j.autneu.2006.10.006. Epub 2006 Dec 6. PMID: 17157080.
3. Pedersen AML, Sørensen CE, Proctor GB, Carpenter GH, Ekström J. Salivary secretion in health and disease. J Oral Rehabil. 2018 Sep;45(9):730-746. doi: 10.1111/joor.12664. Epub 2018 Jun 25. PMID: 29878444.
4. Toan NK, Ahn SG. Aging-Related Metabolic Dysfunction in the Salivary Gland: A Review of the Literature. Int J Mol Sci. 2021 May 29;22(11):5835. doi: 10.3390/ijms22115835. PMID: 34072470; PMCID: PMC8198609.
5. Lo Muzio L, Falaschini S, Rappelli G, Bambini F, Baldoni A, Procaccini M, Cingolani M. Saliva as a diagnostic matrix for drug abuse. Int J Immunopathol Pharmacol. 2005 Jul-Sep;18(3):567-73. doi: 10.1177/039463200501800317. PMID: 16164838.
6. Prado-Mel E, Ciudad-Gutiérrez P, Rodríguez-Ramallo H, Sánchez-Fidalgo S, Santos-Ramos B, Villalba-Moreno AM. Association between anticholinergic activity and xerostomia and/ or xerophthalmia in the elderly: systematic review. BMC Pharmacol Toxicol. 2022 Dec 21;23(1):94. doi: 10.1186/s40360-022-00637-8. PMID: 36539885; PMCID: PMC9769019.
7. Thakkar JP, Lane CJ. Hyposalivation and Xerostomia and Burning Mouth Syndrome: Medical Management. Oral Maxillofac Surg Clin North Am. 2022 Feb;34(1):135-146. doi: 10.1016/j.coms.2021.08.002. Epub 2021 Sep 29. PMID: 34598858.
8. Mortazavi H, Shafiei S, Sadr S, Safiaghdam H. Drug-related Dysgeusia: A Systematic Review. Oral Health Prev Dent. 2018;16(6):499-507. doi: 10.3290/j.ohpd.a41655. PMID: 30574604.
9. Bakhtiari S, Sehatpour M, Mortazavi H, Bakhshi M. Orofacial manifestations of adverse drug reactions: a review study. Clujul Med. 2018;91(1):27-36. doi: 10.15386/cjmed-748. Epub 2018 Jan 15. PMID: 29440948; PMCID: PMC5808263.
10. Freudenreich O. Drug-induced sialorrhea. Drugs Today (Barc). 2005 Jun;41(6):411-8. doi: 10.1358/dot.2005.41.6.893628. PMID: 16110348.
11. The effect of drugs in the oral cavity – A review. J. Pharm. Sci. & Res. Vol. 6(2), 2014, 89-96
12. Laurencin-Dalicieux S., Souche B., Cousty, S. Drug-Induced Salivary Gland Disturbances In: Cousty, S., Laurencin-Dalicieux, S. (eds) (2021). Drug-Induced Oral Complications. Springer, Cham. https://doi.org/10.1007/978-3-030-66973-7_12
13. Lee, J. M., Garon, E., & Wong, D. T. (2009). Salivary diagnostics. Orthodontics & Craniofacial Research, 12(3), 206–211. https://doi.org/10.1111/J.1601-6343.2009.01454.X
14. Saini-Chohan, H., & Hatch, G. (2009). Biological actions and metabolism of currently used pharmacological agents for the treatment of congestive heart failure. Current Drug Metabolism, 10(3), 206–219. https://doi.org/10.2174/138920009787846314
15. Scully, C. (2003). Drug effects on salivary glands: dry mouth. Oral Diseases, 9(4), 165–176. https://doi.org/10.1034/J.1601-0825.2003.03967.X
16. Miranda-Rius, J., Brunet-Llobet, L., Lahor-Soler, E., & Farré, M. (2015). Salivary Secretory Disorders, Inducing Drugs, and Clinical Management. International Journal of Medical Sciences, 12(10), 811. https://doi.org/10.7150/IJMS.12912
17. Walsh JL:Clinical aspects of salivary biology for the dental clinician. INTERNATIONAL DENTISTRY 2(1): 1-14, 2007
18. Boyce HW, Bakheet MR, Sialorrhea: a review of a vexing, often unrecognized sign of oropharyngeal and esophageal diseaseJ Clin Gastroenterol 39(2):89-97, 2005
19. Freudenreich O. Drug-induced sialorrhea. Drugs of Today 41 (6): 411-418, 2005
20. Gandolfo S, Carrozzo M, Broccoletti R, Carbpne M., Pentenero M. Xerostomia e ipofunzione delle ghiandole salivari. Tiziano Cornegliani Editore Milano 2002
21. Adis Medical Writers. Manage drug‑induced dry mouth with drug regimen changes, lifestyle interventions and topical or oral symptom‑relieving products Drugs & Therapy Perspectives 35:226–229,2019.
22. Lakraj AA, Moghimi N, Jabbari B. Sialorrhea: anatomy, pathophysiology and treatment with emphasis on the role of botulinum toxins. Toxins (Basel). 2013 May 21;5(5):1010-31. doi: 10.3390/toxins5051010. PMID: 23698357; PMCID: PMC3709276.



