Lo scopo del lavoro è quello di illustrare come la sinergia tra la fase iniziale e la successiva del trattamento abbia permesso di correggere la malocclusione e di risolvere la problematica relativa alla crescita del paziente.
Il paziente si è presentato in visita e all’esame clinico non si sono riscontrati problemi dentali rilevanti, a eccezione del sorriso gengivale. Più rilevanti erano i problemi scheletrici: il profilo risultava retruso e l’arcata superiore contratta.
Sono state eseguite fotografie extra- e intra-orali ed esami radiografici (OPT e teleradiografia latero-laterale), che hanno evidenziato una relazione scheletrica di Classe II da retrusione mandibolare.
La prima fase del trattamento ha previsto l’utilizzo di un espansore per l’arcata superiore, seguita, dopo 6 mesi, dall’applicazione di un dispositivo di avanzamento mandibolare Twin Block, al fine di correggere la contrazione trasversale e la Classe II scheletrica durante la crescita.
La seconda fase del trattamento è stata finalizzata all’allineamento dentale e alla rifinitura dell’intercuspidazione tramite l’impiego di attacchi autoleganti passivi.
Il trattamento ha permesso di ottenere corretti rapporti trasversali tra i mascellari, un buon allineamento delle linee mediane e una corretta posizione dei denti, con conseguente riduzione dell’esposizione gengivale.
Grazie a un attento studio del caso, basato su esami radiografici di primo livello e su una tecnica ortodontica accurata, è stato possibile correggere con successo la relazione scheletrica di Classe II con micrognazia, migliorare l’estetica del sorriso e ottenere un corretto allineamento dentale.
INTRODUZIONE
La terapia ortodontica durante la prima dentizione riveste un ruolo fondamentale nell’ambito dell’attuale pratica odontoiatrica. Il suo scopo primario è eliminare i fattori ritenuti responsabili delle malocclusioni dentarie e ripristinare la normale crescita dento-scheletrica, favorendo così un allineamento dentale corretto e funzionale (1).
+In particolare, risulta cruciale correggere le anomalie scheletriche durante la fase di crescita dei pazienti, sfruttando il picco di sviluppo del mascellare superiore e della mandibola. In età adulta, al contrario, l’intervento correttivo spesso richiede procedure chirurgiche (2).
In base al rapporto tra il mascellare superiore e la mandibola, le malocclusioni scheletriche possono essere suddivise in tre classi. La malocclusione di classe II è ampiamente osservata nella pratica clinica, con un’incidenza compresa tra il 5% e il 29%. Ancora oggi costituisce una sfida continua per la maggior parte degli ortodontisti.
La malocclusione di classe II si caratterizza per la protrusione mascellare, la retrognazia mandibolare o la presenza di entrambe le caratteristiche. Uno studio condotto nel 1981 da McNamara ha rilevato che il 60% delle malocclusioni di classe II si verificavano in bambini con mandibola retrognatica (3).
L’obiettivo del trattamento ortodontico attuale è raggiungere non solo una corretta occlusione dentale ma anche un’estetica facciale ottimale. Questo risultato è possibile solo se le basi mascellari sottostanti sono armonizzate tra loro. Apparecchi funzionali rimovibili, come Activator, Bionator, Frankel e Twin Block, sono utilizzati per correggere le malocclusioni di classe II. Il loro obiettivo principale è modificare o riorientare la crescita mandibolare per correggere le discrepanze scheletriche.
Ultimamente, il Twin Block (fig. 1), sviluppato da William J. Clark, rappresenta l’apparecchio funzionale rimovibile più diffuso e utilizzato per correggere la malocclusione di classe II nei pazienti in fase di crescita. Ciò è attribuibile alla sua crescente popolarità e all’accettabilità dei pazienti nei confronti del dispositivo. Il design separato in due pezzi, uno superiore e uno inferiore, consente una maggiore libertà di parola e masticazione, contribuendo così all’aumento della sua accettazione (4,5).
In molteplici ricerche scientifiche, il Twin Block si è dimostrato uno dei dispositivi più efficaci ed efficienti per correggere la II classe scheletrica. In particolare, una revisione sistematica di Cozza et al. ha valutato l’entità di crescita della lunghezza mandibolare stimolata dai diversi apparecchi funzionali e ha dimostrato come il Twin Block abbia un coefficiente di efficienza elevato, di circa 0,23 mm al mese (6).
Il Twin Block può essere impiegato con successo per stimolare e favorire la crescita mandibolare nei pazienti in fase di sviluppo.
CASO CLINICO
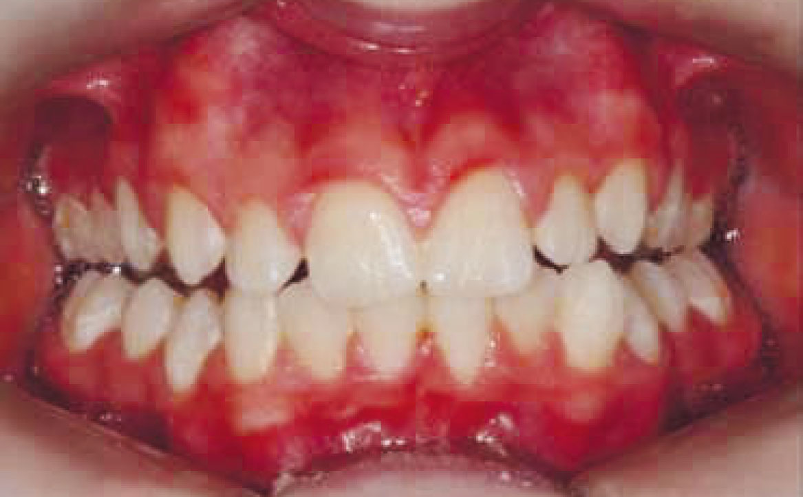
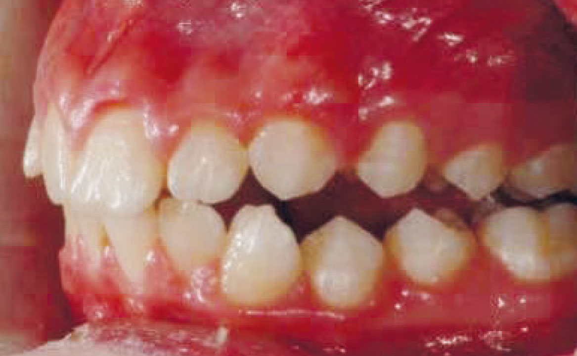
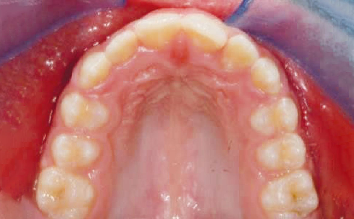
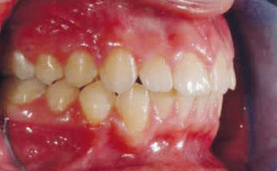
Paziente di genere femminile di otto anni affetta da una malocclusione di classe II sia dentale che scheletrica, associata a una condizione di retrusione mandibolare e contrazione dell’arcata superiore. Non si rilevano problemi dentali significativi.
La paziente viene condotta all’osservazione dai genitori al fine di correggere la problematica estetica legata al sorriso gengivale.
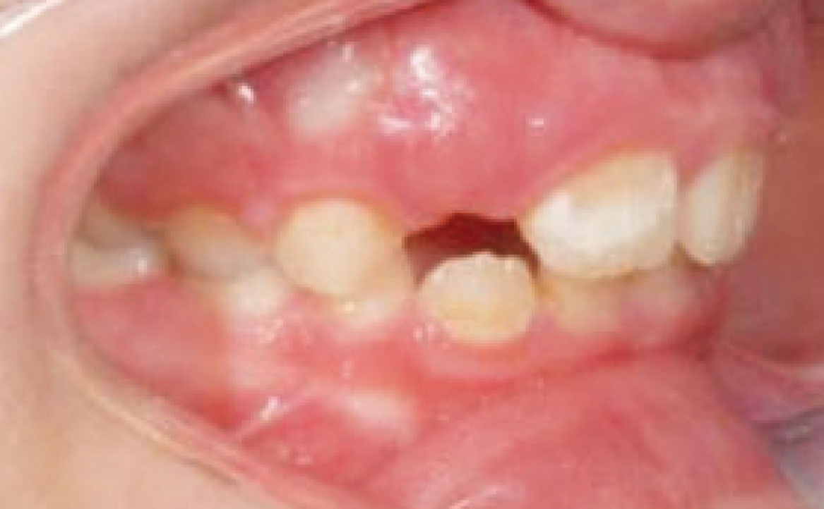
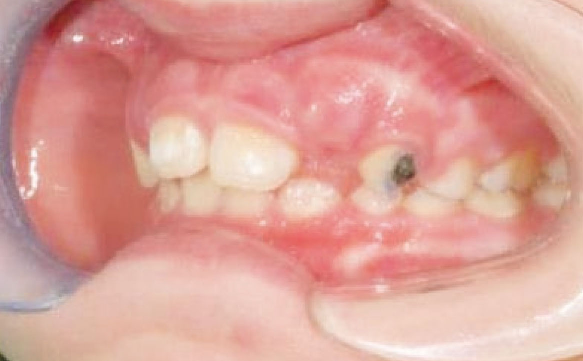
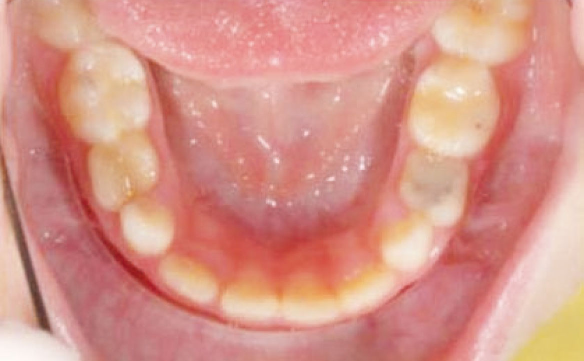
Viene eseguita la consueta raccolta dei records: fotografie intra ed extra orali, modelli e indagini radiografiche di primo livello (OPT e teleradiografia latero-laterale) (fig. 2-11).










L’esame clinico e strumentale consentono di porre diagnosi di malocclusione di classe II di natura scheletrica, associata a retrusione mandibolare. In questa condizione, la mandibola mostra dimensioni e volume inferiori rispetto ai valori medi per età scheletrica e sesso.
MATERIALI E METODI
Al fine di risolvere la contrazione dell’arcata mascellare sul piano trasverso è stato applicato un disgiuntore rapido ancorandolo ai denti decidui ed estendendo i bracci palatali saldati agli elementi 53 e 63. Mentre, per la risoluzione della carenza mandibolare è stato pianificato l’utilizzo del Twin Block.
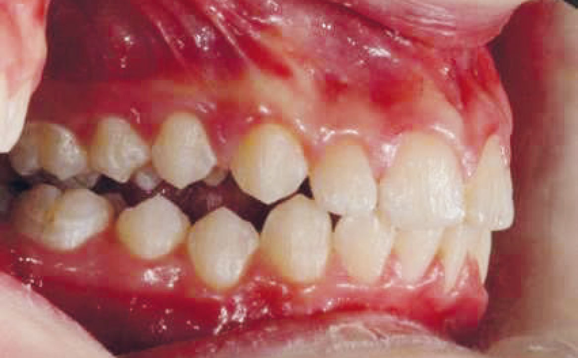
Il disgiuntore rapido è stato attivato nell’arco di tempo di 15 giorni ed è rimasto bloccato per 12 mesi. Una volta rimosso, si è provveduto al rilevamento di nuove impronte e una cera di avanzamento mandibolare utili al confezionamento del dispositivo di avanzamento mandibolare Twin Block. Questa strategia, validata da ampia casistica in letteratura, è volta a favorire una crescita armoniosa delle strutture scheletriche durante la fase di sviluppo del paziente, favorendo così una buona finalizzazione del caso mediante il successivo trattamento ortodontico fisso, il quale è stato effettuato utilizzando attacchi autoleganti passivi. Quest’ultimo aspetto è di fondamentale importanza da conseguire (fig. 12-19).








La buona collaborazione della paziente ha consentito di ottenere un buon avanzamento mandibolare, la correzione delle classi canina e molare (ben evidenti nelle fotografie intra orali mostrate in fig. 15 e 17). Il morso aperto residuo verrà corretto mediante immediato inizio della terapia ortodontica fissa al fine di abbreviare la durata complessiva del trattamento.
La paziente ha collaborato durante la fase ortodontica così come precedentemente in quella ortopedica, il che ha permesso di ottenere un buon allineamento dentale, una buona occlusione ed una soddisfacente macro e mini-estetica.
RISULTATI
La prima fase di trattamento ha previsto l’applicazione di un espansore palatale per dodici mesi. Tale dispositivo, applicando una pressione controllata sulla regione palatale, ha permesso di ottenere l’espansione dell’arcata superiore. Questa prima fase terapeutica ha consentito di preparare l’arcata superiore ad accogliere l’arcata inferiore durante la correzione ortopedica della retrusione mandibolare e della micro-mandibolia mediante Twin Block.
La terza fase, ossia quella eseguita mediante l’apparecchiatura ortodontica fissa, ha consentito di ottenere un buon allineamento dentario e affinare l’intercuspidazione tra l’arcata superiore e inferiore.
I risultati ottenuti sono mostrati nelle figure da 20 a 27.








DISCUSSIONE
Le ragioni principali dell’impiego di apparecchi funzionali rimovibili sono: stabilizzare l’equilibrio muscolare, eliminare le disfunzioni orali e favorire una lunghezza adeguata sia della mascella che della mandibola (7,8).
Sono stati condotti molteplici studi per esaminare, mediante approcci variegati, le modifiche morfogenetiche della mandibola correlate all’utilizzo di dispositivi funzionali finalizzati alla protrusione mandibolare, tra i quali Frankel, Bionator, Harvold Activator e Twin Block.
È stata ampiamente dimostrata l’influenza significativa della reattività biologica della cartilagine condilare sul successo del trattamento funzionale dei deficit di crescita mandibolare, la quale, a sua volta, è strettamente legata al tasso di crescita della mandibola. Una revisione sistematica evidenzia questo aspetto, dimostrando che i risultati clinicamente significativi sono stati ottenuti in modo effettivo mediante il trattamento durante il picco di crescita mandibolare. Nessun trattamento eseguito prima del picco ha mostrato una quantità clinicamente significativa di crescita mandibolare aggiuntiva prodotta dall’apparecchio funzionale. Il timing di trattamento gioca un ruolo fondamentale sui risultati di trattamento per gli apparecchi funzionali, indipendentemente dall’apparecchiatura applicata.
Diverse tipologie di apparecchi funzionali richiedono varie durate di trattamento per raggiungere l’obiettivo e ottenere un allungamento clinicamente significativo della mandibola. Numerose ricerche hanno esaminato l’efficacia di tali apparecchi attraverso il coefficiente di efficienza, ottenuto dal rapporto tra l’allungamento supplementare della mandibola prodotto durante l’intero periodo di trattamento con l’apparecchio funzionale e il numero di mesi di trattamento attivo.
Il Twin Block, rispetto ad altri dispositivi, ha evidenziato un alto coefficiente di efficienza, confermando la sua maggiore efficacia nel promuovere l’allungamento della mandibola durante il trattamento. Valori di efficienza medi si sono registrati per il Bionator e per l’Activator.
L’apparecchio di Frankel, invece, sembrerebbe mostrare l’efficienza minore (6), il che potrebbe essere legato alla maggiore difficoltà di utilizzo di un dispositivo piuttosto invasivo.
CONCLUSIONI
Il Twin Block agisce da stimolatore della crescita mandibolare e permette, non solo di correggere la malocclusione scheletrica di classe II, ma anche di ottenere una buona proiezione della porzione basale sui tessuti molli, e quindi un profilo facciale armonioso e una corretta relazione dentale sul piano sagittale. Tale approccio è confermato anche dal caso clinico presentato.
Concludendo, attraverso un approfondito studio del caso, che ha incluso l’utilizzo di esami radiografici di alta precisione e l’applicazione di una meticolosa tecnica ortodontica, si è riusciti a correggere in maniera efficace i rapporti scheletrici di II classe con retrusione mandibolare.
I risultati ottenuti dimostrano come la cooperazione sinergica tra le due fasi di trattamento permetta di conseguire gli obiettivi prefissati in un paziente in fase di crescita lavorando sui tre piani dello spazio: trasversale, sagittale e verticale.
1. “Una terapia ortodontica nella prima dentizione: un protocollo semplificato”. Filippo Cardarelli.
2. Huo B, Che X, Li X. Timing of early correction of mandibular hypoplasia in skeletal class II malocclusion: a review. J Clin Pediatr Dent. 2023 Nov;47(6):11-20.
3. McNamara JA Jr. Components of class II malocclusion in children 8-10 years of age. AngleOrthod. 1981 Jul;51(3):177-202.
4. Clark WJ. The twin block technique. A functional orthopedic appliance system. Am J OrthoDentofacial Orthop. 1988 Jan;93(1):1-18.
5. Baysal A, Uysal T. Soft tissue effects of Twin Block and Herbst appliances in patients with Class II division 1 mandibular retrognathy. Eur J Orthod. 2013 Feb;35(1):71-81.
6. Cozza P, Baccetti T, Franchi L, De Toffol L, McNamara JA Jr. Mandibular changes produced by functional appliances in Class II malocclusion: a systematic review. Am JOrthod Dentofacial Orthop. 2006 May;129(5):599.e1-12; discussion e1-6.
7. Woźniak K, Piątkowska D, Szyszka-Sommerfeld L, Buczkowska-Radlińska J. Impact of functional appliances on muscle activity: a surface electromyography study in children. MedSci Monit. 2015 Jan 20;21:246-53.
8. Santamaría-Villegas A, Manrique-Hernandez R, Alvarez-Varela E, Restrepo-Serna C. Effect of removable functional appliances on mandibular length in patients with class II with retrognathism: systematic review and meta-analysis. BMC Oral Health. 2017 Feb 1;17(1):52.
The patient presented for consultation. Clinical examination revealed no significant dental issues, except for a gummy smile. More relevant were the skeletal discrepancies: a retrusive facial profile and a constricted maxillary arch.
Extraoral and intraoral photographs were taken, along with radiographic exams (panoramic radiograph and lateral cephalometric radiograph). The diagnosis confirmed a skeletal Class II relationship due to mandibular retrusion.
The first phase of treatment involved maxillary expansion, followed—after six months—by the use of a Twin Block functional appliance to address maxillary constriction and correct the skeletal Class II during growth.
The second phase focused on dental alignment and refinement of occlusal interdigitation using passive self-ligating brackets.
The aim of this study is to illustrate how the synergy between the initial and subsequent phases of treatment allowed for correction of the malocclusion and resolution of the patient’s growth-related issues.
Treatment led to the achievement of proper transverse relationships between the maxilla and mandible, good alignment of the midlines, and correct dental positioning, with a noticeable reduction in gingival display.
Thanks to careful case analysis, supported by first-level radiographic diagnostics and a precise orthodontic technique, it was possible to successfully correct the skeletal Class II relationship associated with mandibular deficiency, improve smile aesthetics, and achieve stable dental alignment.




