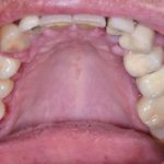
Fig. 9 Pigmentazione simmetrica e diffusa del palato duro di colore bluastro indotta da Imatinib.
Home L’odontoiatria e le reazioni avverse a farmaci delle mucose orali Fig. 9 Pigmentazione simmetrica e diffusa del palato duro di colore bluastro indotta da Imatinib.



