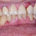
Fig. 10A Caso clinico di aumento di volume gengivale indotto dalla assunzione di amlodipina (calcio-antagonista).

Fig. 10A Caso clinico di aumento di volume gengivale indotto dalla assunzione di amlodipina (calcio-antagonista).

L’odontoiatria e le reazioni avverse a farmaci delle mucose orali

Fig. 10A Caso clinico di aumento di volume gengivale indotto dalla assunzione di amlodipina (calcio-antagonista).

Fig. 9 Pigmentazione simmetrica e diffusa del palato duro di colore bluastro indotta da Imatinib.
Fig. 10B Caso clinico di aumento di volume gengivale indotto dalla assunzione di amlodipina (calcio-antagonista).