Il seguente studio presenta una revisione della letteratura esistente riguardante la malocclusione scheletrica e dentale di classe II, con un focus sui problemi correlati, come il morso profondo e l’affollamento dentale, e la possibile gestione clinica per la risoluzione del problema. In quest’ottica, la descrizione di un caso clinico all’interno di questo articolo si propone di delineare un possibile approccio ortodontico in presenza di una malocclusione di II classe e di riportare i risultati clinici ottenuti attraverso Carriere Motion, elastici di II classe e trattamento ortodontico fisso.
All’esame obiettivo è stata riscontrata una malocclusione scheletrica e dentale di classe II associata a morso profondo e lieve affollamento anteriore superiore. Dopo aver prescritto entrambi gli esami radiografici ortodontici (OPT e teleradiografia latero-laterale del cranio), la risoluzione della malocclusione di II classe è stata eseguita tramite l’utilizzo di Carriere Motion per la durata di 3 mesi e successivamente completata con bandaggio superiore e inferiore con tecnica Damon e con elastici di classe II per tutta la durata del trattamento.
Il follow-up a circa 12 mesi di distanza dal debonding di entrambe le arcate ha mostrato che i risultati ottenuti con il trattamento ortodontico erano ancora altamente qualitativi sia dal punto di vista funzionale che estetico e includevano: una classe I di primo molare e canino, un allineamento degli elementi inferiori, una proclinazione degli incisivi superiori, un’apertura del morso e una lieve derotazione dei molari superiori.
Poiché non sono stati riscontrati cambiamenti scheletrici significativi durante il trattamento con Carriere Motion, questo dispositivo può essere considerato un’alternativa efficace e rapida per la correzione della malocclusione di classe II durante i primi mesi di trattamento. Tuttavia, è bene ricordare che l’efficacia non è l’unico criterio per la scelta della corretta terapia ortodontica, che anzi deve considerare: la fase di crescita e la collaborazione del singolo paziente, la comodità del dispositivo e il mantenimento dell’igiene orale.
La malocclusione di classe II può essere distinta in scheletrica e dentale. La malocclusione scheletrica di classe II si riferisce più spesso a una discrepanza sagittale caratterizzata da retrusione mandibolare e/o protrusione mascellare, mentre la malocclusione dentale di classe II è suddivisa in classe II divisione 1 e classe II divisione 2. Due caratteristiche facilmente riscontrabili in pazienti con malocclusione di classe II possono essere: il morso profondo, una malocclusione sul piano verticale caratterizzata da un aumento dei normali valori di overbite, e l’affollamento dentale, la discrepanza tra lo spazio disponibile e lo spazio necessario. La gestione clinica della malocclusione di classe II si basa su un approccio ortodontico che può essere effettuato utilizzando, ad esempio, Carriere Motion, elastici di II classe e un trattamento ortodontico fisso.
Introduzione
Il termine malocclusione di classe II si riferisce a una discrepanza sagittale caratterizzata da retrusione mandibolare e/o protrusione mascellare (1). Le malocclusioni scheletriche di classe II possono coinvolgere la componente mascellare, la componente mandibolare o entrambe (2). Tra le malocclusioni dentali di classe II vanno menzionate: la classe II divisione 1, che si caratterizza per una proclinazione più o meno evidente degli incisivi superiori con overjet spesso accentuato, e la classe II divisione 2, che presenta una inclinazione assiale verticale o linguale degli incisivi centrali superiori e un’angolazione vestibolo-mesiale dei laterali, con overjet normale o diminuito e overbite accentuato (3).
A volte la malocclusione di classe II può essere associata a morso profondo (4). Il deep-bite è una malocclusione sul piano verticale che presenta un aumento dei normali valori di overbite, riscontrabile sia nella dentizione decidua che quella permanente (5). Dal punto di vista clinico, il deep-bite si osserva quando, in massima intercuspidazione, vi è un’eccessiva sovrapposizione verticale degli incisivi e i bordi incisali degli incisivi inferiori urtano con la mucosa del palato (6). Inoltre, anche lo stesso modello di crescita verticale svolge un ruolo fondamentale nella diagnosi e nel trattamento di tale malocclusione.
Un’altra caratteristica che può essere facilmente osservata nei pazienti con malocclusione di classe II è l’affollamento dentale (7). L’affollamento dentale è la discrepanza tra lo spazio disponibile, dato dalle ossa dei mascellari per alloggiare tutti gli elementi dentali, e lo spazio necessario, che coincide con quello effettivamente occupato dai denti, dato dalla somma delle loro dimensioni mesio-distali (8). Dal punto di vista clinico, se lo spazio necessario è maggiore di quello disponibile, si osserva uno squilibrio nel posizionamento degli elementi dentali, in cui vengono meno i fisiologici punti di contatto e quindi il corretto allineamento all’interno dell’arcata dentale (9).
Uno dei possibili trattamenti per la malocclusione di classe II può essere il Carriere Motion (10). Il dispositivo viene applicato nell’arcata superiore e presenta una barra in acciaio inossidabile (nickelfree) con due basi (una anteriore e una posteriore). La base anteriore è fissa, presenta un gancio a cui viene attaccato l’elastico e può essere collocata sia sul canino che sul primo premolare. La base posteriore presenta invece una struttura “ball and socket”, fondamentale per il meccanismo di azione del dispositivo (11), in quanto consente: la distalizzazione del primo molare superiore con tipping distale della corona limitato e la derotazione del molare.
CASO CLINICO
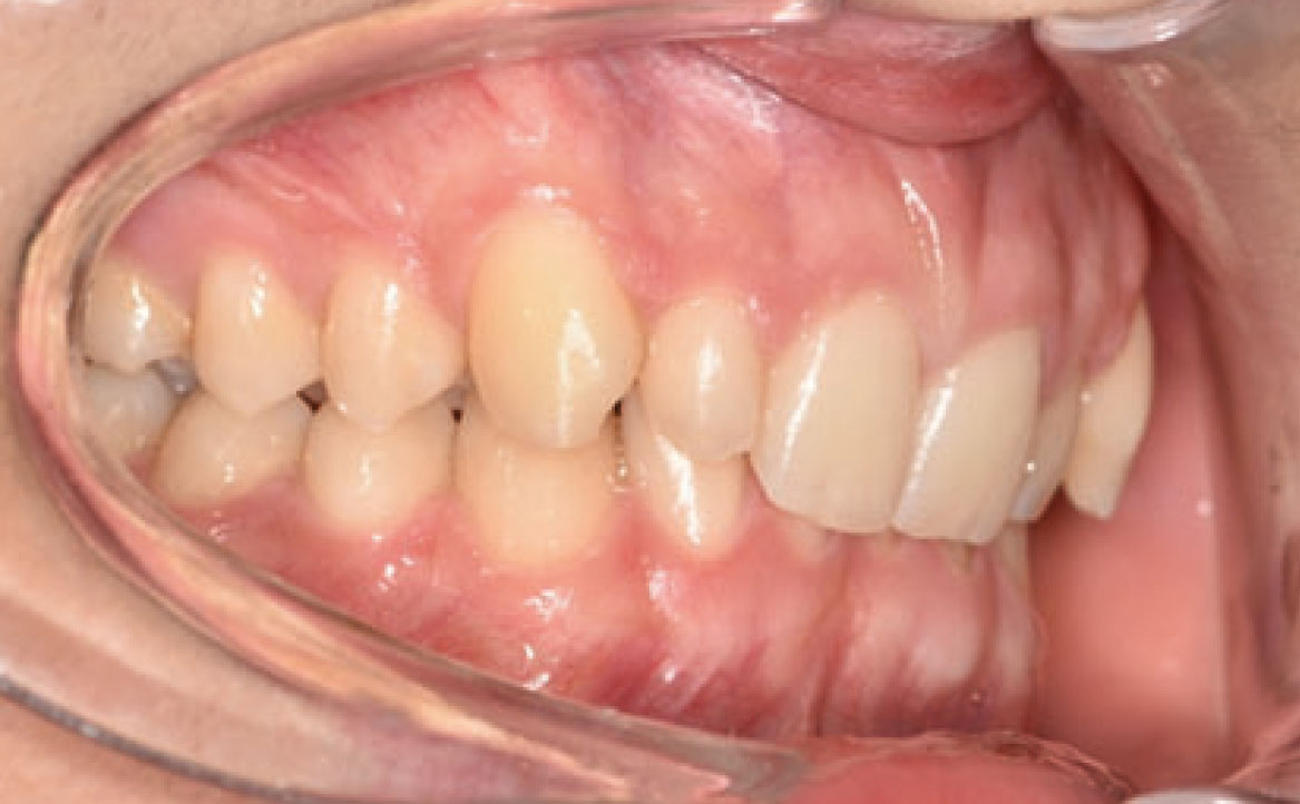
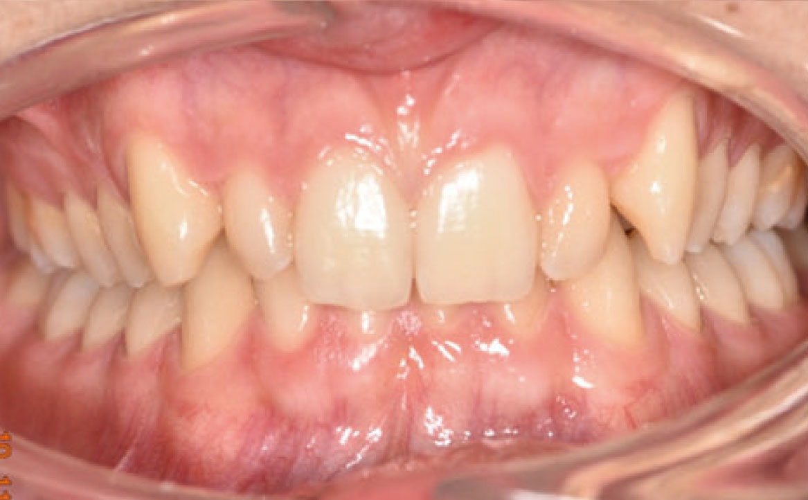
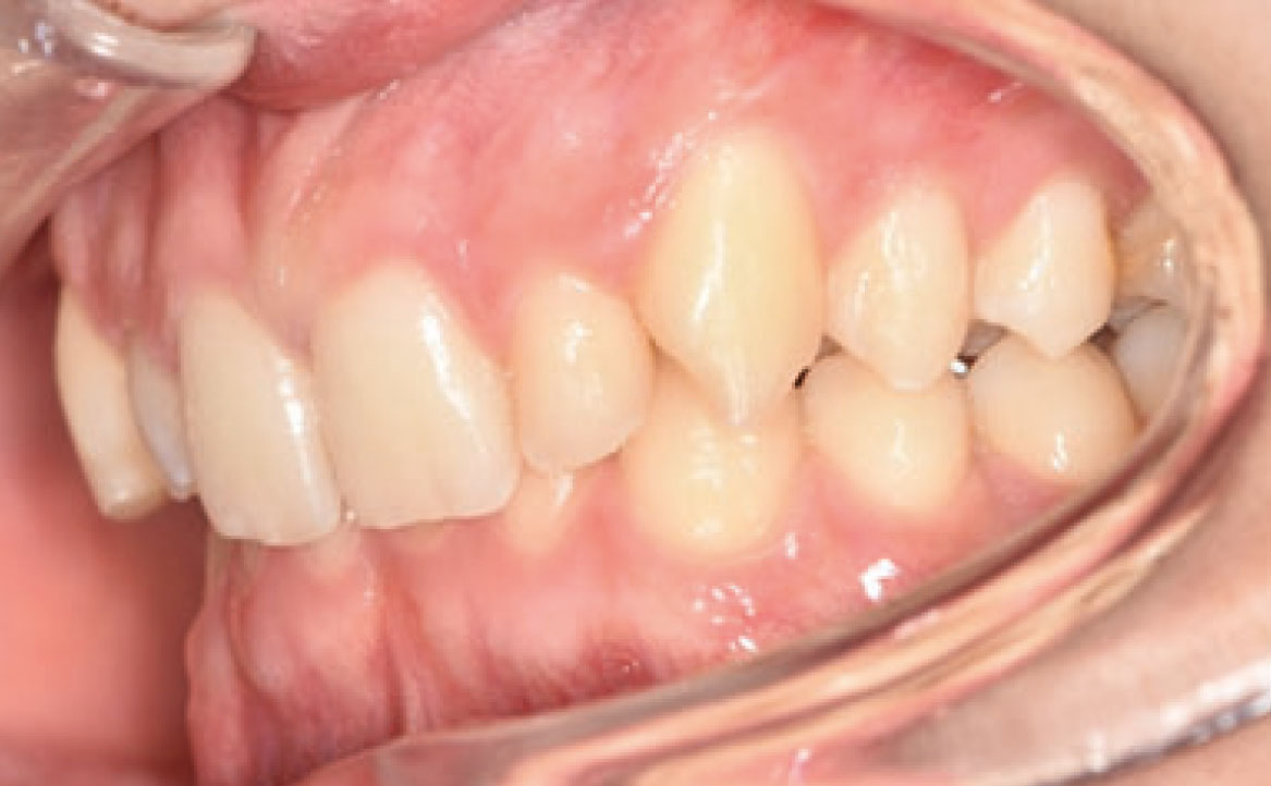
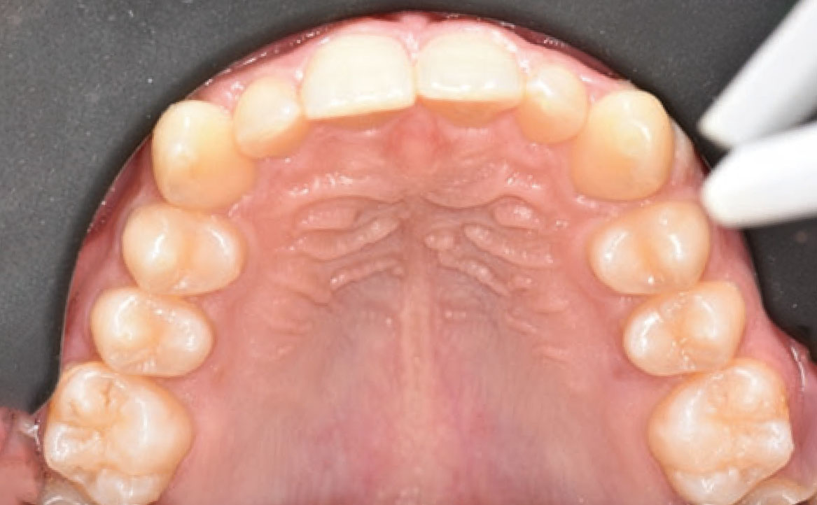
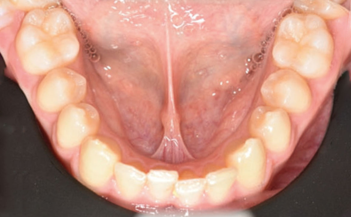
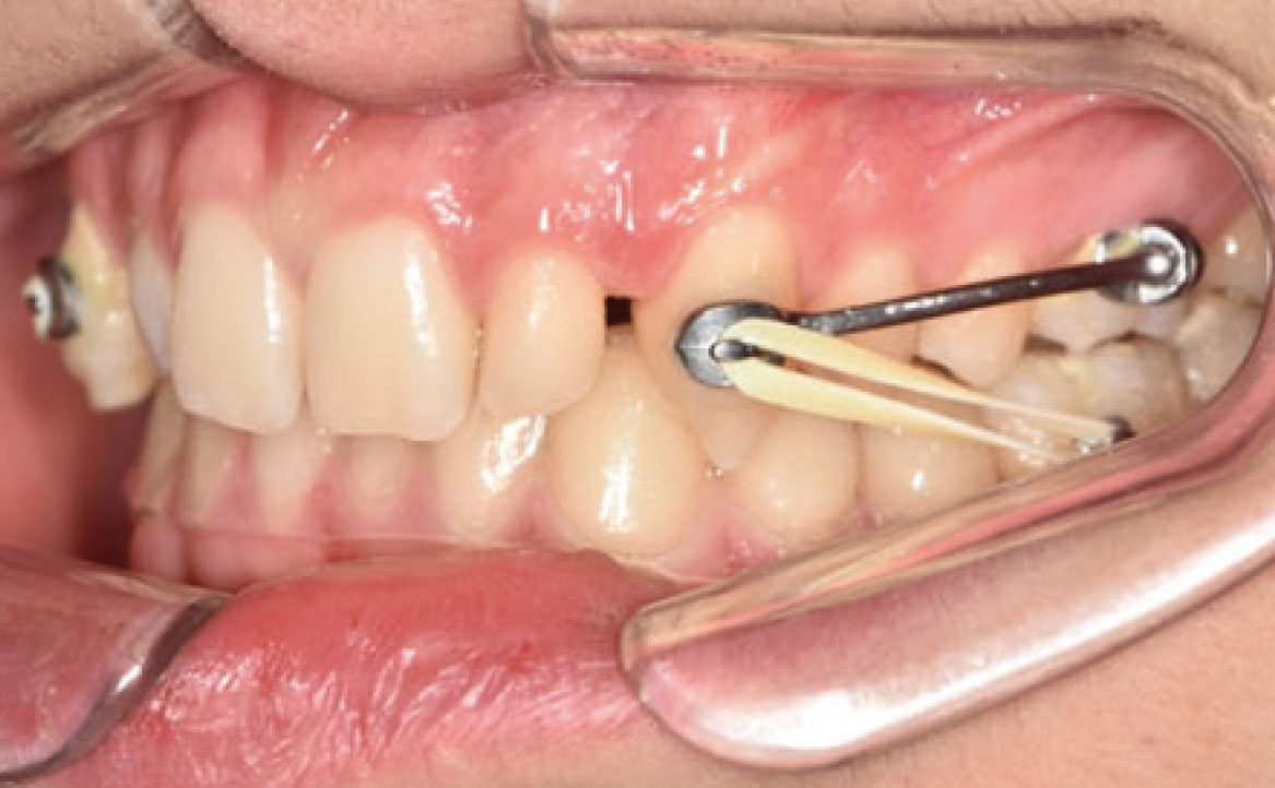
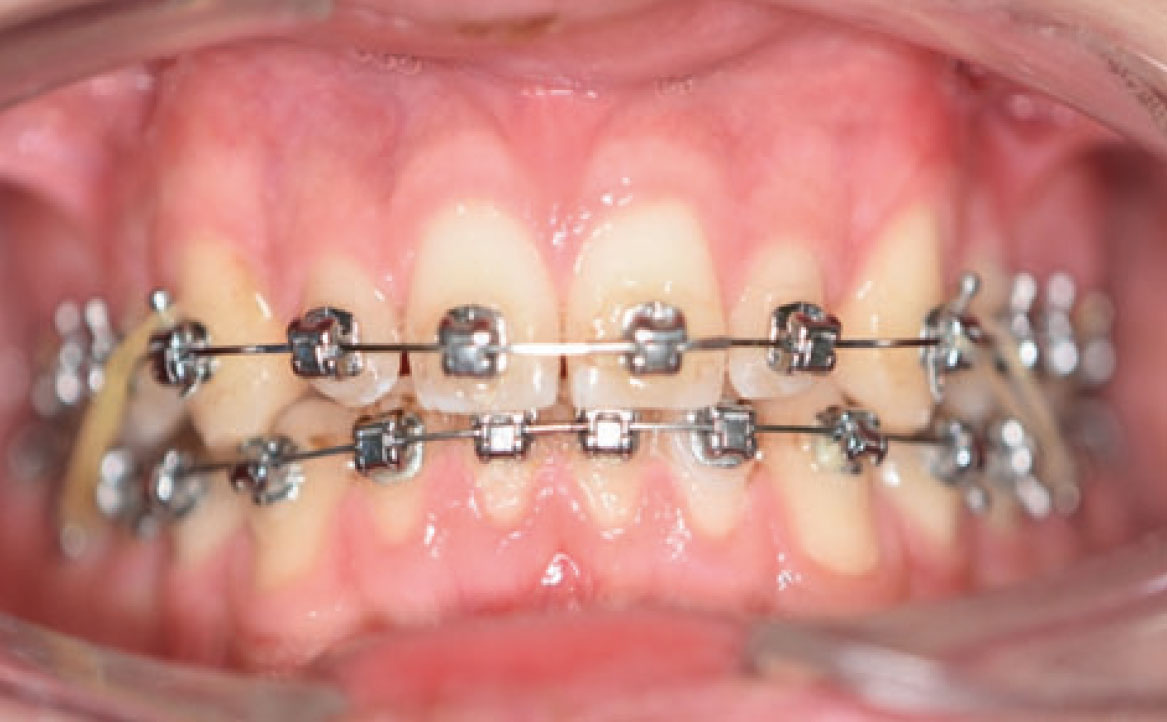
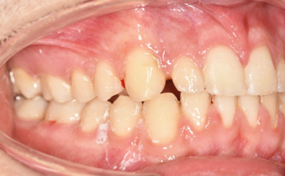
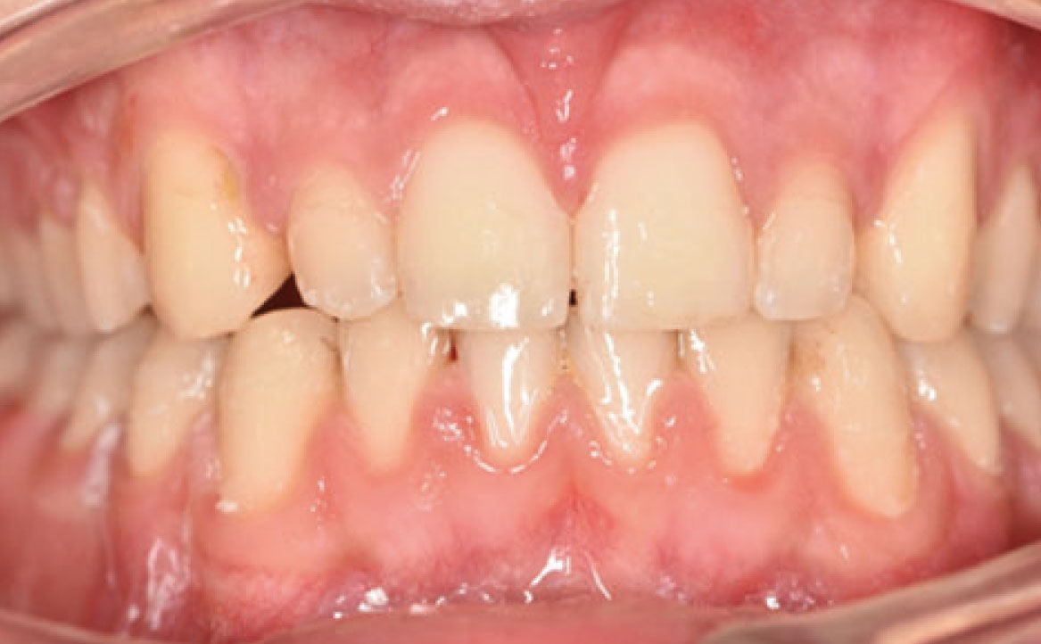
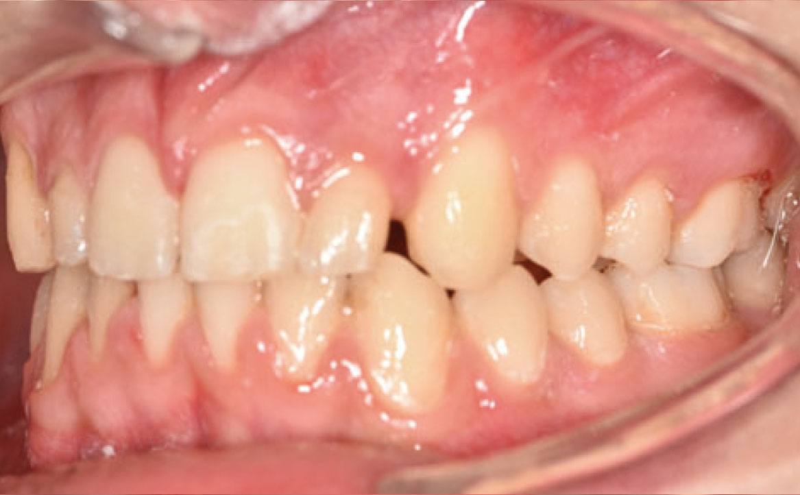
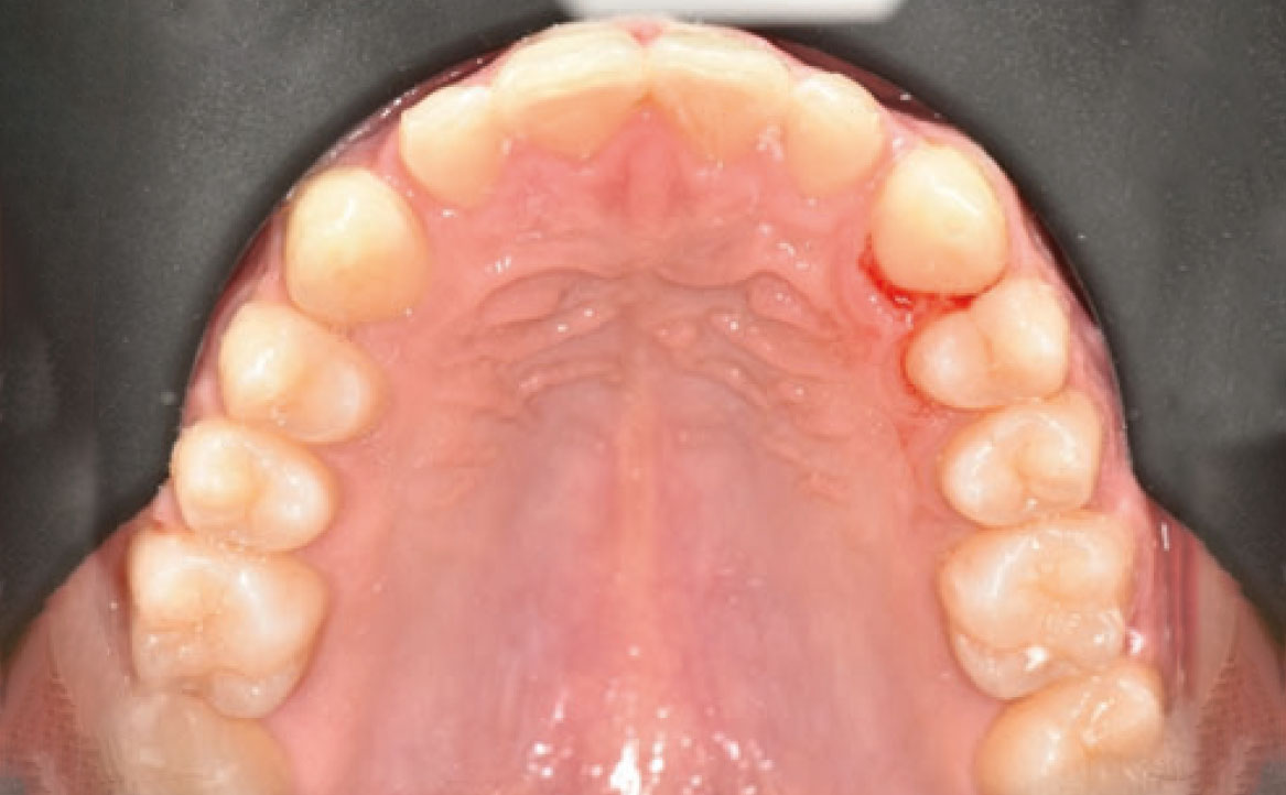
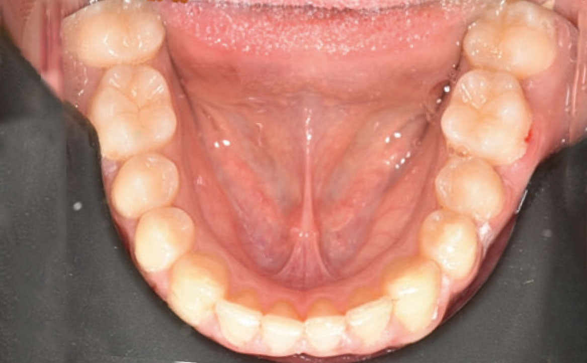
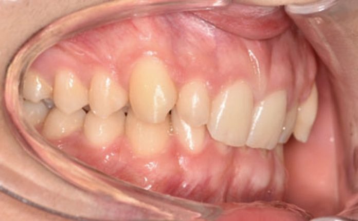
Il paziente si è presentato per la sua prima visita presso il reparto di Odontoiatria e Protesi Dentaria dell’Ospedale Vita-Salute San Raffaele diretto dal prof. E. F. Gherlone. All’esame obiettivo era evidente una malocclusione scheletrica e dentale di classe II associata a morso profondo e lieve affollamento anteriore superiore. In particolare, sono stati segnalati: rapporti occlusali di classe II, morso profondo, perdita di overjet, contrazione dell’arcata superiore e inferiore con leggero affollamento (fig. 1a-f). La richiesta del paziente era quella di migliorare l’estetica dei denti anteriori con allineatori invisibili di tipo Invisalign. Tuttavia, sia il paziente che il genitore sono stati informati che, per ragioni di efficacia e risoluzione del problema, era necessario agire anche a livello di funzionalità e risoluzione della malocclusione.






La risoluzione della malocclusione di classe II è stata eseguita tramite Carriere Motion per la durata di 3 mesi e successivamente completata con bandaggio superiore e inferiore con tecnica Damon, utilizzando elastici di classe II per tutta la durata del trattamento.
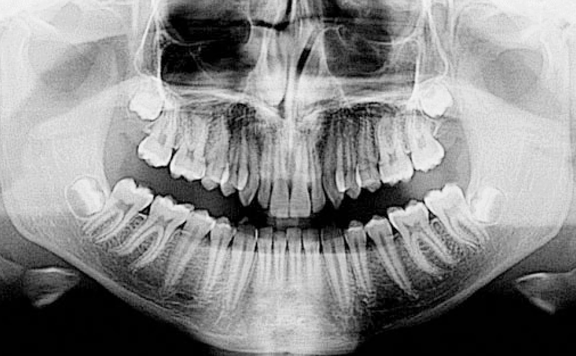
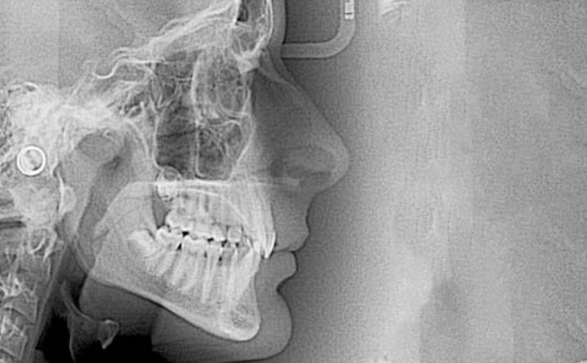
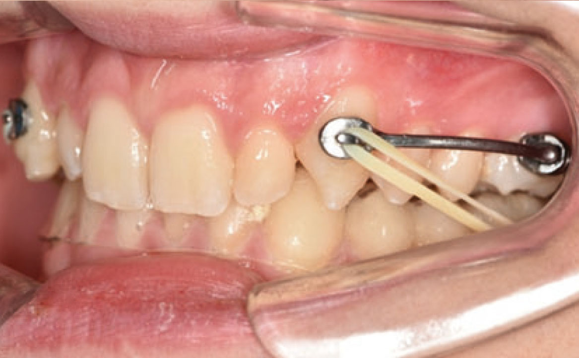
In primo luogo, sono stati prescritti entrambi gli esami radiografici ortodontici: OPT e teleradiografia latero-laterale del cranio (fig. 2a-b). Successivamente, in accordo con il genitore, è stata concordata una terapia ortodontica in due tempi. L’inizio della terapia è stato effettuato con Carriere Motion ed elastici di classe II, con l’obiettivo di migliorare la classe molare (fig. 2c-e).





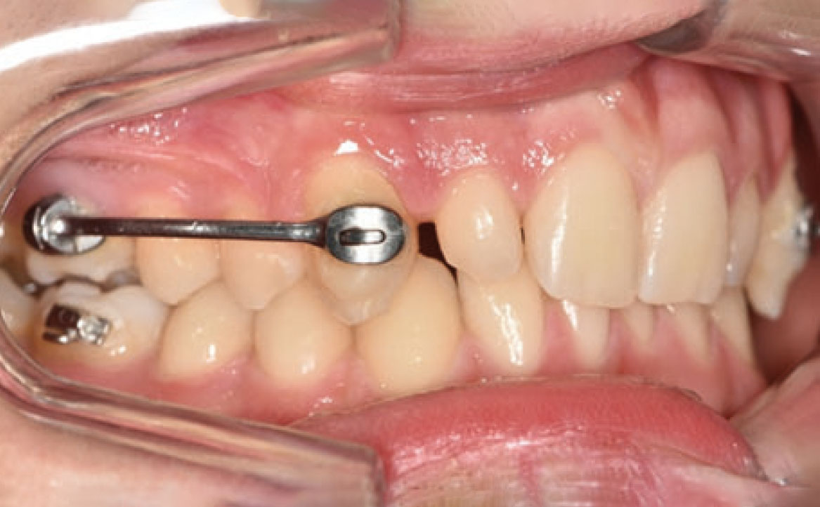
Infatti, durante il primo controllo due mesi dopo, è stato osservato un miglioramento della classe molare (fig. 3a-c).



Un mese dopo, durante il secondo controllo, è stata raggiunta la posizione dei molari richiesta e, di conseguenza, il Carriere Motion è stato sospeso e si è iniziato il trattamento di ortodonzia fissa (fig. 4a-c).



Nello specifico, sono stati eseguiti bandaggi superiori e inferiori con tecnica Damon per l’allineamento e il livellamento delle arcate dentarie con l’aggiunta di rialzi occlusali, al fine di aprire il morso, ed elastici di classe II a tempo pieno (fig. 5a-c).



Dopo circa dieci mesi, è stata eseguita la rimozione dei rialzi occlusali ed è stato ridotto il tempo di utilizzo degli elastici da 24 a 12 ore (solo nelle ore pomeridiane e notturne) (fig. 6a-d). Successivamente, il paziente ha chiesto anche di migliorare l’aspetto estetico degli elementi microdontici 12 e 22. Dopo una discussione con un collega, è stata proposta l’aggiunta di materiali compositi sul lato mesiale e distale di entrambi gli elementi. L’alternativa sarebbe stata l’uso di faccette in composito.




Sei mesi dopo è stata eseguito il debonding di entrambe le arcate. Successivamente il paziente è stato sottoposto a una seduta di igiene orale professionale. Infine, sono state prese le impronte dentali per creare i retainers. Al termine del trattamento è ancora visibile uno spazio residuo compreso tra gli elementi 13-12 e 22-23 dopo l’intervento estetico con materiale composito. La classe molare è stata raggiunta (fig. 7a-e).





FOLLOW-UP
Le visite di follow-up, finalizzate all’esame clinico, sono state effettuate un mese dopo la fine del trattamento. Successivamente a tre mesi, sei mesi e poi annualmente. Il paziente è stato istruito, da un igienista dentale, sul controllo meccanico della placca batterica mediante l’utilizzo di spazzolino elettrico o manuale, spazzolini inter-prossimali e filo interdentale tipo Super Floss (Oral B, Procter & Gamble, Cincinnati, OH, USA). Le manovre di igiene orale professionale sono state eseguite ogni tre mesi dopo la fine del trattamento.
RISULTATI
Il paziente è stato rivalutato circa 12 mesi dopo il debonding di entrambe le arcate con un OPT, al fine di valutare il rapporto tra le radici degli elementi dentali, le arcate dentarie, le ossa dei mascellari, i seni mascellari e la struttura ossea delle articolazioni temporo-mandibolari. Attraverso l’OPT è stato testimoniato che i risultati ottenuti con il trattamento ortodontico erano ancora altamente qualitativi sia dal punto di vista funzionale che estetico a 12 mesi dalla fine del trattamento (fig. 8a) e includevano: una classe I del primo molare e del canino, un allineamento degli elementi superiori e inferiori, una proclinazione degli incisivi superiori, un’apertura del morso e una lieve derotazione dei molari superiori.

DISCUSSIONE
Il trattamento per la malocclusione di classe II in ortodonzia viene scelto in base allo stato di crescita del paziente (12). Il trattamento precoce per i bambini con questo tipo di malocclusione è più efficace rispetto che aspettare la prima adolescenza per utilizzare apparecchi ortodontici al fine di ripristinare i rapporti tra le arcate dentarie (1). Ad esempio, in una malocclusione dentale di classe II, è possibile utilizzare elastici ortodontici o allineatori invisibili per correggere il morso.
Secondo la letteratura scientifica, un altro trattamento ortodontico che può essere utilizzato per la risoluzione della malocclusione di classe II è il Carriere Motion (13). Nell’ultimo decennio, il distalizzatore Carriere Motion ha riscosso un notevole successo. Il dispositivo viene applicato con bonding diretto al canino (o primo premolare) e primo molare, al fine di ottenere una distalizzazione della componente mascellare superiore correggendo, se presente, anche la rotazione del primo molare superiore. Il sistema comprende anche un punto di ancoraggio inferiore con la forza trasmessa tramite elastici di classe II (11).
Il canino mascellare presenta un movimento distale con tipping, estrusione e rotazione. Il primo molare mascellare mostra un movimento distale con derotazione e uprighting (14). Inoltre, l’effetto principale del trattamento con Carriere Motion ed elastici di classe II sembra essere di tipo dento-alveolare (15). Dal 74% all’86% delle malocclusioni di classe II mostrano dei primi molari mesio-rotati, pertanto la derotazione di quest’ultimi permette di conseguire un’occlusione di classe I, diminuendo la quantità di distalizzazione.
Questo dispositivo mostra come vantaggio principale la possibilità di ottenere, nei primi mesi di terapia e con un’elevata collaborazione da parte del paziente, una correzione rapida della malocclusione dentale di classe II. Inoltre, questo permetterà di semplificare e abbreviare la seconda fase del trattamento (16). Infatti, il tempo stimato per correggere una malocclusione di II classe è generalmente compreso tra i 18 e 24 mesi (17). Il Carriere Motion consente invece un più rapido raggiungimento del risultato desiderato (in media 4,6 mesi), nonostante necessiti comunque di un successivo trattamento ortodontico fisso.
CONCLUSIONI
La malocclusione di classe II associata a morso profondo e lieve affollamento dentale anteriore superiore è una condizione abbastanza comune e può essere risolta con diversi approcci ortodontici. Poiché non sono stati riscontrati cambiamenti scheletrici significativi durante il trattamento con Carriere Motion, questo dispositivo può essere considerato un’alternativa efficace e rapida per la correzione della malocclusione di classe II durante i primi mesi di trattamento. Tuttavia, è bene ricordare che l’efficacia non è l’unico criterio per la scelta della corretta terapia ortodontica, che anzi deve considerare: la fase di crescita e la collaborazione del singolo paziente, la comodità del dispositivo e il mantenimento dell’igiene orale.
1. Brierley CA, DiBiase A, Sandler PJ. Early Class II treatment. Aust Dent J. 2017 Mar;62 Suppl 1:4-10. doi: 10.1111/adj.12478.
2. McNamara JA Jr. Components of class II malocclusion in children 8-10 years of age. Angle Orthod. 1981 Jul;51(3):177-202. doi: 10.1043/0003-3219(1981)051
3. McNamara JA Jr, Peterson JE Jr, Alexander RG. Three-dimensional diagnosis and management of Class II malocclusion in the mixed dentition. Semin Orthod. 1996 Jun;2(2):114-37. doi: 10.1016/s1073-8746(96)80048-x.
4. Uzuner FD, Aslan BI, Dinçer M. Dentoskeletal morphology in adults with Class I, Class II Division 1, or Class II Division 2 malocclusion with increased overbite. Am J Orthod Dentofacial Orthop. 2019 Aug;156(2):248-256.e2. doi: 10.1016/j.ajodo.2019.03.006.
5. Maruo IT. Class II Division 2 subdivision left malocclusion associated with anterior deep overbite in an adult patient with temporomandibular disorder. Dental Press J Orthod. 2017 Jul-Aug;22(4):102-112. doi: 10.1590/2177-6709.22.4.102-112.bbo.
6. Bhateja NK, Fida M, Shaikh A. Deep Bite Malocclusion: Exploration Of The Skeletal And Dental Factors. J Ayub Med Coll Abbottabad. 2016 Jul-Sep;28(3):449-454.
7. Singh S, Shivaprakash G. To Evaluate the Correlation Between Skeletal and Dental Parameters to the Amount of Crowding in Class II Div. 1 Malocclusions. J Clin Diagn Res. 2017 Sep;11(9):ZC22-ZC27. doi: 10.7860/JCDR/2017/27675.10566. Epub 2017 Sep 1.
8. Normando D, Almeida MA, Quintão CC. Dental crowding: the role of genetics and tooth wear. Angle Orthod. 2013 Jan;83(1):10-5. doi: 10.2319/020112-91.1. Epub 2012 Jul 13.
9. Mustafa RA, Abuaffan AH. Evaluation of Dental Crowding and Spacing in Relation to Tooth Size and Arch Dimensions in a Sample of Sudanese Adults. J Contemp Dent Pract. 2021 Mar 1;22(3):253-258.
10. Fouda AS, Aboulfotouh MH, Attia KH, Aboulezezz AM. Carriere Motion Appliance with Miniscrew Anchorage for Treatment of Class II, Division 1 Malocclusion. J Clin Orthod. 2020 Oct;54(10):633-641.
11. Areepong D, Kim KB, Oliver DR, Ueno H. The Class II Carriere Motion appliance. Angle Orthod. 2020 Jul 1;90(4):491-499. doi: 10.2319/080919-523.1.
12. Moorrees CF. Thoughts on the early treatment of Class II malocclusion. Clin Orthod Res. 1998 Nov;1(2):97-101. doi: 10.1111/ocr.1998.1.2.97.
13. Rodríguez HL. Long-Term Stability of Two-Phase Class II Treatment with the Carriere Motion Appliance. J Clin Orthod. 2019 Aug;53(8):481-487.
14. Wilson B, Konstantoni N, Kim KB, Foley P, Ueno H. Three-dimensional cone-beam computed tomography comparison of shorty and standard Class II Carriere Motion appliance. Angle Orthod. 2021 Jul 1;91(4):423-432. doi: 10.2319/041320-295.1.
15. Barakat D, Bakdach WMM, Youssef M. Treatment effects of Carriere Motion Appliance on patients with class II malocclusion: A systematic review and meta-analysis. Int Orthod. 2021 Sep;19(3):353-364. doi: 10.1016/j.ortho.2021.05.005. Epub 2021 Jun 12.
16. Clermont A, Albert A, Bruwier A. Effects of the Class II Carriere motion appliance in phase I treatment: A randomized controlled trial. J Clin Orthod. 2022 May;56(5):285-293.
17. Janson G, Silva LNBC, Valerio MV, Laranjeira V, Niederberger A, Garib D. Treatment Time of Class II Malocclusion, with and without Mandibular Crowding, Treated with Four Premolar Extractions: A Retrospective Study. Turk J Orthod. 2021 Jun;34(2):122-126. doi: 10.5152/TurkJOrthod.2021.20127.
A class II skeletal and dental malocclusion was found on objective examination, associated with deep bite and mild upper anterior crowding. After both orthodontic radiographic examinations (OPT and lateral teleradiography of the skull) were prescribed, the resolution of the class II malocclusion was performed using Carriere Motion for 3 months and subsequently completed with upper and lower banding with Damon technique and with class II elastics for the entire duration of the treatment.
The following study presents a review of the existing literature regarding class II skeletal and dental malocclusion, with a focus on related problems, such as deep bite and dental crowding, and the possible clinical management for the resolution of the problem. In this perspective, the description of a clinical case within this article aims to outline a possible orthodontic approach in the presence of a class II malocclusion and to report the clinical results obtained through Carriere Motion, class II elastics and fixed orthodontic treatment.
The follow-up at approximately 12 months after the debonding of both arches showed that the results obtained with the orthodontic treatment were still highly qualitative both from a functional and aesthetic point of view and included: a class I first molar and canine, an alignment of the lower elements, a proclination of the upper incisors, an opening of the bite and a slight derotation of the upper molars.
Since no significant skeletal changes were observed during the treatment with Carriere Motion, this device can be considered an effective and rapid alternative for the correction of class II malocclusion during the first months of treatment. However, it is important to remember that effectiveness is not the only criterion for choosing the correct orthodontic therapy, which must instead consider: the growth phase and the collaboration of the individual patient, the comfort of the device and the maintenance of oral hygiene.




