Trattamento ortodontico di un paziente in crescita con shift mandibolare anteriore: case report

Orthodontic treatment of a growing patient with anterior mandibular shift: case report

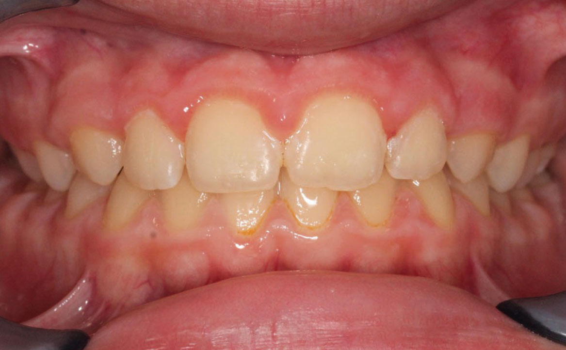
Fig. 1A Foto frontale iniziale.
Fig. 1A Foto frontale iniziale.
Scopo del lavoro:

L’obiettivo dell’articolo è quello di porre attenzione sull’importanza della diagnosi attraverso la descrizione del trattamento ortodontico di un paziente di 11 anni che presenta una pseudo classe III.

Materiali e metodi:

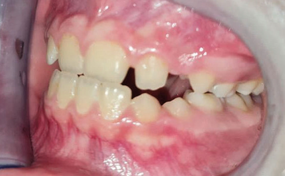
All’esame obiettivo si osserva prima classe molare bilaterale e classe canina non valutabile poiché il paziente si trova in fase di dentizione mista con permuta in atto degli elementi dentari decidui. L’analisi cefalometrica evidenzia Ia classe scheletrica tendente alla III, ipodivergente. Dal primo contatto alla massima intercuspidazione si rileva la presenza di uno shift mandibolare che determina uno scivolamento mandibolare anteriore: ne risulta overjet negativo e overbite ridotto. La postura linguale del paziente è anteriore e la deglutizione atipica. Sul piano trasversale è osservabile una contrazione del mascellare.

Risultati:

La terapia della malocclusione del paziente descritta in questo case report è rappresentata da REP e bandaggio parziale superiore, in quanto dalla valutazione diagnostica preliminare il paziente non risulta affetto da malocclusione scheletrica di classe III ma da shift mandibolare anteriore che simula un cross anteriore di origine scheletrica.

Conclusioni:

È necessario dunque eseguire un’approfondita diagnosi, basata su tutti i records iniziali al fine di poter impostare il piano terapeutico più efficace e più efficiente per il singolo paziente (1).

INTRODUZIONE

La malocclusione di classe III presenta un’eziologia multifattoriale, nonostante ci sia una forte correlazione genetica nelle famiglie affette da tale malocclusione.

Quest’ultima può essere di origine dentale, scheletrica o dento-scheletrica e può essere caratterizzata da retrusione mascellare, protrusione mandibolare o una combinazione di entrambe. Il mancato trattamento di tale malocclusione porta quasi sempre a un aggravamento della stessa. La letteratura pertanto è concorde nell’affermare che è indicato il trattamento precoce dei pazienti affetti da malocclusione di classe III (1-3).

Il cross bite anteriore è uno dei segni clinici che si manifesta in presenza di una malocclusione di terza classe, ma è sempre necessario eseguire un’attenta diagnosi prima di pianificare l’approccio terapeutico, in quanto il cross bite anteriore può essere il risultato di uno shift mandibolare in presenza di precontatto anteriore in assenza di una III classe scheletrica (2).

È fondamentale correggere precocemente lo shift mandibolare funzionale in quanto il mancato trattamento può farne derivare una condizione strutturale scheletrica con un aggravamento del quadro clinico (3,4).

OBIETTIVO

L’obiettivo di questo case report è stabilire l’importanza della diagnosi al fine di definire il piano di trattamento più corretto per il singolo paziente.

L’articolo descrive il caso di un paziente di 11 anni che viene sottoposto a visita ortodontica presso il Reparto di Ortodonzia dell’Ospedale San Raffele di Milano.

Durante la prima visita vengono eseguiti l’anamnesi medica, l’esame obiettivo e viene raccolta la documentazione radiografica e fotografica per poter eseguire lo studio del caso e formulare un piano di trattamento.

Esame clinico e studio del caso

Dalla valutazione extraorale in visione frontale si osserva viso di forma ovale e normal asimmetry. In visione laterale extraorale appare evidente una lieve predominanza mandibolare con terzo inferiore di dimensioni normali (fig. 1).

Fig. 1B Foto laterale iniziale.
Fig. 1B Foto laterale iniziale.

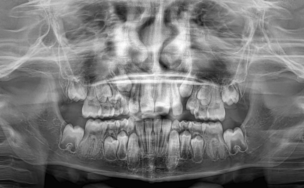
L’ortopantomografia mostra una fase di dentizione mista con presenza di tutti gli elementi dentari permanenti ad eccezione dei terzi molari.

Dal tracciato cefalometrico eseguito su teleradiografia L/L ne risulta I classe scheletrica (tendente alla III classe) ipodivergente con retroinclinazione degli incisivi superiori e proinclinazione degli incisivi inferiori (fig. 2-3).

Fig. 2 OPT.
Fig. 2 OPT.
Fig. 3 Teleradiografia latero-laterale.
Fig. 3 Teleradiografia latero-laterale.

A livello intraorale sul piano sagittale è osservabile I classe molare destra e sinistra e classe canina non valutabile per mancanza degli elementi dentari durante la fase di permuta.

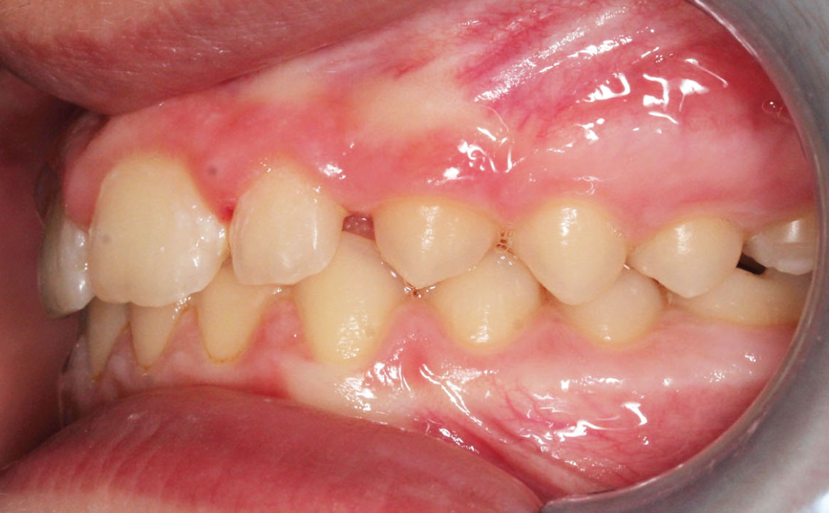
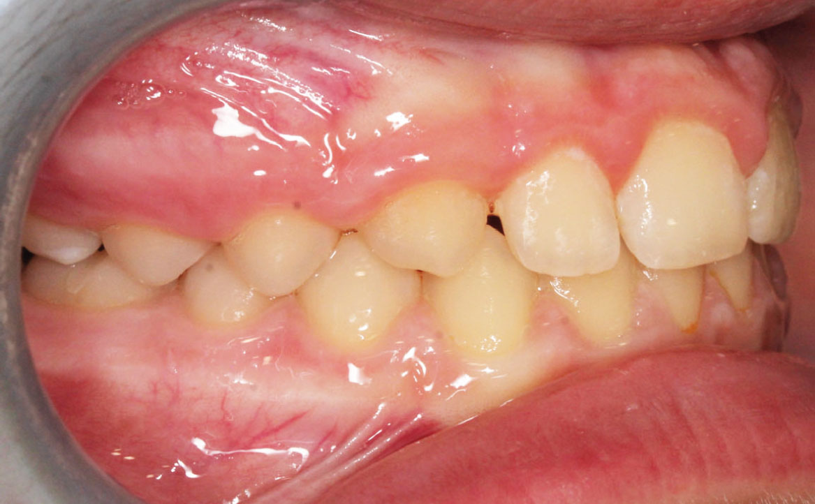
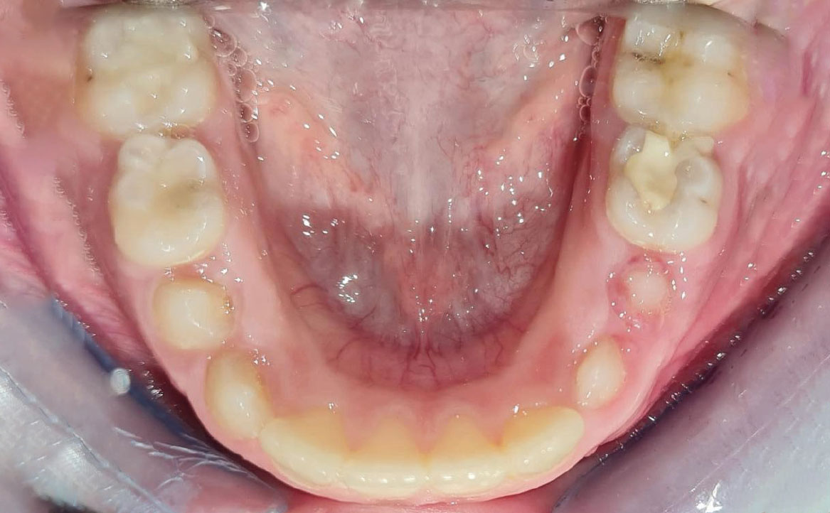
L’overjet e l’overbite sono entrambi ridotti in massima intercuspidazione. Trasversalmente il mascellare superiore è contratto (fig. 4-7).

Fig. 4A Foto intraorale in massima intercuspidazione.
Fig. 4A Foto intraorale in massima intercuspidazione.
Fig. 4B Foto intraorale in massima intercuspidazione.
Fig. 4B Foto intraorale in massima intercuspidazione.
Fig. 4C Foto intraorale in massima intercuspidazione.
Fig. 4C Foto intraorale in massima intercuspidazione.
Fig. 5A Modello digitale occlusione dx e sx. Dall’esame clinico e dai modelli digitali si evidenzia una classe canina non valutabile e una classe molare I a destra e a sinistra.
Fig. 5A Modello digitale occlusione dx e sx. Dall’esame clinico e dai modelli digitali si evidenzia una classe canina non valutabile e una classe molare I a destra e a sinistra.
Fig. 5B Modello digitale occlusione dx e sx. Dall’esame clinico e dai modelli digitali si evidenzia una classe canina non valutabile e una classe molare I a destra e a sinistra.
Fig. 5B Modello digitale occlusione dx e sx. Dall’esame clinico e dai modelli digitali si evidenzia una classe canina non valutabile e una classe molare I a destra e a sinistra.
Fig. 6A Foto dell'arcata superiore.
Fig. 6A Foto dell'arcata superiore.
Fig. 6B Modello digitale dell'arcata superiore.
Fig. 6B Modello digitale dell'arcata superiore.
Fig. 7A Foto dell'arcata inferiore.
Fig. 7A Foto dell'arcata inferiore.
Fig. 7B Modello digitale dell'arcata inferiore.
Fig. 7B Modello digitale dell'arcata inferiore.

Trattamento ortodontico

Il piano di trattamento proposto al paziente prevede una fase ortopedica di espansione mascellare rapida associata a terapia ortodontica fissa parziale superiore, finalizzate alla risoluzione della contrazione mascellare, alla creazione di spazio in arcata, al miglioramento dell’overjet e dell’overbite.

Espansore palatale rapido (ERP)

A seguito di scansioni intraorali, viene realizzato un disgiuntore palatale rapido, cementato con cemento vetroionomerico tramite bande su 16 e 26.

Vengono eseguiti dei rialzi occlusali sui primi molari permanenti superiori per consentire la disclusione.

È stata prescritta un’attivazione al giorno del REP monitorando settimanalmente il paziente fino all’ottenimento di un’ipercorrezione trasversale.

Bandaggio e sequenza archi

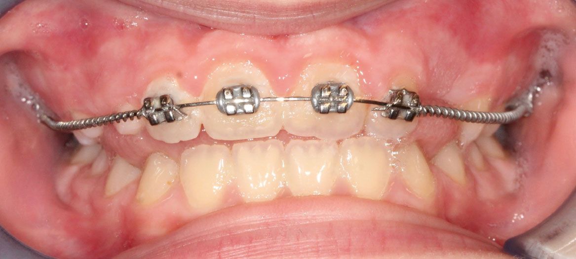
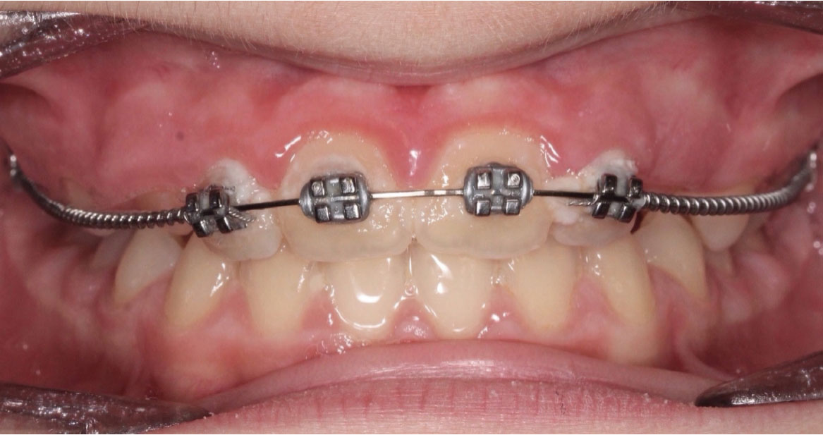
A tre mesi dalla cementazione dell’ERP si programma il bandaggio parziale superiore da 12 a 22 (Mini Master, prescrizione MBT, slot 22×28, American orthodontics) posizionando in maniera strategica i bk su 12 e 22, per il controllo del tip ed evitare interferenza con il tragitto eruttivo di 13 e 23. Sono state posizionate delle open coil attive e arco 016 Tanzo (fig. 8).

Fig. 8A Terapia intercettiva con REP e bandaggio parziale superiore.
Fig. 8A Terapia intercettiva con REP e bandaggio parziale superiore.
Fig. 8B Terapia intercettiva con REP e bandaggio parziale superiore.
Fig. 8B Terapia intercettiva con REP e bandaggio parziale superiore.
Fig. 8C Terapia intercettiva con REP e bandaggio parziale superiore.
Fig. 8C Terapia intercettiva con REP e bandaggio parziale superiore.
Fig. 8E Terapia intercettiva con REP e bandaggio parziale superiore.
Fig. 8E Terapia intercettiva con REP e bandaggio parziale superiore.
Fig. 8D Terapia intercettiva con REP e bandaggio parziale superiore.
Fig. 8D Terapia intercettiva con REP e bandaggio parziale superiore.

Al controllo successivo, a distanza di un mese, viene riattivata l’open coil e aumentati i rialzi occlusali già presenti.

A tre mesi dal bandaggio parziale viene inserito arco 016×22 Tanzo.

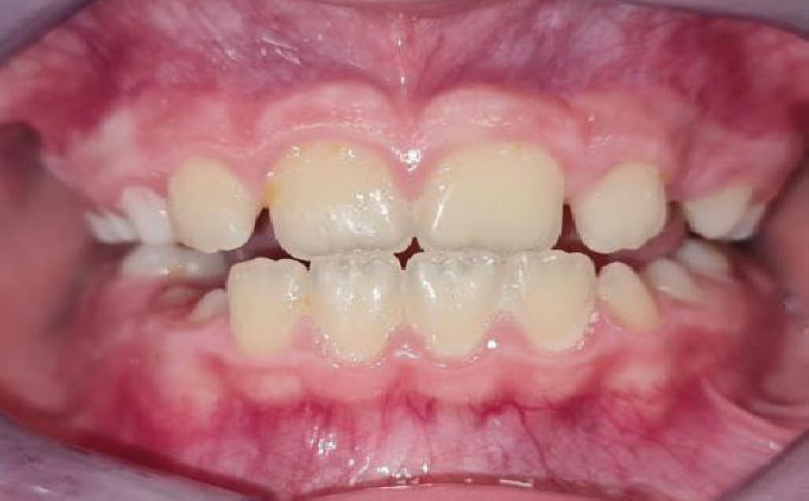
A 9 mesi dal montaggio dell’apparecchiatura overjet risulta positivo e gli elementi 13 e 23 sono in eruzione.

È ora assente lo shift anteriore (fig. 9).

Fig. 9A Dopo 9 mesi dall'inizio del trattamento ortodontico
Fig. 9A Dopo 9 mesi dall'inizio del trattamento ortodontico
Fig. 9B Dopo 9 mesi dall'inizio del trattamento ortodontico
Fig. 9B Dopo 9 mesi dall'inizio del trattamento ortodontico
Fig. 9C Dopo 9 mesi dall'inizio del trattamento ortodontico
Fig. 9C Dopo 9 mesi dall'inizio del trattamento ortodontico
Fig. 9D Dopo 9 mesi dall'inizio del trattamento ortodontico
Fig. 9D Dopo 9 mesi dall'inizio del trattamento ortodontico
Fig. 9E Dopo 9 mesi dall'inizio del trattamento ortodontico
Fig. 9E Dopo 9 mesi dall'inizio del trattamento ortodontico
Fig. 9G Dopo 9 mesi dall'inizio del trattamento ortodontico
Fig. 9G Dopo 9 mesi dall'inizio del trattamento ortodontico
Fig. 9F Dopo 9 mesi dall'inizio del trattamento ortodontico
Fig. 9F Dopo 9 mesi dall'inizio del trattamento ortodontico

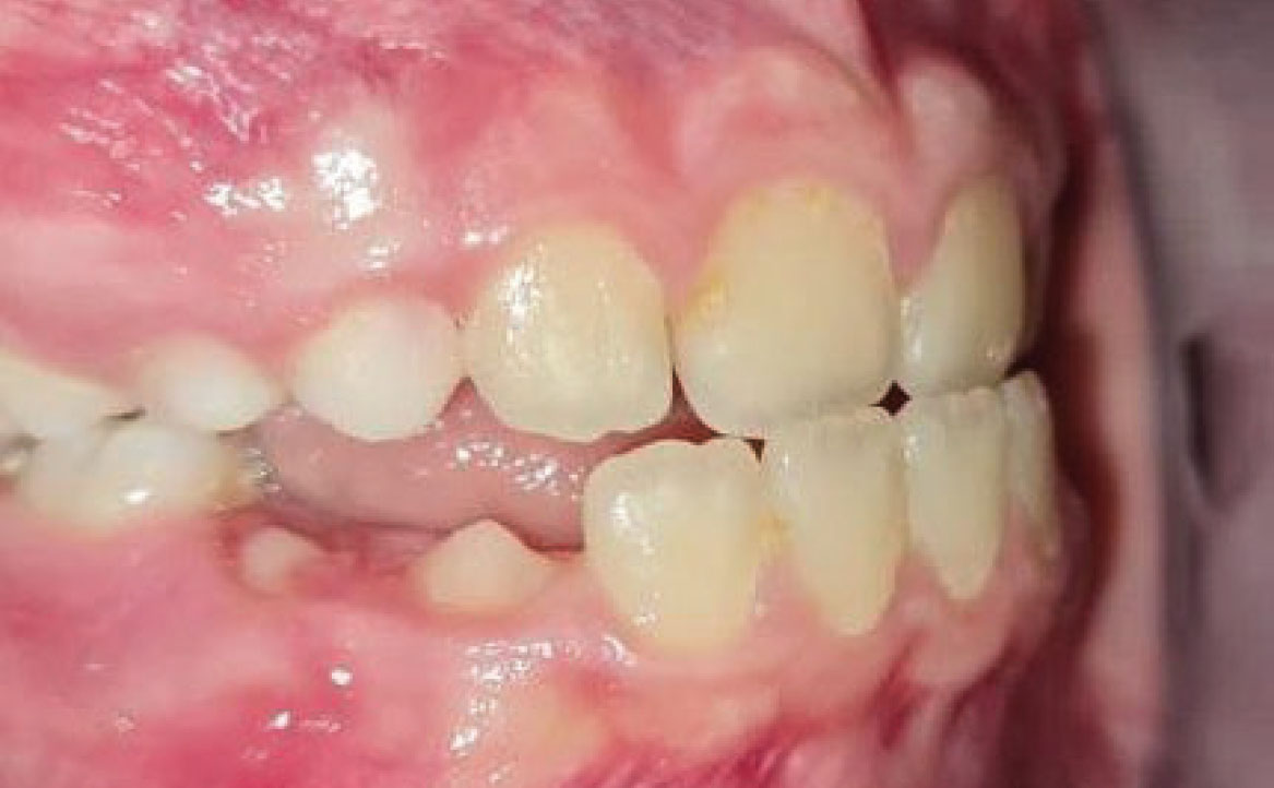
Al fine di ottenere un’ipercorrezione dell’overjet si applica arco 019×25 Tanzo.

A 12 mesi dall’inizio del trattamento gli obiettivi del trattamento vengono raggiunti e si prosegue con la rimozione del RPE (fig. 10).

Fig. 10A Dopo 12 mesi dall'inizio del trattamento ortodontico.
Fig. 10A Dopo 12 mesi dall'inizio del trattamento ortodontico.
Fig. 10B Dopo 12 mesi dall'inizio del trattamento ortodontico.
Fig. 10B Dopo 12 mesi dall'inizio del trattamento ortodontico.
Fig. 10C Dopo 12 mesi dall'inizio del trattamento ortodontico.
Fig. 10C Dopo 12 mesi dall'inizio del trattamento ortodontico.
Fig. 10D Dopo 12 mesi dall'inizio del trattamento ortodontico.
Fig. 10D Dopo 12 mesi dall'inizio del trattamento ortodontico.
Fig. 10E Dopo 12 mesi dall'inizio del trattamento ortodontico.
Fig. 10E Dopo 12 mesi dall'inizio del trattamento ortodontico.
Fig. 10F Dopo 12 mesi dall'inizio del trattamento ortodontico.
Fig. 10F Dopo 12 mesi dall'inizio del trattamento ortodontico.
Fig. 10G Dopo 12 mesi dall'inizio del trattamento ortodontico.
Fig. 10G Dopo 12 mesi dall'inizio del trattamento ortodontico.
Fig. 10I Dopo 12 mesi dall'inizio del trattamento ortodontico.
Fig. 10I Dopo 12 mesi dall'inizio del trattamento ortodontico.
Fig. 10H Dopo 12 mesi dall'inizio del trattamento ortodontico.
Fig. 10H Dopo 12 mesi dall'inizio del trattamento ortodontico.

I bk vengono lasciati in sede per altri 3 mesi (fig. 11).

Fig. 11A Correzione della pseudo-classe III a fine trattamento.
Fig. 11A Correzione della pseudo-classe III a fine trattamento.
Fig. 11B Correzione della pseudo-classe III a fine trattamento.
Fig. 11B Correzione della pseudo-classe III a fine trattamento.
Fig. 11C Correzione della pseudo-classe III a fine trattamento.
Fig. 11C Correzione della pseudo-classe III a fine trattamento.
Fig. 11D Correzione della pseudo-classe III a fine trattamento.
Fig. 11D Correzione della pseudo-classe III a fine trattamento.
Fig. 11E Correzione della pseudo-classe III a fine trattamento.
Fig. 11E Correzione della pseudo-classe III a fine trattamento.
Fig. 11F Correzione della pseudo-classe III a fine trattamento.
Fig. 11F Correzione della pseudo-classe III a fine trattamento.
Fig. 11G Correzione della pseudo-classe III a fine trattamento.
Fig. 11G Correzione della pseudo-classe III a fine trattamento.
Fig. 11I Correzione della pseudo-classe III a fine trattamento.
Fig. 11I Correzione della pseudo-classe III a fine trattamento.
Fig. 11H Correzione della pseudo-classe III a fine trattamento.
Fig. 11H Correzione della pseudo-classe III a fine trattamento.

DISCUSSIONE E CONCLUSIONI

La pseudo terza classe è una malocclusione in cui la mandibola, a seguito di precontatti dislocanti, dovuti ad alterate inclinazioni degli elementi dentali sia superiori che inferiori, scivola anteriormente determinando la comparsa di un overjet negativo. Se la condizione non viene corretta precocemente, la crescita e la funzione anomale determinano un ipersviluppo della mandibola e un iposviluppo delle ossa mascellari superiori (5).

Dunque, è fondamentale che la diagnosi venga eseguita correttamente e che la problematica venga intercettata per tempo con l’obiettivo di eliminare la noxa patogena che interferisce con il fisiologico processo di crescita del paziente in età evolutiva. Il mancato trattamento precoce può determinare infatti una patologia malocclusiva che da funzionale diventa strutturale e scheletrica.

Fondamentale è anche il timing d’intervento in quanto la letteratura è concorde nell’affermare che la crescita mascellare sul piano trasversale termina prima del picco puberale, pertanto un corretto approccio terapeutico deve tenere anche conto del momento ideale per trattare il paziente in crescita (7,8).

Un piano di trattamento efficace ed efficiente deve dunque basarsi su un’approfondita diagnosi, che parte da un esame obiettivo accurato e una scrupolosa valutazione dei records diagnostici, tutto questo non può prescindere inoltre dall’individuazione del timing di trattamento ideale per raggiungere gli obiettivi terapeutici prefissati.

Bibliografia:

1. Mariotti, M. (2014). Effeti dentoalveolari indotti dalla terapia precoce della malocclusione di III classe con espansore rapido e maschera facciale: valutazione tridimensionale su modelli digitali delle arcate dentali.

2. Proffit, W. R., Fields, H. W., Sarver, D. M., & Larson, B. E. (2020, August). Ortodonzia moderna. Edra.

3. Alfaifi, A.H. Restorative Management and Treatment of Pseudo-Class III Malocclusion. Case Rep. Dent. 2021, 2021, 8470222. [CrossRef]

4. Kale, B.; Buyukcavus, M.H. Comparison of Three-Dimensional Soft-Tissue Evaluations between Skeletal and Pseudo-Class III Malocclusions. Sci. Rep. 2020, 10, 14717. [CrossRef]

5. Mucedero, M., Pavoni, C., & Cozza, P. (2009). Analisi delle componenti strutturali e classificazione delle III classi. MONDO ORTODONTICO, 25.

6. Ackerman JL, Proffit WR. The characteristics of malocclusion: A modern approach to Classification and diagnosis. Am J Orthod 1969;56(5):443-454.

7. Fontana, P., Dalessandri, D., Laffranchi, L., Zotti, F., Tian, C., & Visconti, L. (2009). Percorso Diagnostico Terapeutico Assistenziale in ortodonzia intercettiva: una novità organizzativa. DOCTOR OS, 1, 32-34

8. Inchingolo, A. D., Ferrara, I., Viapiano, F., Netti, A., Campanelli, M., Buongiorno, S., Latini, G., Carpentiere, V., Ciocia, A. M., Ceci, S., Patano, A., Piras, F., Cardarelli, F., Nemore, D., Malcangi, G., Di Noia, A., Mancini, A., Inchingolo, A. M., Marinelli, G., Rapone, B., … Dipalma, G. (2022). Rapid Maxillary Expansion on the Adolescent Patient: Systematic Review and Case Report. Children (Basel, Switzerland), 9(7), 1046. https://doi.org/10.3390/children9071046

Materials and methods:

During physical examination a bilateral first molar class is observed and canine class cannot be assessed since the patient is in the mixed dentition phase with ongoing exchange of deciduous dental elements. The cephalometric analysis highlights skeletal class I tending towards III, hypodivergent. From the first contact to maximum intercuspation, the presence of a mandibular shift is detected which determines an anterior mandibular sliding: the result is a negative overjet and a reduced overbite. The patient’s lingual posture is anterior and swallowing is atypical. On the transverse plane, a contraction of the maxilla is observable.

Aim of the work:

The purpose of the article is to draw attention to the importance of diagnosis through the description of the orthodontic treatment of an 11-year-old patient with pseudo class III.

Results:

The treatment of the malocclusion of the patient described in this case report is represented by REP and upper partial banding, as from the preliminary diagnostic evaluation the patient is not affected by class III skeletal malocclusion but by anterior mandibular shift which simulates an anterior cross of skeletal origin.

Conclusion:

It is therefore necessary to perform an in-depth diagnosis, based on all the initial records in order to be able to set the most effective and efficient therapeutic plan for the individual patient [1].