
Gli impianti post-estrattivi a carico immediato sono ormai una tecnica predicibile ed affidabile per riabilitare gli elementi singoli persi nelle zone estetiche.
La morfologia dell’interfaccia fra fixture ed abutment influenza l’infiltrazione batterica a livello della connessione e di conseguenza il risultato estetico e la prognosi della riabilitazione implantoprotesica.
Diversi studi in vitro hanno dimostrato come il particolare design della connessione conica riesca ad impedire la contaminazione batterica all’interfaccia fra impianto ed abutment, inoltre questa tipologia di connessione è meccanicamente più stabile e presenta un maggior fitting rispetto agli altri tipi, poiché ha un’area di contatto più profonda ed estesa.
Il seguente caso clinico descrive le fasi della riabilitazione implantoprotesica di un incisivo laterale superiore fratturato utilizzando un nuovo impianto a connessione conica interna.
Procedure cliniche
Il paziente si presenta alla nostra attenzione lamentando la frattura coronale dell’incisivo laterale.
La prognosi dell’elemento è infausta e si opta per una riabilitazione implantoprotesica post-estrattiva a carico immediato.
Il residuo radicolare viene estratto flapless, preservando l’integrità dell’alveolo, viene preparato il sito implantare utilizzando come guida la parete palatale ed approfondendosi per alcuni millimetri oltre l’apice dentale.
Viene posizionata la fixture; la macrostruttura di questo impianto, caratterizzata da un apice conico, corpo cilindrico ed un’area coronale conica permette facilmente di ottenere un torque di inserzione maggiore di 35 N/cm, necessario per eseguire il carico immediato.
La connessione interna è caratterizzata da un principio a doppia conometria.
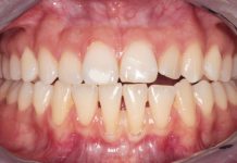
Dopo l’inserimento dell’impianto (CSR, Sweden & Martina, Padova, Italy), viene posizionato il moncone protesico provvisorio su cui è ribasata ed avvitata la protesi provvisoria in resina.
Per minimizzare le forze laterali e prevenire pericolosi micromovimenti durante la guarigione, la corona provvisoria è priva di contatti occlusali.
3 mesi dopo la fase chirurgica, il provvisorio viene rimosso e si procede con la protesizzazione definitiva.














