L’analisi del ruolo di consulente tecnico d’ufficio (CTU) svolto dall’odontologo forense, convocato dal giudice nell’ambito di un accertamento tecnico preventivo (ATP), trae spunto dal confronto con gli studenti che ho avuto la fortuna di accompagnare durante una tappa del percorso del master di II livello in “Odontostomatologia legale e forense” presso l’Università di Palermo.
L’art. 696 bis del Codice di Procedura Civile che regolamenta la Consulenza tecnica preventiva ai fini della composizione della lite – e pertanto anche al di fuori dei casi di urgenza -, dispone alla fine del primo comma che: “Il consulente, prima di provvedere al deposito della relazione, tenta, ove possibile, la conciliazione delle parti.” Il medesimo articolo precisa nei successivi commi che: “Se le parti si sono conciliate, si forma processo verbale della conciliazione” e “Il giudice attribuisce con decreto efficacia di titolo esecutivo al processo verbale, ai fini dell’espropriazione e dell’esecuzione in forma specifica e per l’iscrizione di ipoteca giudiziale.” Dall’esperienza ultraventennale nelle vesti di legale di parte, i CTU incontrati hanno sempre tentato di raggiungere un compromesso (termine atecnico), verificando la disponibilità delle parti coinvolte nella controversia a rinunciare reciprocamente alle loro pretese e valutando se tali rinunce potessero condurre a un risultato apprezzabile per ognuna delle stesse. In sostanza, per la maggior parte delle volte mi sono imbattuto in CTU che non facevano altro che cercare di portare le parti ad una transazione.

L’enciclopedia Treccani definisce la transazione come “l’accordo concluso tra le parti di un rapporto, su cui è sorta o sta per sorgere controversia, allo scopo di evitare una lite mediante reciproche concessioni”. Orbene, la “conciliazione” è una soluzione che differisce dalla “transazione” e prevede che i soggetti coinvolti trovino una composizione al loro conflitto condivisa da tutti come la migliore possibile. Si soddisfano i reciproci interessi attraverso la creazione di alternative e la promozione dello sforzo congiunto, profuso dalle parti, di trovare un risultato condiviso. È necessario quindi concentrarsi sugli interessi sottesi e individuare soluzioni soddisfacenti per ognuno dei soggetti coinvolti. Appare del tutto evidente la differenza tra transazione (che richiede a ciascuna delle parti una rinuncia) e conciliazione (che richiede a tutti un contributo positivo e collaborativo) e riteniamo che sia proprio quest’ultima che il CTU ed in particolare, per quanto qui di interesse, l’odontologo forense, è chiamato a tentare, ove possibile, in conformità al disposto dell’art. 696 bis c.p.c.
Il ricorso all’espressione “ove possibile” sta ad indicare che è sempre possibile tentare una conciliazione ma parimenti non può dirsi del “raggiungere la conciliazione”. Chiarito tale aspetto, è necessario approfondire come possa il CTU fare in modo che quel tentativo diventi efficace. Il CTU è, infatti, chiamato a svolgere un ruolo di conciliatore, sostanzialmente corrispondente a quello del mediatore previsto dal D. Lgs. 28/2010. Rimandando ad altro e successivo approfondimento i dettagli di questo sistema alternativo di gestione delle controversie, basti qui osservare che il mediatore ha un ruolo di “facilitatore della comunicazione”. L’esperienza ci insegna che la maggior parte dei conflitti origina da un difetto di comunicazione tra i soggetti coinvolti che li porta man mano ad interrompere ogni forma di dialogo, inteso come ascolto dell’altrui comunicazione. In questa situazione di incomunicabilità è quanto mai opportuna la presenza di un soggetto terzo e imparziale che svolga un ruolo di facilitatore della comunicazione, aiutando le parti a comprendere ed accettare che si possa guardare alla vicenda anche da punti di vista differenti dal proprio.

Il CTU si muoverà quindi per aiutare ciascuno dei soggetti ad ascoltare gli altri ponendo sul tavolo del conflitto i vari punti di vista e le varie esigenze primarie che sono per lo più lontane dagli aspetti tecnici e giuridici. Ad esempio, il paziente che lamenta un cattivo operato da parte del suo dentista potrebbe avere interesse ad alleviare un dolore ancora persistente o avere una esigenza prettamente estetica, per motivi connessi al lavoro che svolge o anche semplicemente alla sua autostima ed al suo piacersi. Per contro, dal lato del medico chiamato in mediazione, ci potrebbe essere una necessità di riconoscimento della propria capacità professionale o della tutela della propria immagine, anche personale. Gli aspetti medici e giuridici, peraltro i soli a poter trovare ingresso in un processo, sono spesso delle mere conseguenze, atteso che sono gli aspetti più relazionali ad essere maggiormente considerati in una fase conciliativa come può essere la fase dell’ATP a ciò deputata. In questo contesto, infatti, emergono relazioni ulteriori rispetto a quella medico-paziente.
Non possiamo infatti dimenticare i legali delle parti e la loro relazione tanto con il proprio cliente quanto con il collega. Con riferimento a tali soggetti, non si può escludere a priori un coinvolgimento nel conflitto e quindi la presenza di ulteriori esigenze quali, ad esempio, la dimostrazione di essere competente e professionale per la tutela del proprio assistito o il coinvolgimento emotivo personale (non dovuto ma non per forza da escludersi). Un analogo discorso vale per i consulenti di parte eventualmente nominati. Anche in questo caso, infatti, oltre alla relazione con il proprio cliente ed il suo legale, si inserisce il rapporto con il consulente di controparte, dal quale spesso discende l’aspirazione/necessità di dimostrarsi tecnicamente superiore. Ecco quindi che il CTU-conciliatore deve poter agire esplorando questo territorio e aiutando i soggetti che si trova di fronte a trovare un canale comunicativo al fine di collaborare nella ricerca della soluzione condivisa.

E appare di facile comprensione come la domanda spesso formulata alle parti “voi fino a che punto siete disponibili a rinunciare?” o altre forme similari non siano la modalità comunicativa maggiormente proficua con cui esplorare le esigenze come quelle sopra citate e conseguentemente per rendere efficace il tentativo di conciliazione. È, infatti, fondamentale dedicarsi all’ascolto con un approccio libero da ogni condizionamento, che è possibile definire “maieutico”. Come Socrate che, sapendo di non sapere, aiutava i propri allievi a scoprire da sé le soluzioni, il CTU deve essere consapevole di non conoscere quali siano le reali esigenze e il vissuto di chi si rivolge a lui. È, pertanto, fondamentale che il suo approccio sia quello di ascoltare senza preconcetti.
Per aiutarci a comprendere quale sia la forma di ascolto necessaria, sono solito richiamare i tre livelli di ascolto proposti da un formatore: sentire, come attività meccanica e involontaria, ascoltare, come attività consapevole che richiede attenzione (l’uso dell’intelletto), ascoltare attivamente come attività di ascolto ed accoglienza (con il cuore), dedicandosi completamente al proprio interlocutore e facendo spazio alle sue esigenze. Ecco, l’ascolto con cui il conciliatore può aiutare efficacemente le persone coinvolte nell’ATP è senza ombra di dubbio l’ascolto attivo.
Per questo si ritiene fondamentale un apposito percorso che consenta ad ogni CTU, anche se forse sarebbe più corretto dire ad ognuno di noi, di apprendere o migliorare le capacità di ascolto più profonde. Ciò significa avere la capacità di lasciare al di fuori dell’ambiente di ascolto ogni problema che ci coinvolge, ogni schema mentale che possa filtrare la comunicazione che riceviamo, per accogliere pienamente e completamente quello che i clienti, i loro consulenti e i loro legali ci condividono. E questo vale tanto per il tentativo di conciliazione in ATP quanto per i percorsi di mediazione. Per questa ragione ritengo che un CTU nella sua funzione conciliativa possa essere considerato equivalente ad un mediatore.
CASO CLINICO
Un caso concreto di accordo transattivo
Giorgio Cesare Amerio
Avvocato, mediatore, formatore e coach
La sig.ra A.A. nel 2020 si recò presso lo studio medico dentistico del dott. L.P., al fine di protesizzare il sito 25 edentulo.
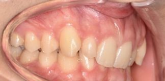
La paziente presentava il 23 incluso, un addensamento verosimilmente riferibile ad un odontoma e il 63 da estrarre (fig. 1). Venne proposto un piano di riabilitazione con l’inserimento di impianto oltre alla corona in 25 e in alternativa la protesizzazione fissa su denti naturali (ponte di quattro elementi), dal 22 al 25 (quest’ultimo in estensione), in modo da risolvere la perdita del canino superiore sinistro da latte. La paziente optò per quest’ultima soluzione. Inizialmente venne prospettata una durata dei lavori di due-tre mesi; tuttavia gli stessi si protrassero per 10 mesi. Durante la preparazione dei pilastri di ponte il dentista coinvolse anche il 26 senza farne menzione alla paziente e il provvisorio eseguito andò incontro a innumerevoli distacchi. Quando venne consegnato il definitivo, con un’estetica inaccettabile per la sig.ra A.A., comparve altresì una sintomatologia dolorosa a carico degli elementi pilastro coinvolti. Dalla cone beam fatta eseguire da un nuovo curante, emersero due lesioni osteolitiche periapicali a carico di 24 e 26.

La richiesta avanzata del legale della sig.ra A.A. comprendeva la restituzione di quanto corrisposto per la parte protesica, per il ritrattamento endodontico di 24 e la terapia canalare di 26 e per l’esecuzione di un provvisorio in resina di 5 elementi (da 22 a 26). Il tutto per un totale di € 6.500,00 circa.
Stante il mancato accordo stragiudiziale con controparte, venne depositato un ricorso ex art 696 bis cpc.
Il collegio peritale invitò le parti a confrontarsi su un possibile accordo, sottolineando, tra le altre cose, che in caso di composizione bonaria della lite, l’istanza di liquidazione del collegio sarebbe stata di € 1.500,00 oltre a oneri di legge per ciascun componente. Sarebbero stati previsti maggiori oneri in caso di prosieguo della vertenza.

Iniziò un serrato confronto prima tra i CTP e, a seguire, tra i legali delle parti. Già durante le operazioni peritali era emersa l’esigenza della sig.ra A.A. di poter procedere al più presto alle cure del caso, a causa dell’intenso disagio legato al dolore a carico dei denti 24 e 26, mentre sul dott. L.P. gravava il rischio di un’azione legale relativa a firme non riconosciute dalla A.A. sui moduli di consenso presentati.

Si arrivò quindi alla firma di un verbale di conciliazione nel cui contesto la sig.ra AA accettava la cifra onnicomprensiva di € 9.000,00, dei quali 4.000,00 a titolo di compensazione di ogni pretesa risarcitoria e il rimanente per le spese di lite.
La base dell’accordo emerse proprio dall’analisi delle reali esigenze delle parti, sulle quali CTP e legali fecero leva per addivenire all’accordo.




